Найти в Дзене
Андрей КТ МРТ

Боли в спине НЕЛЬЗЯ ИГНОРИРОВАТЬ!

Наверное, нет ни одного взрослого человека у которого хотя бы раз в жизни не болела спина. А около 80% людей старше 30 лет испытывают боли в спине систематически. И если некоторые причины таких болей хронические, связанные с перегрузкой и травмами то другие могут быть связаны с острой патологией, которая требует безотлагательного медицинского вмешательства и контроля. Так, как в случае промедления могут наступить необратимые процессы. Как мы себя ведем, когда чувствуем боль? Кто-то молча терпит, (всегда восхищался силой человеческого духа), но стоит ли оно того? В большинстве случаев нет. Или, - я слишком занят, сейчас мне не до этого, потом займусь, как время будет. В жизни есть много ситуаций, где стойкость, способность терпеть, что есть сил, напрягая каждую жилу, необходимо, но боль в спине к ним не относится, это не только бесполезно, но и опасно, далее расскажу почему. Боль — это не просто неприятное проявление — это сигнал, это предупреждение, для нас. Организм, как бы говорит на
Оглавление

Наверное, нет ни одного взрослого человека у которого хотя бы раз в жизни не болела спина. А около 80% людей старше 30 лет испытывают боли в спине систематически. И если некоторые причины таких болей хронические, связанные с перегрузкой и травмами то другие могут быть связаны с острой патологией, которая требует безотлагательного медицинского вмешательства и контроля. Так, как в случае промедления могут наступить необратимые процессы.

Как мы себя ведем, когда чувствуем боль? Кто-то молча терпит, (всегда восхищался силой человеческого духа), но стоит ли оно того? В большинстве случаев нет. Или, - я слишком занят, сейчас мне не до этого, потом займусь, как время будет. В жизни есть много ситуаций, где стойкость, способность терпеть, что есть сил, напрягая каждую жилу, необходимо, но боль в спине к ним не относится, это не только бесполезно, но и опасно, далее расскажу почему.

Боль — это не просто неприятное проявление — это сигнал, это предупреждение, для нас. Организм, как бы говорит нам, - вот тут есть проблема дружок, надо бы с ней разобраться.

Почему так важно знать причину? Все очень просто, - чтобы своими действиями (или бездействием) не навредить. Например, один понюхав цветочек может получить положительные эмоции, другой от того же цветка получит приступ удушья (при бронхиальной астме и аллергии на пыльцу). Потому при боли в спине не нужно сразу делать гимнастику или бежать к костоправу, для начала нужно установить точные причины, или хотя бы исключить самые распространенные из них. Поскольку бездумное применения различных методов лечения, не поможет, а навредит.

Каждая болезнь протекает по своим определенным законам, заболевания не развиваются хаотично, они имеют свои причинно-следственные связи. И свои, характерные для конкретного заболевания проявления.

Основные причины болей в спине включают в себя проблемы с межпозвонковыми дисками (протрузии, грыжи), мочекаменная болезнь, воспалительные процессы и травмы.

Травмы и воспаление

При травмах все относительно просто, причем к травмам относятся не только ушибы и переломы, но и полученные при избыточной физической нагрузке, в ходе работы, либо выполнения спортивных упражнений неочевидные повреждения (растяжения, микроразрывы).

Человек обычно в случаи таких травм четко связывает боль и события, либо через наводящие вопросы эти события вспоминает.

Иногда это четкое событие. Вчера ударно поработал на огороде, лег спать все нормально с утра не могу ни согнуться, ни разогнуться. Или, лежал на холодном бетоне, ремонтировал машину, на следующий день спина не поворачивается. Иногда это совокупность растянутых во времени событий. Была стройка на даче, все лето таскали кирпичи, месили раствор, теперь сильно болит спина.

Боль при таких травмах редко отдает в ногу, часто носит локальный характер, не сопровождается онемением и слабостью в конечностях.

Почему в момент физических перегрузок обычно терпимо, а по-настоящему больно наступает на утро, или через день? Потому, что в ходе избыточных физических нагрузок мягкие ткани и суставы получили повреждение, за ночь они отекли, зажали нервные корешки, на утро результат, - боль, ограничение подвижности.

