Найти в Дзене

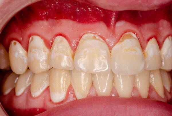
Язвенный гингивит.

Язвенный гингивит — это воспалительное заболевание дёсен, которое сопровождается появлением язв. Оно может возникнуть как осложнение катарального гингивита.
Другие названия заболевания: язвенно-некротический гингивит Винсента, фузоспирохетный гингивит, "изъеденный рот". В англоязычной литературе язвенный гингивит обозначают как ANUG — Acute Necrotizing Ulcerative Gingivitis.
Симптомы язвенного гингивита.
Основные симптомы язвенного гингивита включают:
1. Болезненные ощущения в области дёсен. Боль может усиливаться при жевании или чистке зубов.
2. Появление язв на поверхности дёсен. Эти язвы могут быть очень болезненными и вызывать дискомфорт.
3. Отек и покраснение дёсен. Десны могут выглядеть опухшими и иметь красный оттенок.
4. Кровоточивость дёсен. При чистке зубов или прикосновении к деснам они могут кровоточить.
5. Неприятный запах изо рта (галитоз). Это может быть связано с наличием язв и воспаления в полости рта.
6. Общее недомогание, слабость, повышение температуры тела. Эти

Язвенный гингивит — это воспалительное заболевание дёсен, которое сопровождается появлением язв. Оно может возникнуть как осложнение катарального гингивита.

Другие названия заболевания: язвенно-некротический гингивит Винсента, фузоспирохетный гингивит, "изъеденный рот". В англоязычной литературе язвенный гингивит обозначают как ANUG — Acute Necrotizing Ulcerative Gingivitis.


Симптомы язвенного гингивита.

Основные симптомы язвенного гингивита включают:
1. Болезненные ощущения в области дёсен. Боль может усиливаться при жевании или чистке зубов.
2. Появление язв на поверхности дёсен. Эти язвы могут быть очень болезненными и вызывать дискомфорт.
3. Отек и покраснение дёсен. Десны могут выглядеть опухшими и иметь красный оттенок.
4. Кровоточивость дёсен. При чистке зубов или прикосновении к деснам они могут кровоточить.
5. Неприятный запах изо рта (галитоз). Это может быть связано с наличием язв и воспаления в полости рта.
6. Общее недомогание, слабость, повышение температуры тела. Эти симптомы могут возникать в случае тяжелого течения заболевания или присоединения инфекции.

Впервые язвенный гингивит был описан у военнослужащих во время Первой мировой войны. С тех пор он выявляется гораздо реже и на данный момент не является распространённым заболеванием. В промышленно развитых странах заболеваемость язвенным гингивитом составляет от 0,19 до 0,5 % . Заболевание более распространено среди ВИЧ-позитивных больных — им страдают от 4,3 до 16 % пациентов с иммунодефицитом .

Причины появления язвенного гингивита?

Причины появления язвенного гингивита могут быть различными. Вот некоторые из них:
1. Плохая гигиена полости рта. Недостаточная чистка зубов и языка может привести к накоплению зубного налета, который содержит бактерии. Эти бактерии могут вызвать воспаление дёсен.
2. Курение. Курение является одним из факторов риска развития язвенного гингивита. Табачный дым может раздражать слизистую оболочку полости рта и способствовать развитию заболеваний дёсен.
3. Стресс. Длительный стресс может ослабить иммунную систему организма, делая его более подверженным различным заболеваниям, включая язвенный гингивит.
4. Аллергические реакции. Некоторые люди могут испытывать аллергическую реакцию на определенные продукты питания, лекарства или другие вещества, что может привести к воспалению дёсен.
5. Нарушения работы иммунной системы. Некоторые заболевания, такие как ВИЧ/СПИД или лейкемия, могут ослаблять иммунную систему, увеличивая риск развития язвенного гингивита.
6. Гормональные изменения. Беременность, менопауза или прием гормональных препаратов могут повлиять на состояние дёсен и увеличить риск развития язвенного гингивита.
7. Генетическая предрасположенность. Некоторые люди могут быть более склонны к развитию язвенного гингивита из-за генетических факторов.

Как проходить процесс лечения язвенного гингивита?

Лечение язвенного гингивита обычно включает в себя несколько этапов:

1. Профессиональная чистка зубов. Стоматолог удаляет зубной налёт и камень, чтобы уменьшить количество бактерий в полости рта.

2. Медикаментозное лечение. Врач может назначить антибиотики или противовоспалительные препараты, чтобы бороться с инфекцией и уменьшить воспаление.

3. Уход за полостью рта. Регулярная чистка зубов и использование зубной нити помогают поддерживать чистоту полости рта и предотвращать дальнейшее развитие заболевания.

4. Изменение образа жизни. Отказ от курения, улучшение питания и управление стрессом могут помочь улучшить общее состояние здоровья и снизить риск развития язвенного гингивита.

5. Хирургическое вмешательство. В некоторых случаях может потребоваться хирургическое удаление поражённых тканей или проведение реконструктивных операций.

Если у вас есть признаки язвенного гингивита, рекомендую вам записаться на приём в стоматологическую клинику «Лаки Смайл» на Таганке. Опытные специалисты проведут диагностику, поставят точный диагноз и назначат эффективное лечение.

Более подробно о наших ценах https://ls-stom.ru/czenyi