Добавить в корзинуПозвонить
Найти в Дзене
Андрей Дашков

Удаление ретенированного клыка: как это делается?

Всем привет! Я написал огромное количество статей на тему удаления ретенированных зубов мудрости, а сегодня решил вас побаловать удалением ретенированного клыка. Да-да, все верно. Не только восьмерки могут не прорезаться, но и любой другой зуб, зачастую таким является клык. ВНИМАНИЕ!-Uwaga!-Pažnju!-Attention!-Achtung!-Attenzione!-ВНИМАНИЕ!-Uwaga!-Pažnju!
Ниже будут представлены фотографии сделанные во время операции! С видами зубов, дёсен, крови и расчлененки. Слабонервных прошу отказаться от прочтения данной статьи.
Только сейчас обратил внимание, что практически каждая моя статья начинается в 2018 году, это ж сколько лет наблюдений. А вы видите клинический случай от и до, за 10 минут прочтения статьи.
Это вам не добрая половина стоматологических «гуру лекторов», которые сделали одну, как им кажется, офигительную операцию, закончив презентацию фоткой с осмотра. Даже не снятия швов. Разъезжают с ней по стране вот уже 10 лет, пытаются заинтересовать и «обучить» какого – нибудь «студе

Всем привет! Я написал огромное количество статей на тему удаления ретенированных зубов мудрости, а сегодня решил вас побаловать удалением ретенированного клыка. Да-да, все верно. Не только восьмерки могут не прорезаться, но и любой другой зуб, зачастую таким является клык.

ВНИМАНИЕ!-Uwaga!-Pažnju!-Attention!-Achtung!-Attenzione!-ВНИМАНИЕ!-Uwaga!-Pažnju!

Ниже будут представлены фотографии сделанные во время операции! С видами зубов, дёсен, крови и
расчлененки. Слабонервных прошу отказаться от прочтения данной статьи.


Только сейчас обратил внимание, что практически каждая моя статья начинается в 2018 году, это ж сколько лет наблюдений. А вы видите клинический случай от и до, за 10 минут прочтения статьи.

Это вам не добрая половина стоматологических «гуру лекторов», которые сделали одну, как им кажется, офигительную операцию, закончив презентацию фоткой с осмотра. Даже не снятия швов. Разъезжают с ней по стране вот уже 10 лет, пытаются заинтересовать и «обучить» какого – нибудь «студента», который имея хотя бы пару извилин понимает, что ему втирают какую-то дичь. Пока «напыщенный фазан» ходит взад-вперед по сцене, «студент» тихонько обсуждает этот пипец с соседом, и они оба охреневают от «лектора», и от того, что большинство сидят с открытым ртом, и воспринимают все происходящее, как что-то грандиозное.

Именно такие чувства раз за разом появляются у меня при посещении некоторых курсов. НЕ ВСЕХ, конечно. Есть просто парочка «светил», которые вызывают лишь смех и слёзы, хотя в стоматологических кругах они прямо-таки «звезды».

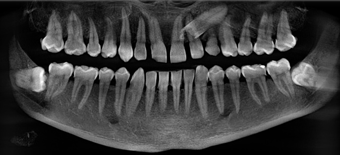
Ретенированный клык. Тот еще адок. Ортодонты при помощи брекетов и специальных тяг стараются такие зубы ставить на место, но это удается не так часто. Стоит заметить, что расположение подобных зубов в челюсти – непредсказуемо. Бывают случаи, когда лучше туда и не лезть.

В основном, зная про наличие такого зуба, необходимо периодически делать рентгеновские снимки и наблюдать не творит ли он бардак.

-2

В случае, о котором я расскажу сегодня произошло следующее. У пациента 50ти лет вдруг ломается молочный клык. Вы не ослышались, молочный клык в 50 лет. Если постоянный зуб не прорезается или вдруг отсутствует его зачаток, то, условно, у молочных зубов не происходит полноценный процесс рассасывания корня, такие зубы могут служить долгие годы.

-3

Та черная полоска, проходящая через зуб, появилась после характерного хруста, который услышал пациент во время еды.

