Добавить в корзинуПозвонить
Найти в Дзене

Берут ли в армию с плоскостопием 1 степени?

Плоскостопие — это болезнь, при которой изменяется форма стопы. Ее продольный или поперечный свод опускается. Из-за этого стопа неправильно воспринимает нагрузку. В дальнейшем суставы начинают разрушаться. Повышенная нагрузка на ноги приводит к появлению боли. Берут в армию с плоскостопием или нет, зависит от стадии болезни. У детей плоскостопие возникает по естественным причинам. Все дело в мягких тканях и жировой прослойке. С возрастом своды стопы формируются правильным образом. Если изменений не произошло, то можно говорить о развитии болезни. Плоскостопие может являться врожденной или приобретенной патологией. Болезнь появляется после травм ног или из-за нарушений иннервации мышц. На начальной стадии плоскостопие не приносит дискомфорта. Могут быть заметны лишь визуальные изменения в форме стопы. С прогрессированием болезни будут появляться боли в области ног, спины. Обувь начнет сильно деформироваться при ходьбе: одна сторона подошвы будет стираться быстрее другой. При отсутствии
Оглавление

Плоскостопие — это болезнь, при которой изменяется форма стопы. Ее продольный или поперечный свод опускается. Из-за этого стопа неправильно воспринимает нагрузку. В дальнейшем суставы начинают разрушаться. Повышенная нагрузка на ноги приводит к появлению боли. Берут в армию с плоскостопием или нет, зависит от стадии болезни.

Подробнее о плоскостопии

У детей плоскостопие возникает по естественным причинам. Все дело в мягких тканях и жировой прослойке. С возрастом своды стопы формируются правильным образом. Если изменений не произошло, то можно говорить о развитии болезни.

Плоскостопие может являться врожденной или приобретенной патологией. Болезнь появляется после травм ног или из-за нарушений иннервации мышц.

На начальной стадии плоскостопие не приносит дискомфорта. Могут быть заметны лишь визуальные изменения в форме стопы. С прогрессированием болезни будут появляться боли в области ног, спины. Обувь начнет сильно деформироваться при ходьбе: одна сторона подошвы будет стираться быстрее другой.

При отсутствии лечения могут деформироваться и разрушаться суставы. Из-за этого человек испытывает боль при ходьбе.

Формы болезни

При поперечном и продольном плоскостопии выделяют три степени развития болезни. При первой степени деформации стопы отсутствуют, но уже видна слабость связок. Боль появляется после длительной ходьбы, преимущественно в вечернее время.

При второй степени происходит заметное изменение формы стопы. Она выглядит распластанной. Свод резко уменьшается. Боль более частая и концентрируется в области голеней.

При третьей степени плоскостопия изменения в форме стопы сильно выражены. Начинают страдать суставы колена и бедра. Боли сильные, и даже непродолжительная ходьба представляет сложность.

Поперечное плоскостопие определяют по углу отклонения. Степени болезни четыре. Чем больше угол отклонения, тем серьезнее нарушение.

Плоскостопие и служба в армии

Плоскостопие может приносить серьезный дискомфорт при физических нагрузках. В связи с этим появляется вопрос, призывают ли на службу с этим нарушением. В «Расписании болезней» в статье 68 (раздел 13) приведены точные рекомендации по определению годности призывника. Именно документ дает точный ответ, являются ли совместимыми плоскостопие 1 степени и армия.

При определении годности к службе учитывают особенности протекания болезни и выраженность визуальных изменений. Как правило, негодными к службе в армии признают людей с 3 или 4 степенью болезни, когда патология сопровождается артрозами и экзостозами (костно-хрящевыми наростами).

Что касается 1 степени плоскостопия, то в «Расписание болезней» четко сказано: она не является препятствием для прохождения службы в армии. Более того, с такой формой патологии мужчина может поступать в военные учебные заведения.