В плане лечения, при травматических болях в спине (если мы не говорим про переломы и серьезные разрывы) самое основное, а зачастую единственное, - это покой. Обезболивающие, в большинстве случаев не рекомендуются т.к. боль в данном случае защитный сигнал. Организм специально через боль создает ограничение подвижности в необходимой степени (боль не дает поворачиваться в какую-то сторону, не дает сгибать спину, не дает лежать на левом боку и т.д.). Самое худшее, что может сделать человек на данном этапе, - натереться обезболивающими мазями, еще пару таблеток внутрь принять и пойти работать дальше, либо продолжать тренировки.

Иногда по телевизору наблюдал, как футболист получивший травму, корчась от боли продолжает доигрывать тайм. Во время решающего матча такая жертва возможно имеет смысл, но в быту, чаще всего нет. Через день –два после травмы хорошо влияют прогревания, магнитотерапия в общем все, что способствует рассасыванию отека и улучшение местного кровообращения.

Грыжи межпозвонковых дисков

Наш позвоночник, упрощено говоря, представляет собой столб, сооруженный из стоящих друг на друге позвонков, чем-то напоминает башню, которую мы строили в детстве из кубиков. Если детские кубики просто стоят друг на друге, то между позвонками имеются, так называемые межпозвонковые диски, они выполняют функцию хрящевой «прокладки» между позвонками. Наличие исправных дисков обеспечивает гибкость и подвижность позвоночника, предотвращает трение костных структур друг об друга. Большинство ощутимых возрастных изменений, которые наступают в позвоночнике, связаны не сколько с проблемами в мышцах и связках, сколько с дегенерацией и повреждением межпозвонковых дисков. Часто эти диски в силу тех или иных причин (как правило, это внешнее воздействие) избыточно расплющиваются. В процессе чего ткани диска распространяются за пределы позвонков и сдавливают окружающие структуры, прилежащие нервные корешки и отделы спинного мозга.

Вопреки распространенному мнению не все грыжи межпозвонковых дисков начинаются с острой боли в спине, чаще наоборот недуг начинается медленно симптомы нарастают постепенно в течение нескольких месяцев или даже лет.

Наиболее ранняя и частая жалоба – боль пояснице и ногах. Она характерна для 80 % людей с грыжей межпозвонкового диска. Боль в поясничном отделе, нередко двусторонняя, распространяется на ягодицы, бедра и далее к стопам. Вслед за этой болью присоединяется утомляемость, слабость, периодическое чувство мурашек онемения в голенях и стопах. В ряде случаев люди описывают свои ощущения со стороны ног, как жжение, судорожное сжатие, покалывание, «затекание», неопределенная усталость, скованность в бедрах и голенях. Физические нагрузки (ходьба, упражнения с участием ног, длительное нахождение в положении стоя) ведут к обострению симптомов.

У некоторых боли появляются в пояснице и бедрах, а далее распространяются вниз к голеням и стопам. В других случаях, наоборот, возникают в стопах и голенях и поднимаются к бедрам и пояснице. В редких случаях болей в пояснице не наблюдается. Иногда, даже большие грыжи межпозвонковых дисков могут быть обнаружены случайно, причем никаких жалоб, связанных с грыжей человек не предъявляет.

Почему-то диагноз «грыжа межпозвонкового диска» вопросов у людей не вызывает, а вот термины протрузия межпозвонкового диска и экструзия межпозвонкового диска, часто требуют разъяснений. Это не удивительно потому, что некоторые врачи МРТ сами до конца не определились из-за множества имеющихся классификаций нарушений межпозвонковых дисков.

Общепринятой считается классификация американского общества нейрорадиологов, согласно ей:

Протрузия - равномерное выпячивание межпозвонкового диска за пределы позвонка (в шейном отделе размерами до 2-3 мм, в грудном 2-4 мм, в поясничном 3-5 мм).

