Добавить в корзинуПозвонить
Найти в Дзене

«Зуб за час» или история спасения одной улыбки

За время практики я неоднократно убедился в том, что острая зубная боль, сколы зубов, поломки несостоятельных ортопедических конструкций и прочие неприятности, происходят в самый неподходящий для пациента момент. Намечающийся или текущий отпуск, выходной или праздничный день, который планировалось провести в хорошей компании, торжественное мероприятие, где предполагалось сделать много отличных фото, важная встреча, да в конце концов просто работа, по долгу которой вам необходимо очно общаться с людьми. Все это летит в тартарары, из-за предательского зуба, а то и нескольких. Всякое бывает. И если в одних ситуациях достаточно попасть на прием и консервативно устранить причину проблемы (пролечить корневой канал, отреставрировать с помощью специальных материалов и т.д.), то что же делать, если «виновника» не спасти, а улыбка часть имиджа и вы в силу различных обстоятельств не можете ни дня оставаться без зуба? К счастью, современные технологии (цифровое моделирование, аддитивные технологи

За время практики я неоднократно убедился в том, что острая зубная боль, сколы зубов, поломки несостоятельных ортопедических конструкций и прочие неприятности, происходят в самый неподходящий для пациента момент. Намечающийся или текущий отпуск, выходной или праздничный день, который планировалось провести в хорошей компании, торжественное мероприятие, где предполагалось сделать много отличных фото, важная встреча, да в конце концов просто работа, по долгу которой вам необходимо очно общаться с людьми. Все это летит в тартарары, из-за предательского зуба, а то и нескольких. Всякое бывает. И если в одних ситуациях достаточно попасть на прием и консервативно устранить причину проблемы (пролечить корневой канал, отреставрировать с помощью специальных материалов и т.д.), то что же делать, если «виновника» не спасти, а улыбка часть имиджа и вы в силу различных обстоятельств не можете ни дня оставаться без зуба?

К счастью, современные технологии (цифровое моделирование, аддитивные технологии, или проще — 3D печать) и методики дают возможность не только спланировать весь процесс, начиная с удаления зуба и заканчивая видом готовой конструкции (коронки), но и заранее создать ее временный прототип, без необходимости снимать слепки, отправлять их в лабораторию и лишь потом фиксировать результат в полости рта (на весь процесс обычно уходит несколько дней).

Не так давно, благодаря вышеперечисленному арсеналу, мне в очередной раз удалось помочь пациентке сохранить улыбку, а зодно спасти ее отпуск.

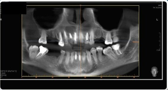
Жалобы были скромные — на периодические ноющие боли в области 11 зуба (центральный верхний зуб справа). Но при диагностике была выявлена серьезная проблема — трещина корня. Увы подобный диагноз не предполагает другого решения проблемы, кроме удаления. Также был диагностирован хронический периодонтит на 14 зубе (верхний правый сегмент зубного ряда, так же попадает в видимую зону при улыбке). Премоляр был ранее лечен по поводу периодонтита, но к сожалению консервативное лечение оказалось неэффективно. Ситуация также осложнялась тем, что ранее пациентке проводилось эндодонтическое лечение 11,12 зубов с последующей резекцией верхушек корней и удалением крупной радикулярной кисты, занимавшей почти весь объем костной ткани в области 11,12,13 зубов и до полости носа.

Мы обсудили с пациенткой ситуацию. Перспектива удаления двух зубов, да еще и в зоне улыбки, накануне давно запланированного отпуска была не радужной. Вариант оставить все как есть до возвращения также отметался. Если 14 зуб себя никак пока не проявлял, то 11 уже беспокоил некоторое время, и был весьма вероятен сценарий при котором отдых омрачился бы острым состоянием и экстренным удалением. Я озвучил доступные в данном случае варианты решения: съемная конструкция — из плюсов — быстрое изготовление, из минусов — весьма неудобна в использовании и имеет ряд существенных недостатков в качестве временного протез; мостовидный протез — из плюсов — перекрывает эстетический дефект, из минусов — требует задействования соседних с отсутствующими зубов, в то время как состояние имеющихся на них керамических коронок являлось вполне состоятельным.

Наиболее оптимальным методом восстановления в имеющейся клинической картине является имплантация. А благодаря применению описанных выше технологий, есть возможность изготовить временные коронки отвечающие всем требованиям эстетики, еще до удаления зубов. Пациентка также сочла данный сценарий лечения наиболее приемлемым и остановилась на нем. В тот же день было проведено цифровое сканирование, а также назначен день операции. Далее начался процесс подготовки и планирования.

Сопоставление в специальной программе данных компьютерной томографии и цифрового скана зубов.
Сопоставление в специальной программе данных компьютерной томографии и цифрового скана зубов.

С учетом данных компьютерной томографии я отмоделировал и распечатал на 3D принтере: хирургический шаблон, который позволил установить имплантаты в наиболее правильной позиции с учетом всех анатомических особенностей строения челюсти и зубного ряда, а так же временные коронки.

Когда пациентка пришла на прием в назначенный день все было уже готово. Оставалось лишь реализовать уже пройденный мной виртуально протокол: атравматично удалить 11, и 14 зубы, в их позициях установить имплантаты, зафиксировать временные коронки. Что и было сделано.

На верхнем фото состояние сразу после операции и фиксации временных коронок. На нижнем — картина в зоне оперативного вмешательства через 7 дней.
На верхнем фото состояние сразу после операции и фиксации временных коронок. На нижнем — картина в зоне оперативного вмешательства через 7 дней.

Помимо перечисленных плюсов, приятным бонусом столь тщательного планирования также явилось отсутствие послеоперационных швов, отека и сохранения контура десневого края, а значит и гармоничной арки улыбки, важного эстетического критерия.

Пациентка осталась очень довольна результатом и в долгожданный отпуск отправилась с улыбкой.