Найти в Дзене
Александр Лесников

Клинический случай успешного лечения рака и остеоартрита у собаки с применением лучевой терапии.

Специалисты клиники школы ветеринарных исследований Эдинбургского университета рассказали об успешной терапии рака и остеоартрита у 11-летней собаки с помощью лучевой терапии. Для лечения применяли линейный ускоритель, используемый для лучевой терапии онкологических патологий у людей. Пациент - собака с диагнозом тимома (рак вилочковой железы, локализованный в грудной клетке) и размером опухоли более 15 см (по КТ - исследованию). Патологическое образование давило на сердце, легкие, трахею, пищевод. Животное было ослаблено, испытывало жажду и частые позывы к мочеиспусканию. Прием корма сопровождался рвотой. По результатам анализа  крови диагностирована гиперкальциемия. В курсе лечения использовался препарат на основе золедроната внутривенно. Опухоль была неоперабельной. Оптимальный вариант терапии - лучевое воздействие фотонами высокой энергии, поражающими клетки опухоли. Проведено 20 сеансов лучевой терапии. Контроль по КТ проводился каждые три месяца. Лучевая терапия позволила уменьши
ФОТО 1.
ФОТО 1.

Специалисты клиники школы ветеринарных исследований Эдинбургского университета рассказали об успешной терапии рака и остеоартрита у 11-летней собаки с помощью лучевой терапии. Для лечения применяли линейный ускоритель, используемый для лучевой терапии онкологических патологий у людей.

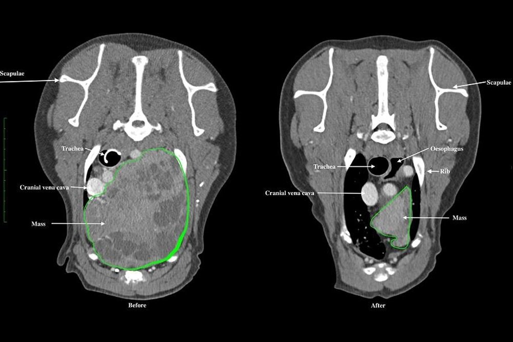
Пациент - собака с диагнозом тимома (рак вилочковой железы, локализованный в грудной клетке) и размером опухоли более 15 см (по КТ - исследованию). Патологическое образование давило на сердце, легкие, трахею, пищевод. Животное было ослаблено, испытывало жажду и частые позывы к мочеиспусканию. Прием корма сопровождался рвотой. По результатам анализа  крови диагностирована гиперкальциемия.

В курсе лечения использовался препарат на основе золедроната внутривенно.

Опухоль была неоперабельной. Оптимальный вариант терапии - лучевое воздействие фотонами высокой энергии, поражающими клетки опухоли.

Проведено 20 сеансов лучевой терапии. Контроль по КТ проводился каждые три месяца. Лучевая терапия позволила уменьшить опухоль более чем на 50%.

На фото 1 приведены размеры  опухоли до и после лучевой терапии.

Давление на внутренние органы уменьшилось. Показатель кальция крови пришел в норму.

С помощью лучевой терапии в низких дозах снизили воспалительные явления в локтевых суставах, пораженных остеоартритом, за три сеанса. После этого животное проходило гидротерапию и физиотерапию для профилактики воспалительных явлений. На данный момент состояние животного удовлетворительное.

Специалисты отмечают тенденцию к лечению животных с онкологией новыми высокотехнологичными методами.

Читать источник здесь

Здоровья и успехов всем!