Найти в Дзене
О красоте и здоровье.

Из паталогии без операции

А Вы знали, что 75% информации человек получает благодаря зрению. Мы смотрим на себя, на мир и людей вокруг. Анализируем и изучаем. Мы так живем. То, как человек выглядит - это важная для нас информация. Многое мы считываем напрямую, многое наш мозг дорисовывает. Но отталкивается, все таки, от внешности. А человеческое лицо - это первое на что каждый из нас обращает внимание. Именно поэтому так развита индустрия красоты, но согласитесь: многое, но далеко не все подвластно косметологам… И вот тут вступают в дело стоматологи, ортодонты, ортопеды. Люди, которые могут кардинально изменить Вашу жизнь, Ваше восприятие себя, ощущения себя, а также восприятие окружающими лично Вас. Как это может быть? - спросите Вы. А мы Вам с радостью ответим на этот вопрос с помощью разбора стоматологического кейса комплексного лечения в клинике эстетической стоматологии Практика доктора Склярука. В клинику обратился пациент с жалобами на эстетически неудовлетворительный вид зубов. И пациент хотел эту пробл

А Вы знали, что 75% информации человек получает благодаря зрению. Мы смотрим на себя, на мир и людей вокруг. Анализируем и изучаем. Мы так живем. То, как человек выглядит - это важная для нас информация. Многое мы считываем напрямую, многое наш мозг дорисовывает. Но отталкивается, все таки, от внешности. А человеческое лицо - это первое на что каждый из нас обращает внимание. Именно поэтому так развита индустрия красоты, но согласитесь: многое, но далеко не все подвластно косметологам…

И вот тут вступают в дело стоматологи, ортодонты, ортопеды. Люди, которые могут кардинально изменить Вашу жизнь, Ваше восприятие себя, ощущения себя, а также восприятие окружающими лично Вас.

Как это может быть? - спросите Вы. А мы Вам с радостью ответим на этот вопрос с помощью разбора стоматологического кейса комплексного лечения в клинике эстетической стоматологии Практика доктора Склярука.

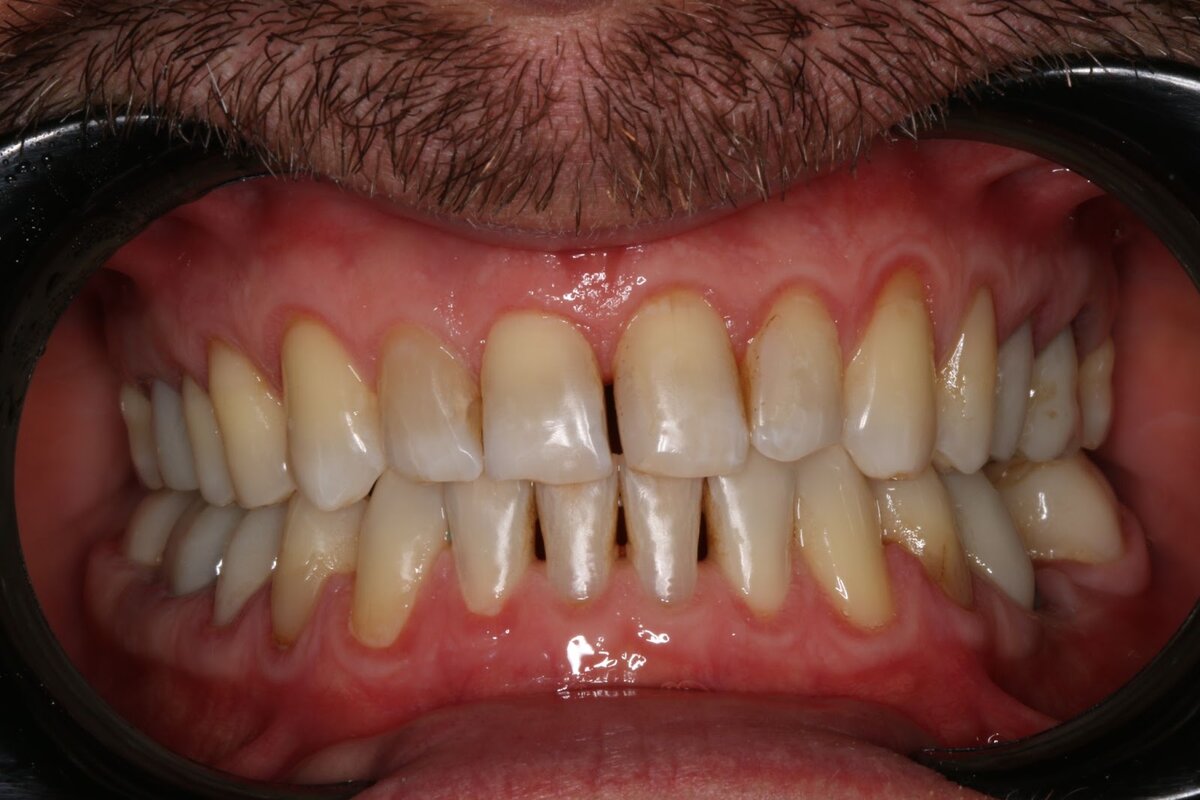
В клинику обратился пациент с жалобами на эстетически неудовлетворительный вид зубов. И пациент хотел эту проблему решить. Всем нам хочется быть красивыми и уверенными в себе.

