Добавить в корзинуПозвонить
Найти в Дзене

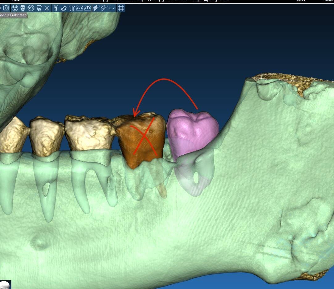
Пересадка (аутотрансплантация) зуба.

Всем доброго времени суток, друзья! Пациент обратился по поводу проблемного 37 зуба. Краткая предыстория: Случайно другими специалистами на снимке обнаружено затемнение в области корней. На 3 д увидели, что оно большое, практически до нижнечелюстного нерва. Зуб ранее лечили, каналы хорошо запломбированы. Но большая киста до магистрального нерва, обнаруженная на клкт не давала покоя. скрин клкт до Сначала были предложены варианты по спасению. Но все терапевты, к которым я направлял на консультацию пациента, говорили о сомнительных прогнозах. Так как зуб уже был ранее лечен, каналы сильно расширены. И никто не мог дать гарантию на положительный исход. Второй и третий вариант, который я предложил: удаление и пересадка; удаление и имплантация через ~ 3 месяца; Взвесив все плюсы и минусы мы приступили к реализации 2-го варианта: Техник выделил из клкт снимка 38 зуб, который мы планируем пересаживать, чтобы его распечатать. Выделенный зуб из снимка для печати на 3д принтере. Напе

Всем доброго времени суток, друзья!

Пациент обратился по поводу проблемного 37 зуба.

Краткая предыстория:

Случайно другими специалистами на снимке обнаружено затемнение в области корней. На 3 д увидели, что оно большое, практически до нижнечелюстного нерва.

Зуб ранее лечили, каналы хорошо запломбированы. Но большая киста до магистрального нерва, обнаруженная на клкт не давала покоя.

скрин клкт до

Сначала были предложены варианты по спасению. Но все терапевты, к которым я направлял на консультацию пациента, говорили о сомнительных прогнозах. Так как зуб уже был ранее лечен, каналы сильно расширены. И никто не мог дать гарантию на положительный исход.

Второй и третий вариант, который я предложил:

удаление и пересадка;

удаление и имплантация через ~ 3 месяца;

Взвесив все плюсы и минусы мы приступили к реализации 2-го варианта:

-2

Техник выделил из клкт снимка 38 зуб, который мы планируем пересаживать, чтобы его распечатать.

-3

Выделенный зуб из снимка для печати на 3д принтере.

-4

Напечатанная 3 д модель:

-5

Для того, чтобы зуб удалялся проще, я попросил мою коллегу изготовить каппу, установить в зуб стекловолокный штифт-балку и резинками постараться подвытянуть зуб из лунки, чтобы он был подвижным.

Резинка и каппа:

-6

Штифт поперёк зуба:

-7

Конструкция в сборе:

-8

Вид с жевательной поверхности:

-9

В итоге 37 зуб стал подвижен:

После этих «танцев с бубном» манипуляций мы провели саму операцию. Удалил зуб:

-10

Убрал костную перегородку, вычистил кисту

~1 *1 см
~1 *1 см

и примерил 3 д модель в лунке:

-12

После удалил зуб донор 38 и переместил его в лунку удалённого 37:

-13

Прикрепил шину, чтобы зуб был практически неподвижен на новом месте и сошлифовал ткани, чтобы не мешал по прикусу:

-14

Вид сбоку:

-15

В области удалённого 38 положил prf сгусток, наложил швы.

Затем пациент приходил на периодические осмотры и посещал терапевта для удаления нервов из зуба и пломбирования каналов.

Синий материал на фото, это временный пломбировочный
Синий материал на фото, это временный пломбировочный

Через 1 месяц я снял шину (проволочку, что соединяла два зуба) .

Подвижность у зуба физиологическая (это норма), десна возле него в порядке.

фото через 3 месяца
фото через 3 месяца

Прошло 6 месяцев с момента операции, пациента ничего не беспокоит. Подвижность зуба отсутствует.

Клкт контрольное через 6 месяцев:

-19

до/после:

-20

-21

Плюсы:

удалили плохой 7 зуб, который итак нужно было убирать;

удалили 8 зуб, который итак нужно было удалять;

восстановили жевательную функцию в короткий срок ~1 месяц;

сохранили объём тканей десны и кости вокруг.

В подобных случаях, когда киста простирается до нерва и перелечивать зуб невозможно, данная методика, как никогда, приходится к месту.

Продолжение и завершение клинического случая смотрите здесь

Спасибо, что проявили интерес к публикации!

________________________________________

Ставьте лайк👍.

Подписывайтесь на канал. ✅

Всем здоровья!

P.s. пишите свои мнения и вопросы в комментариях📝

С уважением, доктор Ижмукóв

Виталий Владимирович.

_________________________________________

Контактная информация:

+79370634232