Найти в Дзене
MRT-V

Что такое матовое стекло и лоскутное одеяло на КТ

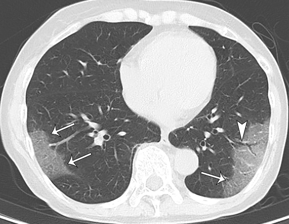
Благодаря повсеместному использованию в клинической практике компьютерной томографии объем и глубина информации о состоянии легких увеличились. Одним из новых показателей стал паттерн мозаичной плотности – эффект «матового стекла». Для обозначения новых понятий появились специальные термины, позволяющий описывать КТ симптомы. Все МРТ и КТ центры Москвы и СПб представлены у нас на сайтах. Выберите самый выгодный: Этим обозначением называют очаги туманного понижения прозрачности паренхимы легкого. При этом визуализация элементов легочного рисунка, бронхов, сосудистых структур сохраняется. При изменении по типу матового стекла степень понижения прозрачности колеблется от высокой до низкой. Они возникают там, где ткани органа хуже пропускают X-Ray лучи. Это вызвано их уплотнением, например, развивается пневмония, легкое заполняется транссудатом или кровью. К возникновению матовости приводят фиброзные трансформации. По мере распространения инфекционно-воспалительного процесса площадь матовы
Оглавление

Благодаря повсеместному использованию в клинической практике компьютерной томографии объем и глубина информации о состоянии легких увеличились. Одним из новых показателей стал паттерн мозаичной плотности – эффект «матового стекла». Для обозначения новых понятий появились специальные термины, позволяющий описывать КТ симптомы.

Все МРТ и КТ центры Москвы и СПб представлены у нас на сайтах. Выберите самый выгодный:

КТ легких - цена в Москве от 2000 руб. Найдено 145 центров с фото и отзывами
КТ легких - цена в СПб от 2300 руб. 78 центров

Что значит "матовое стекло" на КТ легких

Этим обозначением называют очаги туманного понижения прозрачности паренхимы легкого. При этом визуализация элементов легочного рисунка, бронхов, сосудистых структур сохраняется. При изменении по типу матового стекла степень понижения прозрачности колеблется от высокой до низкой. Они возникают там, где ткани органа хуже пропускают X-Ray лучи. Это вызвано их уплотнением, например, развивается пневмония, легкое заполняется транссудатом или кровью. К возникновению матовости приводят фиброзные трансформации. По мере распространения инфекционно-воспалительного процесса площадь матовых пятен увеличивается.

По типу распределения различают:

  1. Фокальные, диффузные изменения, характерные для пневмоний и пневмонитов различного генеза. Могут сопровождаться участками консолидации. Это говорит о наличии плеврального выпота. Симптом характерен для отека легких, острой посттрансплантационной реакции.
  2. Мозаичные наблюдаются при инфильтративных процессах в легких. Их вызывают хронические патологии легочных артерий, тромбоэмболия, облитерирующий бронхит, бронхиальная астма.
  3. Перифокальный тип матовых пятен на снимках КТ создает эффект ореола. Он типичен для аспергиллеза легких. Может возникать вокруг очагов злокачественных новообразований или после проведения биопсии.
-2

Что такое "лоскутное одеяло" на снимках КТ

При проведении компьютерной томографии мозаичные уплотнения образуют рисунок, сходный с лоскутным одеялом. Регионы различной плотности вызваны:

  • облитерирующими поражениями;
  • неоднородными интерстициальными изменениями;
  • окклюзивными сосудистыми заболеваниями.

Лоскутное одеяло указывает на искажения в структуре тканей легких. Этот признак, как и «матовое стекло» не является специфичным для какой-либо болезни, но это один из ключевых показателей, видимых на КТ. Для постановки диагноза таких признаков недостаточно. В клинической медицине их учитывают в сочетании с данными анамнеза, другой симптоматикой, лабораторными анализами. Так для диагностики пневмонии, у больного должны присутствовать кашель с мокротой, боль в боку на вдохе, одышка, потливость, слабость.