Как вариант, можно было бы удалить молочный клык и оставить все, как есть. Но проблема в том, что после этого соседние зубы будут наклоняться в сторону отсутствующего, что приведет к серьезным проблемам. Что-то типа того:

-4

Плюс перспектива остаться вовсе без зуба пациента, мягко говоря, не привлекала. Проблема была лишь в том, что где-то там внутри сидел клык. Его наличие не позволяет поставить имплантат нужных размеров, не задев этот зуб.

-5

На момент первой встречи мы остановились на удалении молочного зуба, далее пациент ушел «готовиться» к удалению постоянного и к имплантации.

Предупрежу еще раз, ну так, мало ли.

ЩАС БУИТ МЯСО

-6

Как и любая другая хирургическая манипуляция в полости рта, всё начинается с анестезии. Никто ведь не хочет испытать на себе все прелести стоматологической боли и мук.
Для того, чтобы минимизировать все неприятные ощущения, связанные с уколом, используется так называемая аппликационная анестезия:

-7

Гель – паста на основе полиэтиленгликоля и бензокаина.

Десну «смазали» – она слегка онемела. И вот теперь можно переходить к уколу (инфильтрационной анестезии).

В современной стоматологии основным, но не единственным действующим веществом анестетика является «Артикаин» – в той или иной концентрации.
На фото ниже представлен многоразовый карпульный шприц, две одноразовые иглы разной длины и две карпулы с анестетиком.

-8

В данном случае представлен «Ультракаин». Соотношение адреналина и действующего вещества (Артикаина) в синей карпуле — 1:100.000 (1мг адреналина на 100мл), а в зелёной — 1:200.000 (0.5 мг адреналина на 100мл). Следовательно, анестетик в синей карпуле действует несколько дольше, чем в зеленой. Мной эта дозировка используется редко, лишь тогда, когда необходим более длительный эффект анестезии или при острых гнойных воспалениях.

После того, как анестезия подействовала, при помощи скальпеля производится разрез, а распатора — скелетирование кости (отделение надкостницы от компактного вещества кости).

-9

Разрез:

-10

Скелетирование кости:

-11

При помощи специального наконечника и бора зуб делится:

-12
-13

Удаление проводится элеватором:

-14

Достаем сначала коронковую часть зуба, затем корневую:

-15

В лунку удаленного зуба помещается гемостатическая губка:

-16

Вот и всё. Ретенированный клык – удален. Операция заняла около 10 минут.

Но это еще не все, условия позволяют провести установку имплантата сразу после удаления.

Для того, чтобы статья получилась менее объемной я опущу подробный разбор этапности имплантции. У меня есть отдельная полноценная статья на эту тему – Установка имплантата, как это делается?

При помощи уже другого наконечника и специальных боров повышающего диаметра, проводится подготовка ложа под имплантат:

-17

Далее проверка положения при помощи специального пина:

-18

Ну и установка самого имплантата:

-19

Далее выкручивается «имплантодержатель»:

-20

И вкручивается формирователь десны:

-21

Наложение швов (ножницы и иглодержатель):

-22

Используется шовный материал – монофиламент (нерассасывающаяся нитка наподобие лески). В отличие от рассасывающихся швов, эта нить не скапливает на себе налет и остатки пищи, что особенно важно в случае с операциями:

-23

И вся операция по удалению ретенированного клыка и установке имплантата – закончена. От и до заняло около 35 минут.

-24

Так выглядит рана через день на осмотре:

-25

Через 10 дней я снял швы, и мы расстались с пациентом на 4 месяца до момента, когда можно будет заниматься протезированием, а именно установкой коронки.

Изготовлена временная коронка:

-26

Спустя 4 месяца, ортопед приступил к подборке цвета уже для постоянной коронки (на фото ниже временная коронка на клыке):

-27

Установлена постоянная керамическая коронка:

-28

Пациенту была рекомендована пластика десны еще на этапе временного протезирования, но он от нее отказалася. Промежутки между зубами пациента не парили – на ортодонтическое лечение до имплантации, он тоже был не готов.

Рентгеновский снимок после установки постоянной коронки:

-29

Вот так «легко и просто» проводится удаление ретенированного клыка.
Надеюсь, вам понравилось.

А на этом все.

С уважением, Андрей Дашков

Что ещё почитать?

Про имплантацию зубов:

Про зубы мудрости и их удаление:

Про профессиональную гигиену полости рта:

И, конечно:

Статья на других ресурсах:

Хабр

Пикабу