В нашем сегодняшнем случае у пациента был обратный прикус: нижняя челюсть была выдвинута вперед. С одной стороны, если внешность для Вас неважна, можно как будто на эту проблему и не обратить внимания, и не заниматься ею. Но!!!! С обратным прикусом во-первых сложно пережевывать пищу, во-вторых повышается стираемость зубов. Не говоря уже о том, что обратный прикус влияет на речь.

До лечения
До лечения

Перед тем как начать работать с эстетикой зубов врачам клиники эстетической стоматологии Практика доктора Склярука необходимо было поставить верхнюю челюсть на место. Звучит грубо, но как есть…))) На место - это поставить верхнюю челюсть над нижней, как это и должно быть.

Ортодонтическое лечение длилось около 2-х лет и включало несколько этапов.

Диагностика. В нашем случае она включала в себя:

  1. Компьютерную томографию
  2. 3D снимок
  3. Снимки МРТ ВНЧС (височно-нижнечелюстного сустава), КТ ВНЧС, кондилографию (функциональная диагностика челюсти в движении).
КТ ВНЧС
КТ ВНЧС

Всё это необходимо сделать, для того, чтобы тщательно и детально изучить движения ВНЧС, этот этап работы кропотливый, но необходимый, чтобы избежать возможных проблем в будущем для нашего пациента.

Комплексная проверка зубов выявила необходимость восстановления некоторых зубов. Стоматологи клиники эстетической стоматологии Практика доктора Склярука вылечили кариес, а также инфекцию полости рта.

И приступили к ортодонтическому лечению брекетами.

Для решения задачи изменения обратного прикуса была выбрана металлическая брекет система. Почему именно металлическая? Ведь существуют и другие варианты: керамическая или комбинированная брекет-система.

Мы раскроем Вам секрет, брекет системы отличаются между собой не только с точки зрения эстетики, но и мощности. Не каждую проблему решат комбинированные или керамические брекеты. В нашем случае “вытянуть” челюсть могла только металлическая.

И здесь мы с Вами немного раскроем секреты работы ортодонта и пациента. И ответим на злободневные вопросы:

  • Если в процессе ношения брекет система сломалась, что делать? - на определенном этапе лечения брекетами починка брекет системы - это бесплатная услуга. Всякое в жизни случается. НО!!! Если проблема начинает носить хронический, регулярный характер: у пациента ломается крепление на зубе каждый месяц, значит есть место травме, возможно, пациент перегружает пищей брекеты, и они не выдерживают нагрузки. Не поверите, но часто пациенты не соблюдают рекомендации врача, а иногда как будто проводят испытания на прочность, и это касается не только брекетов, но и коронок, виниров, имплантов. И вот в этом случае пациенту необходимо будет оплачивать починку брекета. Но когда пациент не виноват в клинике эстетической стоматологии Практика доктора Склярука Вам с радостью и бесплатно произведут ремонт крепления.
  • Как происходит процедура установления брекетов: сначала верхний зубной ряд, потом нижний. После установки брекетов пациент раз в месяц посещает врача-ортодонта, для замены дуг, активации, подтяжки брекетов.
  • Жалобы пациентов во время ношения брекетов: в первые две недели – это тяжесть в голове. Брекеты - это для человека совершенно новые неизведанные ощущения, ведь раньше он их не носил. В первые 3 недели брекеты вызывают дискомфорт, во время еды пища застревает. Ко всему этому нужно привыкнуть. Также человек по-новому учится ухаживать за полостью рта и зубами.Во время ношения брекетов необходимо использование ирригатора, ёршиков, ополаскивателей. Также и слизистая оболочка полости рта адаптируется так сказать к новым “деталькам”, которые находятся на зубах.
Брекет система
Брекет система