-2

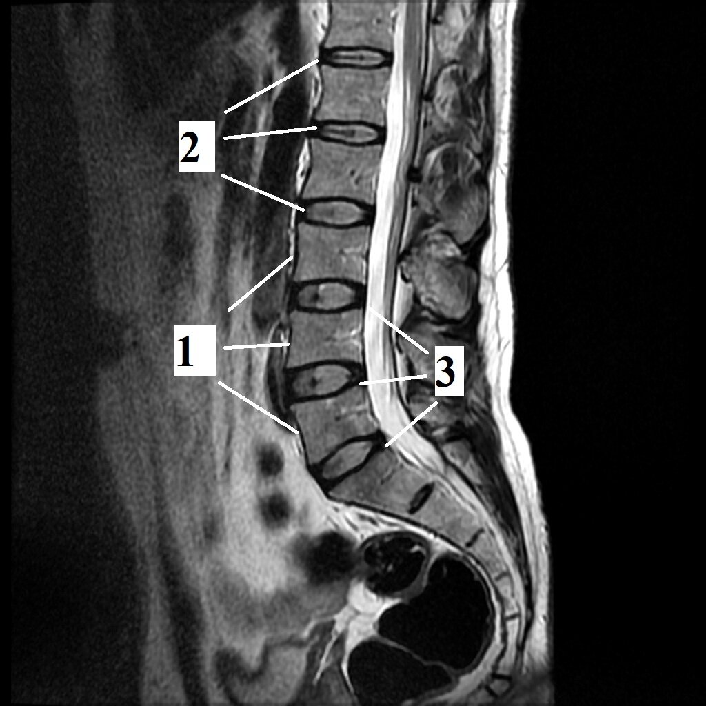
Изображение 1. Поясничный отдел позвоночника МРТ (норма). 1. Тела позвонков четкие и ровные, 2. Высота межпозвонковых дисков равномерная. 3 Межпозвонковые диска по задней поверхности не распространяются за границы тел позвонков.

-3

Изображение 2. Поясничный отдел позвоночника МРТ (протрузии межпозвонковых дисков) 1. Межпозвонковые диски, расположенные между четвертым и пятым поясничными позвонками, пятым поясничным и первым крестцовым позвонком. По задней поверхности равномерно выступают за границы тел позвонков, умеренно сдавливают и деформируют прилежащие отделы позвоночного канала и прилежащие нервные корешки.

Грыжа (Экструзия) - соединения в виде перешейка, «песочных часов» между участком выпячивания (грыжей) и основным диском.

-4

Изображение 3. Поясничный отдел позвоночника МРТ. (грыжа межпозвонкового диска) 1. Выраженное локальное выпячивание межпозвонкового диска со сдавлением и деформацией позвоночного канала и прилежащих к нему нервных корешков.

Секвестрация или фрагментированная грыжа – частичка грыжевого материала отдалена от основной части диска.

-5

Изображение 4. Поясничный отдел позвоночника МРТ (фрагментированная грыжа межпозвонкового диска) 1. Выраженное локальное выпячивание межпозвонкового диска. 2. Оторвавшийся фрагмент грыжи межпозвонкового диска.

Самый частный вопрос после того, как сообщаешь об обнаружении грыжи межпозвонкового диска. Нужно ли оперировать или можно без операции? Конечно данный вопрос решается индивидуально, (в частности зависит, от клинических проявлений, размеров и локализации грыжи), а также реакции организма и самой грыжи на медикаментозные и другие нехирургические методы лечения.

Общие критерии для оперативного вмешательства: размеры грыжи (в поясничном отделе более 8 мм, в грудном более 6-7 мм, в шейном 5-6 мм.), наличие стеноза позвоночного канала (сдавление канала в котором расположен спинной мозг), например, грыжей межпозвонкового диска до диаметра менее 10 мм, (в норме диаметр составляет 15-23 мм)

Грыжи в поясничном отделе нейрохирурги еще оперируют, но грыжи грудного и шейного отделов очень не любят, т.к. убрать их технически сложнее и велик риск осложнений, серьезных осложнений, вплоть до паралича всего, что ниже уровня грыжи.

Следующий распространенный вопрос. Как часто наблюдать грыжу (посредством МРТ)? Если грыжа большая и стоит вопрос об оперативном лечении, то раз в 3-6 месяцев, если грыжа не большая и не причиняет сильного беспокойства, то раз в год.

Откуда берется боль при грыже межпозвонкового диска?

Основная причина боли — это непосредственно механическое сдавление избыточным выпячиваем межпозвонкового диска, прилежащих нервных корешков и спинного мозга.