Основная сложность состоит в определении степени плоскостопия. В ряде случаев даже небольшие изменения в форме стопы могут приносить дискомфорт, особенно с учетом того, что придется носить военные ботинки. Они тяжелые, с плоской подошвой, поэтому нагрузка на ноги увеличится.

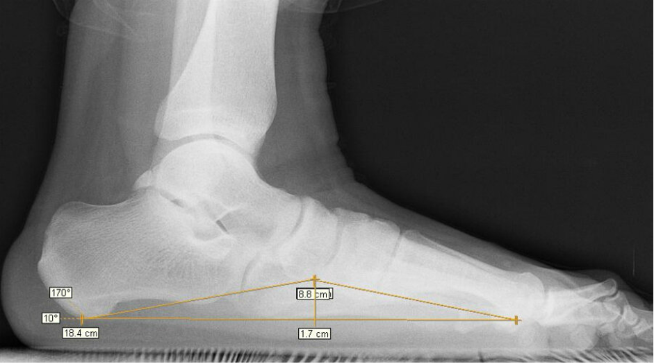
Для определения степени болезни врач назначает рентгенографию. Снимки позволяют точно определить детали деформации. Так, при 1 степени высота свода должна быть не меньше 24 мм. Оценивается угол свода. Приемлемый диапазон — от 131 до 140°. Если есть превышения, то это уже 2 степень плоскостопия.

-2

Сложнее определить категорию годности при комбинированной форме заболевания. Особенно если у продольного и поперечного плоскостопия разные степени выраженности. В этом случае врач ориентируется только на угол свода. При поперечном плоскостопии измеряют промежуток между 1 и 2 плюсневыми костями. Для первой степени допустим диапазон от 10 до 12°. Если уже видна деформация большого пальца, то ее тоже измеряют. Для первой степени диапазон составляет от 15 до 20°.

В некоторых случаях человека признают ограниченно годным. Такое возможно при диагностировании 2 степени плоскостопия без сильной деформации стопы и суставов ног. При 1 степени могут присвоить категорию годности Б-3, когда человеку нельзя служить только в элитных войсках, например, в ВДВ. В остальном ограничений нет.

Спорные ситуации

Основная проблема в ответе на вопрос, с 1 степенью плоскостопия берут в армию или нет, состоит в диагностике. В ряде случаев установить точную форму не представляется возможным. Рентгеновские снимки порой врачи оценивают по-разному.

-3

Для уточнения диагноза может назначаться компьютерная томография. В отличие от рентгенографии, КТ позволяет выстроить трехмерную модель стопы. По ней уже можно определить малейшие деформации костей. На основе данных КТ и рентген-снимка комиссия определяет, годен ли мужчина к службе в армии.

Если есть другие проблемы с опорно-двигательным аппаратом, то их тоже учитывают при определении степени годности. При диагностике врач не должен полагаться только на визуальные данные. Он обязательно должен назначить обследования.

Может появиться вопрос: как быть, если плоскостопие сопровождается болевым синдромом? Как правило, он выражается в изменении походки. После купирования боли проблема исчезает. Врач это увидит и поставит правильный диагноз.

Если плоскостопие диагностировано в детстве, то потребуются выписки из медкарты. Чем больше документов будет подтверждать наличие болезни и ее прогрессирование, тем лучше.

Что в итоге?

Если плоскостопие 1 степени не сопровождается сильными болями и очевидными деформациями стопы, то мужчина пойдет служить в армии на общих основаниях. Если есть дискомфорт или изменения формы стопы, то стоит пройти обследование до начала призывной комиссии. Это поможет избежать проблем во время призыва.

Жмите "палец вверх", подписывайтесь на наш канал, оставляйте комментарии!

Материал с сайта коллегии адвокатов "Призывник". Свяжитесь с нами любым удобным для вас способом, и мы поможем решить вашу проблему!

Больше полезной информации о призыве и отсрочках от армии на сайте и в сообществе Вконтакте "СКА Призывник".