Наш сегодняшний стоматологический случай - не рядовой. Не каждый специалист возьмется за такую серьезную работу. Во время ортодонтической диагностики врачи клиники стояли перед выбором: ведь для изменения формы нижней челюсти можно было применить ортодонтическую хирургию, а это полноценная операция на челюсти. Но благодаря слаженной работе всех специалистов удалось избежать этого этапа. Это было совместным решением пациента, стоматолога и ортопеда.

-6

Снимки показали, что на нижней челюсти в области 3-го сегмента отсутствует зуб. Эту потерю необходимо было восполнить. Пациенту был установлен имплантат и коронка из диаксид циркония.

Вы спросите: а можно было избежать установки имплантата? - и мы честно ответим, что да. От имплантата можно было отказаться в пользу мостовидной конструкции. Когда рядом стоящие зубы препарируют и ставится мостик, т.е. пойти популярным несколько лет назад путем.

Но давайте разберемся, почему мостовидные конструкции были так популярны? - А сейчас - применяются гораздо реже.

Установка имплантов была новой инновационной технологией, немногие доктора ее предлагали. Сами врачи не могли понять что это и как это работает. А все новое - пугает. Врачи боялись браться за установку имплантатов, а пациенты - боялись их себе ставить.

Время идет, и многое изменилось. На сегодняшний день на рынке представлено огромное количество различных имплантатов. Но в клинике эстетической стоматологии Практика доктора Склярука доверяют и работают с 3-мя из них:

  1. Dentium - Южная Корея. Бюджетный вариант, но хорошо себя зарекомендовавший.
  2. Astra Tech - Швеция.
  3. Nobel Biocare - швейцарско-американские импланты с большой линейкой.

В большей части в клинике ставят Nobel Biocare, потому что по своим характеристикам, и по удобству использования, и даже по работе менеджеров компании - это самая лучшая система. Она удобна в работе как для ортопеда, так и для хирурга, и, разумеется, для пациента. Это самые надежные имплантаты в долгосрочной перспективе. В этом заинтересован и врач, и пациент. Пациенты будут реже посещать клинику с проблемами коронок, и имплантов, а врач будет спокоен за своего пациента.

Nobel Biocare - очень правильно подошли к процессу с точки зрения технологии. Они первые, кто поставил человеку имплантат и на сегодняшний день это самая лучшая система, которой доверяют стоматологи на все 100%.

Достоинства Nobel Biocare:

  • Обширная клиническая база, т.к. они первые в этой индустрии.
  • Несравненный опыт с высокотехнологичной базой опережающий коллег на года.

После установки имплантата пациенту, прошел небольшой период заживления десны. Был сделан слепок и по нему изготовлена и установлена временная коронка.

Стоит ли бояться имплантатов?

Боятся имплантатов люди, которые никогда их не ставили. На самом деле – это удивительная история. У человека не было зуба, а после установки имплантата – он есть. Во-первых это красиво с точки зрения эстетики, во-вторых и “новый зуб” и соответственно челюсть, а дальше и весь сустав может и будет выполнять свои функции на 100%. В истории клиники эстетической стоматологии Практика доктора Склярука не было ни одного пациента, который во время ношения “тестовой версии зуба” отказался от этого решения.

Каковы риски при установки имплантата, что может пойти не так?