Второй фактор — это сдавление микрососудов, которое приводит к нарушению венозного и лимфатического оттока, от нервных корешков. Что вызывает, локальный отек нервных волокон, препятствующий их нормальному питанию и функционированию.

Основные функции нервных волокон - проведение нервного импульса, доставка команды от мозга к мышцам (например, совершить какое-то действие: встать, шагать, бежать и т.д.) и доставка информации от тканей (в нашем случае от тканей ног) к мозгу (например, мы чувствуем, как кусает комар в голень, даже если не видим и не слышим его, при этом мы можем определить, с точностью до сантиметра, то место куда именно он кусает, чувствуем, что промочили обувь даже если не заметили, как наступили в лужу и т.д.). И даже такое простое действие, как завязывание шнурков обуви (нам кажется, что это происходит «на автомате», не задумываясь), но на самом деле является результатом синхронной работы нескольких десятков мышц во всем теле. Согласованная работа которых возможна благодаря исправно функционирующей нервной проводимости.

Когда нервы сдавлены они работают неправильно, дают ложную информацию, к примеру ощущение мурашек в ноге, хотя там никто не бегает, чувство покалывания, хотя ногу никто не отсидел, боль в ноге хотя она не подвергается никакому воздеваю и так далее.

Иными словами, мышцы в порядке, кости и сустава в порядке, но из-за того, что не в порядке «провод», по которому передается информация, орган функционирует неправильно и передает в мозг искаженные сигналы.

Случаи из жизни

Боль штука лукавая и она не всегда отражает степень ущерба, получаемого организмом. Но мы привыкли оценивать степень тяжести по интенсивности боли. Сильно болит, - надо действовать, наверное, что-то страшное. Слабо болит, - ерунда, какая-то, болит не сильно, значит само пройдет, беспокоится не о чем.

Есть много средств от боли, в спине которые в моменте приносят облегчение. Массаж, мануальная терапия кому-то иглоукалывание хорошо помогает. Известно большое количество упражнения и растяжек от болей в спине (вещь отличная сам постоянно пользуюсь), но если глобально это проблему не решает - есть повод задуматься.

Когда применяемые средства приносят временное облегчение, но не решают проблему полностью, нужно обязательно установить причину. Потому, что боль является важным индикатором, но не единственным. К тому же болевой порог у всех различный.

Сам неоднократно наблюдал, как человека буквально на руках заносят в кабинет МРТ и кладут на стол. Смотрю я на эту картину и думаю, там, наверное, огромная грыжа межпозвонкового диска. А на деле вообще грыжи нет, просто воспаление нервного корешка.

Бывает и обратная ситуация, просматриваю исследование, - огромная грыжа межпозвонкового диска. Выхожу к обследуемому, чтобы побеседовать. Ожидаю увидеть «скрюченного» человека со страдальческим выражением лица, ан нет, стоит стройный и прямой. На вопрос, - что беспокоит? Говорит, - что в спине иногда покалывает и стопа время от времени немеет.

Вспоминаю еще один случай. Молодая девушка, на момент обследования и 20 лет не было. Жалуется на то, что сильно болит голень и голеностопный сустав справа. Травм не было. Сделали МРТ голени и сустава - все идеально. Я предложил, сделать поясничный отдел позвоночника. На что услышал возражения, - зачем? У меня спина не болит! Вообще не болит! Все же я убеди их пройти это исследование. Обнаружили большую грыжу межпозвонкового диска глубиной 8 миллиметров. Откуда эта грыжа взялась в столь юном возрасте? История умалчивает. Но, после того, как они «занялись» лечением грыжи боли в ноге ушли.

Многие мануальные терапевты не берут к себе на лечение без МРТ, просто боятся навредить, что правильно и верно. Связано это с тем, что при травме и воспалении нервных корешков будет применена одна тактика, при грыже другая, при растяжении третья. Допустим одна и та же манипуляция при спондилоартрозе принесет облегчение, а при грыже может навредить.

На чем делают большие деньги

Просмотрите этот раздел внимательно, возможно Вам он поможет сэкономить не мало денег. Когда мы заболеваем простудными или вирусными заболевания выздоровление происходит, не только за счет лечения, некоторые люди из принципа или по другим причинам не пьют лекарства от простуды, максимум чай с лимоном и медом.