Как выглядят очаги матового стекла в легких

На снимках матовые пятна представлены темными областями низкой плотности, чередующимися со светлыми - уплотнений. Они покрыты мутным налетом. Это делает их похожими со своим названием. На участках матового стекла визуализируется усиленный рисунок бронхиальных стенок, сосудов легких. Заметны просветы бронхов, содержащие воздух. Паттерн матовых пятен хорошо различим на темном фоне. Заметить изменения сможет даже человек без специального образования.

Симптом "лоскутного одеяла" является одной из разновидностей матовых пятен. Для него характерно утолщение междольковых перегородок в областях повышенной плотности.

Другим специфическим проявлением является мозаичная плотность или мозаичная перфузия. При ней участки изменения чередуются в ткани легких.

-3

При каких болезнях развивается матовое стекло

В норме легочная ткань представлена однородным пространством темного цвета. Очагов уплотнений, препятствующих дыханию в легких быть не должно.

Наиболее часто «матовые пятна», «лоскутное одеяло» возникают при заболеваниях пневмониями любого генеза: грибковыми, вирусными, бактериальными. Другие патологии, при которых возникает характерная картина включают:

  • склеродермию;
  • синдромы Гудпасчера, Съегрена;
  • респираторный бронхит с ИЗЛ;
  • неоплазии;
  • ревматоидный артрит;
  • дерматомиозит;
  • инфаркт легкого;
  • туберкулез;
  • аллергический альвеолит;
  • альвеолярный отек;
  • гранулематозы;
  • кальциноз;
  • гемоторакс;
  • медикаментозное поражение легких.

Предположительный диагноз ставится на основании специфической картины матовых пятен. Значение имеет их количество, локализация, консолидация очагов инфильтрация, уплотнение стенок альвеол.

При туберкулезе легких изменения диссеминированы. Наблюдается множество мелких хаотично расположенных очагов, либо матовые стекла расположены рядом с бронхами. При пневмонии деструкция поражает нижние и задние отделы органа. Небольшие единичные участки матовости указывают на аденокарциному, другие новообразования в легких, фиброз. После перенесенной пневмонии уплотнения постепенно исчезают. Если болезнь протекала тяжело, может возникнуть консолидация.

-4

При сдавлении альвеолярного пространства, вызванным сосудистыми патологиями тоже появляются матовые стекла. Они бывают у пациентов с ожирением высокой степени. При этом изменения затрагивают нижние отделы легких.

У здоровых пациентов такая картина на КТ снимках возникает при неправильно проведенном исследовании, если сканирование делалось на выдохе. Другим вариантом возникновения светлых участков матового стекла при отсутствии патологии является нетипичное расположение диафрагмы у новорожденного.

Альтернативные виды диагностики

Основным видом диагностики матового стекла является компьютерная томография. Более информативной является МСКТ. Мультиспиральная компьютерная томография обладает более высокими техническими возможностями. По сравнению с КТ улучшается качество снимков легкого, уменьшается время обследования. Это сокращает лучевую нагрузку на организм больного.

ПЭТ назначается при подозрении на злокачественные неоплазии. Очаги изменений по типу матового стекла на томографических снимках выявляются в четверти случаев. Это показатель того, что опухолевые клетки или метастазы расположены по поверхности альвеол.

Литература по теме

  1. Ходош Э. М., Ефремова О. А., Хорошун Д. А. Симптом «Матового стекла»: клинико-лучевая параллель // Актуальные проблемы медицины. 2014. №18 (189).
  2. Завершинский А.В. Симптом "матового стекла" // БМИК. 2016. №6.
  3. Китаев В.М., Белова И.Б., Абович Ю.А., Бронов О.Ю., Крылова Т.А., Пихута Д.А. Симптом матового стекла и его морфологические составляющие // Вестник Национального медико-хирургического Центра им. Н. И. Пирогова. 2016. №2.