  1. Отторжение имплантата. Такое случается, но крайне редко, и самая распространенная причина - это перегрузка имплантата. Например, если пациент решил погрызть орехи. Мы уже с Вами в начале статьи говорили, что есть категория людей, которая испытывает на прочность не только брекеты. В случае отторжения - имплантат выпадает. И необходима его переустановка. Это не больно, и не страшно. Просто затягивает процесс лечения по времени.
  2. Западание пищи между временной коронкой и десной. И здесь есть вариант решения – пластика десны. Решить эту проблему можно и конфигурацией коронки, но тогда временная коронка может поменять анатомическую форму. По сравнению с рядом стоящими зубами она может казаться меньше или больше. И необходимо помнить, что коронка будет менее функциональной, если мы изменим ее форму. Она должна быть функциональной и пережевывать пищу.

Как видите риски установки имплантата минимальны и у них есть решения. Поэтому если у Вас есть необходимость в восстановлении зубного ряда - решайтесь, ставьте имплантаты в клинике эстетической стоматологии Практика доктора Склярука. И ничего не бойтесь.

И мы снова возвращаемся к нашему пациенту, после лирического отступления про имплантацию зубов.

-7

Если не решать вопросы нашего пациента сейчас, и не начать комплексное стоматологическое лечение, в зрелом возрасте можно ждать целый букет проблем:

  • стираемость зубов,
  • эстетический дефект зубов,
  • изменение профиля лица,
  • проблемы с ВНЧС, могут быть щелчки, шумы в ушах вплоть до головных болей.
  • и пациент будет все это время себя неуверенно чувствовать

Можно ли было избежать подобного развития событий, и что нужно было сделать, чтобы избежать такого длительного и комплексного лечения?

Да, можно. Если бы нашего пациента в свое время, на стадии сменного прикуса в 7-8 лет родители отвели бы к ортодонту всех этих манипуляций удалось бы избежать на первом этапе с помощью пластинок, а в подростковом возрасте с помощью брекетов. Процесс лечения был бы и дешевле, и быстрее.

Далее для нашего пациента был изготовлен макет на передние зубы верхней челюсти, и прошла их установка и период тестирования.

Как вы знаете, а если не знаете, мы расскажем, виниры бывают 2-х видов:

  • Авторские виниры
  • Нехудожественные виниры.

В чем разница?

Авторские виниры сохраняют похожесть на свои естественные зубы. Если делать нехудожественные виниры человек теряет некоторую степень в эстетике улыбки. В Москве есть техники и врачи, которые на потоке изготавливают виниры и макеты стандартным способом используя цифровой метод: когда из библиотеки в которую включено 3 варианта форм, специалист берет один и подставляют к улыбке человека на мониторе,фрезерует зубы. Без каких-либо добавок , без ручного труда. Авторские виниры – это другой подход. Здесь работа строится индивидуально: врач клиники эстетической стоматологии Практика доктора Склярука - Алексей Викторович Склярук подбирает виниры под профиль лица, под тип улыбки, под форму, цвет зубов. Он проверяет как цвет виниров соотносится с цветом белков глаз, а дальше уже дорабатывает виниры ручным художественным способом: берет кисточку и накладывает керамическую массу вручную, чтобы это было максимально натурально и красиво, результат получается индивидуальным для каждого пациента. Авторские виниры - это ювелирная работа, а разница в цене между авторскими и нехудожественными винирами несущественна по цене – около 10-15 %.

-8

В клинике эстетической стоматологии Практика доктора Склярука работает скидочная система на комплексное лечение. Если оплатить сразу 50% лечения пациент получает скидку в 5-7 процентов. Если Вы вносите 100% оплату, тогда скидка составляет на период Вашего лечения около 10-15 %. В клинике есть возможность получения рассрочки, как от банка, либо Вы можете воспользоваться внутренней рассрочкой от самой клиники. Напоминаем также, что о налоговом вычете в 20% на полную сумму лечения.

-9

Мы с радостью ждем Вас в нашей клинике эстетической стоматологии Практика доктора Склярука, чтобы создать для Вас и вместе с Вами открытую, красивую улыбку, с которой Вы почувствуете уверенность в себе, которая останется с Вами на всю жизнь.