И простуда сама проходит за несколько дней. Выздоровление происходит за счет того, что организм сам борется с инфекцией. На самом деле наш организм борется не только с инфекцией, но и с травмами, ушибами и растяжениями (кости срастаются, раны на коже заживают, синяки рассасываются, нечто подобное происходит и с грыжами межпозвонковых дисков). Грыжа со временем частенько «рассасывается» или «фиксируется», так происходит не всегда, но достаточно часто.

-6

Изображение 5. Поясничный отдел позвоночника КТ (фиксированная грыжа). 1. По смежным поверхностям прилежащих позвонков, сформировался «костный мастик». 2. Фиксирующий грыжевой компонент диска от дальнейшего распространения. Конечно такие костные отростки тоже поддавливают прилежащие структуры, но грыжа от этого больше не становиться, и компрессия остается на условно приемлемом уровне.

Резорбция

С грыжей, когда она рассасывается, происходит примерно то же самое, что и с синяком на коже. Мы ударились, у нас появляется синяк, допустим на бедре. Большой и темно-синий, со временем цвет становится все менее интенсивным, более тусклым, потом вообще синяк проходит бесследно. Что это за процесс, который все наблюдали. Синяк - это результат выхода крови в мягкие ткани, то есть за пределы сосудистого русла за счет (к примеру) травматического повреждения сосудов, затем излитая кровь потихоньку рассасывается, локально в месте повреждения запускаются определенные процессы. В результате специальные клеточки потихоньку эту кровь «убирают» из того места, где ее быть не должно. Нечто похожее происходит и с грыжей, конечно это процесс более длительный. Потому, что там задействована совсем другая ткань, иные анатомические структуры, но в целом механизм тот же, запускаются специальные процессы, которые утилизируют грыжевой фрагмент диска из того места где его быть не должно.

-7

Изображение 6. Поясничный отдел позвоночника МРТ (фрагментированная грыжа межпозвонкового диска) 1. Выраженное локальное выпячивание межпозвонкового диска. 2. Оторвавшийся фрагмент грыжи межпозвонкового диска.

-8

Изображение 7. Поясничный отдел позвоночника МРТ (тот же самый человек через год) 1. Грыжевое выпячивание межпозвонкового диска стало значительно меньше. 2. Оторвавшийся фрагмент грыжи межпозвонкового диска практически рассосался.

На этих двух явлениях (резорбции или рассасывании грыжи межпозвонкового диска и фиксирование грыжи остеофитами) умные люди делают большие деньги, а очень умные люди, - очень большие деньги. Организуются клиники, кабинеты, курсы. Применяется комплекс мероприятий по лечению грыж включающий различные процедуры и лечебную физкультуру.

Через 6-12 месяцев таких манипуляций повторяют МРТ, грыжа стала меньше. Ура! Часто наблюдаю похожие примеры, сделали МРТ нашли грыжу 7 мм. Прошел год, повторное исследованием - грыжа 5 мм. Я, полный энтузиазма, иду расспрашивать. Спрашиваю, что делали? Как лечили? Отвечает, - ничего не делал. Вообще ничего? Ничего. Ни вытяжек, ни гимнастики. Все как обычно, только землю не копал и тяжести не поднимал т.к. «спина не дает». А грыжа уменьшилась и спина болеть стала меньше

Весь комплекс мероприятий, который делают в клиниках «по борьбе с грыжами межпозвонковых дисков» за круглые суммы, - штука возможно и хорошая. Но нет никаких доказательств, что бесплатные растяжки дома, на коврике перед телевизором дали бы худший результат. К тому же далеко не у всех клиентов «дорогих» клиник дела идут гладко. Многим не становится лучше, кому-то даже хужеет.

Там по отношению к клиентам очень простая концепция. Если помогло – я молодец, я вылечил! Не помогло – сам дурак! Скажут, - ты вот тут, что-то не так сделал из-за этого тебе не помогло. Хотя применительно к грыжам межпозвонковых позвонковых дисков результат в большей мере зависит от особенностей организма и дисциплинированности индивида, чем от мастерства доктора. Прошу понять меня правильно, я не призываю обходить стороной такие центры, просто хочу, чтобы Вы не строили относительно них «розовые фантазии».

