Добавить в корзинуПозвонить
Найти в Дзене

История неудачного опыта имплантации с хэппи эндом

Всем доброго времени суток, друзья! Каких только историй на приёме не услышишь от пациентов. Но такое впервые!🤯 Пришла пациент с отсутствием переднего зуба. Вернее с композитным мостом, который маскировал отсутствие этого зуба. Вот он (отмечен кружочком со стрелочкой): Вид с жевательной поверхности: То есть там просто пломбировочный материал на соседних зубах: Естественно поинтересовался предысторией. И получил «интересный» ответ. Врач стоматолог терапевт, которая никогда видимо раньше не занималась имплантацией (либо только-только начал/а) решил/а установить имплантат. ❗️Кстати, до сих пор многие пациенты думают, что стоматолог может заниматься всем и умеет делать любые манипуляции в полости рта. И что нет никакого разделения на узкие специальности. Подробнее о том, какие бывают специальности в нашей профессии читайте в этой подборке. Вернемся к нашей истории… Вторая попытка, как понимаете, тоже не привела к успеху. И пациент подумал, что у него не приживаются имплантаты… на

Всем доброго времени суток, друзья!

Каких только историй на приёме не услышишь от пациентов. Но такое впервые!🤯

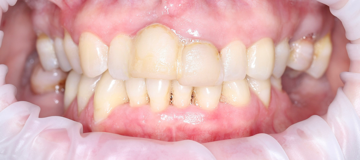
Пришла пациент с отсутствием переднего зуба. Вернее с композитным мостом, который маскировал отсутствие этого зуба.

Вот он (отмечен кружочком со стрелочкой):

-2

Вид с жевательной поверхности:

-3

То есть там просто пломбировочный материал на соседних зубах:

-4

Естественно поинтересовался предысторией. И получил «интересный» ответ.

Врач стоматолог терапевт, которая никогда видимо раньше не занималась имплантацией (либо только-только начал/а) решил/а установить имплантат.

❗️Кстати, до сих пор многие пациенты думают, что стоматолог может заниматься всем и умеет делать любые манипуляции в полости рта. И что нет никакого разделения на узкие специальности.

Подробнее о том, какие бывают специальности в нашей профессии читайте в этой подборке.

Вернемся к нашей истории…

-5

Вторая попытка, как понимаете, тоже не привела к успеху. И пациент подумал, что у него не приживаются имплантаты… начал копаться и искать причины в себе. Имплант то ведь был хороший. Astra. Далеко не самый дешёвый.

В общем принялись мы весь этот клубок распутывать и исправлять.

Первым делом сделали кт снимок и сделали замеры:

-6

Определили , что тип костной ткани плотный и костной ткани достаточно в ширину и высоту для повторной установки имплантата.

Затем сняли эту конструкцию:

-7

изготовили временную съёмную каппу с имитацией зуба:

-8

И дали десне «прийти в себя» ~ 3 недели после ношения предыдущей конструкции.

Далее пациент посещала мою коллегу стоматолога терапевта и ортопеда, успела подлечить другие зубы.

Техник виртуально спланировал позицию имплантата:

-9

-10

и смоделировал по моему техническому заданию шаблон.

Затем она попала ко мне на приём и установку имплантатов.

Видно, что десна восстановилась, стала бледно-розового цвета и соседний зуб отреставрировали временной коронкой:

-11

Десна даже чуть подросла
Десна даже чуть подросла

Далее была проведена анестезия, минимальный разрез и через шаблон подготовили ложе (дырочку) под имплантат:

-13

Установили имплантат:

-14

Установили формирователь, пара швов:

-15

На этом моё дело было закончено.

~ 15 минут ушло на всю операцию с верхним зубом.

Осмотр через неделю и снятие швов:

-16

-17

Пациента ничего не беспокоит ✅.

Ждем 2-2,5 месяца остеоинтеграции (приживления) и можно приступать будет к ортопедическому этапу с временной, а затем постоянной коронкой.

На всем протяжении пациент ходит с временной съёмной каппой, которая имитирует отсутствие зуба и не давит на десну и имплантат.

Продолжение данного кейса смотрите и читайте тут

👆

Ставьте лайк👍, если публикация была полезной и интересной. 

Подписывайтесь на канал. ✅

Всем здоровья!

P.s.если есть вопросы - пишите комментарии📝

С уважением, доктор Ижмукóв 

Виталий Владимирович.

_________________________________________

Контактная информация:

+79370634232 

vk.com/talich