Найти в Дзене
Parodoctor

Думаем об All-on-6, делаем "всё на 6". Различие протоколов - в чём разница. Разбор операции и стоимость с временным адаптационным протезом

Не успели снять швы после глобального синус-лифтинга огромной пазухи на верхней челюсти, как пациент примчался удалять все зубы на нижней челюсти и ставить 6 имплантатов. Хотел ещё один синус сразу же осилить, но пощады попросил уже доктор. Пациенту нормально, он бодр, весел и, вообще, великолепен!) Первая часть: План лечения глобальный - "всё на 6" верхней и нижней челюстей Но, из-за дефицита кости наверху, приходится идти путём более сложной подготовки - 2 синус-лифтинга сверху (поочерёдно), потом заживление/приживление/превращение, только потом тотальный протокол на имплантатах. С нижней челюстью почти всегда проще - для ТОТАЛЬНЫХ работ (своих зубов не остаётся вообще) на имплантатах кости хватает в 90% случаев сразу. Я сейчас позволю себе большую вольность - напишу в заголовке неправду, поясню обязательно, почему это так и зачем я на это иду. All-on-6 ("всё на 6") - нижняя челюсть "All-on-4", "All-on-6" - так называется протокол работы на имплантатах Nobel. Nobel Biocare первыми
Оглавление

Не успели снять швы после глобального синус-лифтинга огромной пазухи на верхней челюсти, как пациент примчался удалять все зубы на нижней челюсти и ставить 6 имплантатов.

Хотел ещё один синус сразу же осилить, но пощады попросил уже доктор. Пациенту нормально, он бодр, весел и, вообще, великолепен!)

Первая часть:

План лечения глобальный - "всё на 6" верхней и нижней челюстей

Но, из-за дефицита кости наверху, приходится идти путём более сложной подготовки - 2 синус-лифтинга сверху (поочерёдно), потом заживление/приживление/превращение, только потом тотальный протокол на имплантатах.

С нижней челюстью почти всегда проще - для ТОТАЛЬНЫХ работ (своих зубов не остаётся вообще) на имплантатах кости хватает в 90% случаев сразу.

Я сейчас позволю себе большую вольность - напишу в заголовке неправду, поясню обязательно, почему это так и зачем я на это иду.

All-on-6 ("всё на 6") - нижняя челюсть

"All-on-4", "All-on-6" - так называется протокол работы на имплантатах Nobel. Nobel Biocare первыми внедрили протоколы подобной реабилитации на малом количестве имплантатов, придумали название, внедрили его в массы и только на данных имплантатах можно работу так назвать.

Как джип - всё внедорожное у нас джип теперь. Как памперс. Ну вы поняли.

Straumann называют свои (по сути - такие же) протоколы ProArch.

Но это вовсе не означает, что на имплантатах других производителей нельзя работать точно в такой же технике. Просто название, как мне кажется, корректнее обычное - "всё на 4", да "всё на 6".

All-on-6 ("всё на 6") на имплантатах Neodent

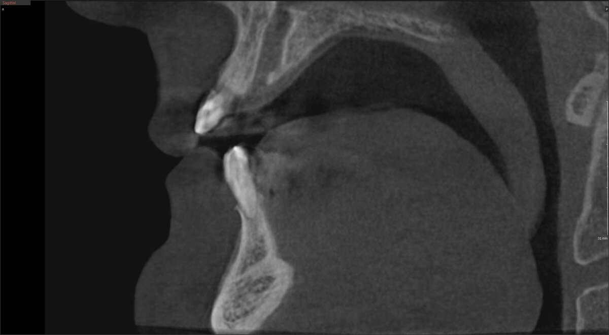
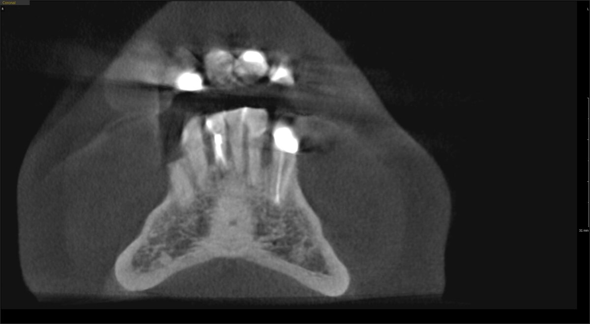
Всё было в дистанционном режиме - первая консультация, общение с доктором, составление плана лечения. Пациент прислал нам свежий рентген (КЛКТ, оно же 3Д КТ) и цифровой слепок челюстей (3Д сканирование).