Почему нельзя терпеть боль при грыжах?

Если грыжи могут сами рассасываться, зачем что-то делать? Для чего нужен комплекс мероприятий, регулярно проходить МРТ и т.д.

Во-первых, они рассасываются не у всех, по данным литературы в 30-50 % случаев. Во-вторых, в любом случае грыжа требует подтверждения и визуального наблюдения. Когда человек знает, что у него грыжа, то в отдельных ситуациях он поведет себя более аккуратно. Даже если у него в моменте спина не болит. Не станет поднимать тяжести, не будет перенапрягутся во время занятия спортом и в быту.

Иногда бывает так, что у человека не диагностированная грыжа. Вдруг заболела спина, он прошел стандартный курс лечения включающий обезболивающие, противовоспалительные препараты. Мази помазал, растяжки поделал. Субъективно по ощущениям стало лучше, острый период прошел, спина сгибается и разгибается. Наступил период «затишья» клинических проявлений.

Во время «затишья» человек своими действиями усугубляет ситуацию в несколько раз, носит тяжелые сумки, копает землю, выкладывается в зале, грыжа вместо того, что бы рассосаться и восстановиться вылезет еще сильнее и обязательно напомнит о себе в самый не подходящий момент.

Один приятель мне завил, - зачем мне МРТ? Когда спина болит я просто иду к знакомому костоправу, прохожу у него несколько сеансов и все в порядке.

Даже если вы пойдете наугад к массажисту, мануальному терапевту, на иглотерапию и т.д. То при наличии МРТ Вы существенно облегчите задачу любому специалисту. Он уже будет видеть, где какие проблемы имеются. А не руководствоваться своими предположениями.

Несколько раз наблюдал такие случаи. Человек долго живет с грыжей межпозвонкового диска, то хочет оперироваться, то не хочет. То полечит консервативно, на вытяжки походит, туда-сюда вроде полегче становится. Потом где-то накосячит, поднимет что-нибудь тяжелое, грыжа опять обостряется. В результате несколько лет нервные корешки остаются в сдавленном состоянии и с нарушенным кровотоком. Через два-три года человек все-таки решается на операцию.

Операции технически проходит успешно, механическое воздействие из вне на нервный корешок устранено, а функции не восстановились, или восстановились частично. Как немела нога, так и немеет, как не было чувствительности, так и нет. С чем это связано? Приведу аналогию. Вот возьмем указательный палец и туго перевяжем его шнурком посередине. Что произойдет с участком пальца ниже места сдавления? Он сперва посинеет, появится отек боль и так далее. Через несколько часов такого сдавления начнется отмирание тканей. И если шнурок развязать в этот момент, то часть тканей все равно погибнет. Пример грубый, но наглядный. Аналогичная ситуация происходит со сдавленными грыжей нервными тканями. В условиях постоянной компрессии они потихоньку (в течении месяцев или даже лет) отмирают и деградируют из-за постоянного нарушения кровотока.

И даже если потом убрать сдавление, есть не нулевой риск, что полностью функции не восстановятся.

Это не значит, что при постановке диагноза грыжа надо бегом бежать оперироваться, я лишь хочу сказать, что процесс лечения грыжи должен быть контролируемым и проходить под присмотром врача и МРТ. Любое дело, пущенное на самотек, может завершится непредсказуемо.

Диагностика

Для диагностики грыж применяют МРТ, если МРТ противопоказано, то проходим КТ.

Мочекаменная болезнь

По статистике камни в почках имеются у одного из десяти взрослых людей, примерно 5% взрослого населения сталкиваются с мочекаменной болезнью систематически. Чаще болеют мужчины чем женщины в соотношении примерно 2:1, наиболее вероятный возраст развития мочекаменной болезни 40-50 лет.

Причины

Две основные причины образования камней в почках — это нарушение обмена веществ, из-за которого меняется химический состав мочи, нарушение оттока мочи из-за местного воспаления, аномалий развития, сдавления мочевыводящих путей из вне. В результате чего происходит насыщение мочи камнеобразующими соединениями.