Если хотите так же, то в тг канале https://t.me/parodoc можно узнать, как желание осуществить.

Оценим прекрасные зубы человека, на которые у нас поднялась рука:

В планировщике были сложены вместе - снимок КЛКТ и цифровой слепок, расставлены имплантаты, вот:

All-on-6 ("всё на 6") - нижняя челюсть
All-on-6 ("всё на 6") - нижняя челюсть

Получилось без экстрима вообще - 6 полноценный "болтов", расставленных ровнёхонько в кости, без наклонов.

Распечатали серию шаблонов (помогал с их составлением наш доверенный техник, соображающий в цифровом протоколе и проверенный временем):

Хирург подготовил для себя памятку:

Шпаргалка хирурга
Шпаргалка хирурга

Я фотографирую пациента до операции:

Никто не узнает - маскировка =)
Никто не узнает - маскировка =)

Во рту:

Всё выполняется под местной анестезией и нет, было не больно.

Операционные фото и видео сюда добавлять НЕЛЬЗЯ, поэтому этот материал в мельчайших подробностях ждёт смелых в моём тг канале, вот ссылка на 10 видео с этой операции https://t.me/parodoc/1031

Вот темы видео, но именно так и шла процедура:

-7

Применяли пьезохирургический аппарат - альвеолярная кость была избыточна во фронтальном отделе, а для протеза необходима ровная площадка. Пришлось подгонять передний отдел под дефицитные боковые. И это нормально, это не плохо и прогноз отличный.

Имплантаты установлены с хорошим торком (один только немножко слабоват, но за счёт остальных риски полностью нивелированы).

Перед установкой мультиюнитов кость вокруг имплантатов подготовлена специальным инструментом, профайлером:

Перед вкручиванием мультиюнитов, доктор наносит на них специальный силикон с антисептиком - он будет вечно сохраняться между поверхностями 2-х металлических деталей и бактерии такого не потерпят.

Гапсил - силикон с антисептиком
Гапсил - силикон с антисептиком

Нанёс и можно вот эту часть закручивать прямо в шахту имплантата:

Нанесение силикона на резьбу мультиюнита
Нанесение силикона на резьбу мультиюнита

Дальше установка колпачков и снятие слепков с индивидуальной ложкой (составная часть матрёшки шаблонной). Тут не покажу - кровь присутствует.

И швы не покажу. Причина та же.

Делаем контрольный рентген:

Всё замечательно, но так и должно было быть - изначально хорошие условия. Даже промежуточный КЛКТ не делали, ибо незачем. Почаще бы так..)

Планируем сдать работу через три дня (сегодня среда, в субботу поставлена сдача).

А вот и мы - имплантолог, ассистент и фотограф (я)
А вот и мы - имплантолог, ассистент и фотограф (я)

Стоимость All-on-6 ("всё на 6"), Neodent - 452 000 рублей

Сюда вошло всё, что описано в статье + временный адаптационный протез. То есть, это стандартная работы на 05.06.2024.

Больше материалов по нашим тоталам в глобальной подборке:

Тотальные работы на имплантатах. | Parodoctor | Дзен

До новых встреч!

С уважением, Лежачёва Наталия Александровна, главный врач стоматологии Пародент, СПб.