Симптомы

Ноющая боль в поясничной области на стороне поражения, периодические колющие боли в области пораженной почки, кровь в моче (часто в незначительном количестве), сложно определить «не вооружённым глазом» однако на простейшем анализе мочи, - вполне. Бывает и бессимптомное течение. Реже присоединяются признаки воспаления, повышение температуры, частые позывы к мочеиспусканию. Боль при мочекаменной болезни отдает в таз и промежность, реже в задний проход, не отдает в ноги.

Почему нельзя терпеть боль при мочекаменной болезни?

Вместо текста приведу рисунок, развития событий при закупорке мочевыводящих путей.

-9

Изображение 8.Стадии гидронефроза.

1. Нормальная почка.

2. Умеренное расширение полости почки, толщина ткани почки не изменена.

3. Значительное расширение полости почки, умеренно снижение толщины ткани почки.

4. Значительное расширение полости почки, истончение ткани почки. Такая почка не выполняет свои функции по фильтрации крови и выработке мочи. Даже после устранения препятствия оттоку мочи такая почка никогда не восстановится.

Пример из жизни

Недавно на КТ брюшной полости привезли девушку 74 года. Со слов родственников: На протяжении последних 8-12 месяцев болела спина, то есть она у нее и раньше болела, но в последнее время, как-то по-особенному, не как обычно. На вопрос почему не привезли на исследование раньше? Сказали, что думали спина болит, «от старости». На самом деле, камень закупорил мочеточник из-за чего одна почка не функционировала. В итоге на КТ наблюдаю картину, как на изображении 8 под цифрой 4. Из-за длительного нарушения оттока мочи ткань почки отмерла и перестала функционировать, в итоге меньше чем за год, из-за банального промедления, человек на склоне лет лишился одной здоровой почки.

Частые вопросы при обнаружении камней мочевыводящей системе

Выйдет ли камень сам? Камни диаметром мене 4 мм, считается, что выходят сами; 4-7 мм, по ситуации, скорее нет, чем да; более 8 мм, сам не выйдет, нужно принимать меры.

Рассосётся ли камень в почке сам или от медикаментозного лечения? Камни плотность 200-400 Единиц Хаунцфильда (HU – числовой показатель плотности камней, который определяют при помощи компьютерной томографии), рассасываются неплохо. Плотностью 400-600 HU, по-всякому бывает. Плотностью 600 HU и более скорее нет. Некоторые камни дробят ультразвуком, если размеры камня менее 2 см и плотностью ниже 1000 HU. Конкременты плотностью более 1000 HUультразвуком дробятся плохо.

Какие камни оперируют? Камень больших размеров (низкая вероятность самостоятельного отхождения камня) и высокой плотности (который не рассосётся под действием медикаментозного лечения), полная закупорка мочеточника, препятствующая оттоку мочи.

Если плотность камня низкая, а расположение камня не препятствует оттоку мочи, то лечат медикаментозно. Если камни в почках не большие и есть условия для их самостоятельного отхождения, также применяют лекарственные препараты (мочегонные и расслабляющие мускулатуру).

У меня случайно обнаружили камни в почках, как часто их нужно наблюдать? В идеале посоветоваться с урологом. Обычно при отсутствии симптомов, в качестве мониторинга достаточно проходить УЗИ раз в 6 месяцев. Если по УЗИ имеется отрицательная динамика или какие-то подозрения – КТ органов забрюшинного пространства и таза без контрастирования.

Диагностика

Для диагностики мочекаменной болезни метод выбора - компьютерная томография. Чуть хуже УЗИ и МРТ.

Профилактика

Исходя из концепции, что мочекаменная болезнь является результатом нарушение обмена веществ, нужно постараться его нормализовать. Самые общие рекомендации. Соблюдать питьевой режим 1,5-2 литра в сутки, ограничить потребление соли до 3 г в сутки, ограничить потребление белка до 0,8-1 г на кг массы тела в сутки. Вовремя диагностировать заболевания мочевыводящей системы, не допускать их перехода в хроническую форму.

Всем большое спасибо за внимание!

Мне интересно Ваше мнение! У кого остались вопросы, пожелания, может быть замечания, пишите их в комментариях, всем отвечу.

Если Вам необходима моя индивидуальная консультация, по Вашим КТ и МРТ исследованиям, мое описание КТ и МРТ исследований (второе мнение) Пишите!

Ватсап 8 927 946 46 01