Найти в Дзене
Пикабу

Рак, пожирающий тело

К сожалению, нередко здесь можно встретить посты, в которых пикабутяне делятся своим горем, связанным с утратой близкого человека, четверногого, погибшего от рака. Я в своей работе сталкиваюсь с ним ежедневно. Сегодня наблюдал как раз один такой, достаточно редкий случай, который хочу вам продемонстрировать. Вкратце, женщина 69-ти лет поступила в нашу клинику с желчной колики (холецистит). На операции был выявлен измененный желчный пузырь, не похожий на тот, который бывает при холецистите и представлял собой конгломерат деревянистой плотности. При ревизии брюшной полости было также выявлено утолщение сегмента восходящей ободочной кишки так же деревянистой плотности. К нам исследовании были доставлены два макропрепарата: желчный пузырь и отрезка подзвдошной и толстой кишки. При макроскопическом исследовании типичные структуры желчного пузыря не определялись, фрагменты были представлены волокнистой плотной тканью. В толстой кишке отмечался очаг утолщения стенки аналогичного вида с изъязв

К сожалению, нередко здесь можно встретить посты, в которых пикабутяне делятся своим горем, связанным с утратой близкого человека, четверногого, погибшего от рака. Я в своей работе сталкиваюсь с ним ежедневно. Сегодня наблюдал как раз один такой, достаточно редкий случай, который хочу вам продемонстрировать.

Вкратце, женщина 69-ти лет поступила в нашу клинику с желчной колики (холецистит). На операции был выявлен измененный желчный пузырь, не похожий на тот, который бывает при холецистите и представлял собой конгломерат деревянистой плотности. При ревизии брюшной полости было также выявлено утолщение сегмента восходящей ободочной кишки так же деревянистой плотности. К нам исследовании были доставлены два макропрепарата: желчный пузырь и отрезка подзвдошной и толстой кишки. При макроскопическом исследовании типичные структуры желчного пузыря не определялись, фрагменты были представлены волокнистой плотной тканью. В толстой кишке отмечался очаг утолщения стенки аналогичного вида с изъязвлением в его проекции слизистой оболочки.

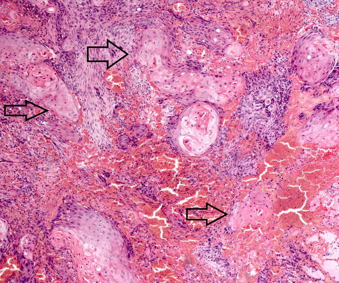
При микроскопическом исследовании тканей из желчного пузыря был выявлен диффузный рост диморфной опухоли, то есть опухоли, имеющей в своем составе структуры различных видов тканей:

Вот так эти очаги выглядят при специальной окраске на слизь:

.
.

Вот те же самые структур при более крупном увеличении (400):

-3

Так как данные клетки недалеко "ушли" в своей незрелости, то они несут некоторые признаки свои типичных представителей, в данном случае - формирование кератина, рогового слоя с образованием так называемых роговых ("раковых") жемчужин - характерный признак плоскоклеточного рака:

-4

Однако это не всё. На некоторых участках были выявлены так же опухолевые структуры, которые совсем не похожи на представленные выше:

-5

При ближайшем рассмотрении, подозрение в наличии еще и очага аденокарциномы подтвердилось:

-6

Вот так себя клетки этих структур проявили при специальной окраске на слизь:

-7

Таким образом, в желчном пузыре имеется очаг аденосквамозной карциномы (железисто-плоскоклеточного рака). Это редкое явление, так как в желчном пузыре и желчевыводящих путях эпителий - слизь-продуцирующий, а не покровный, который типичен для кожи, слизистых оболочек верхних дыхательных путей, то есть тканей, контактирующих непосредственно с внешней средой. Если исключить, что это не метастаз из другого очага, то здесь клетки, если можно так выразиться, с настолько сбитой программой, что они превратились в опухолевые не только своего типа (железистого), но и другого органа. Что еще интересно, в кишке обнаружился метастаз плоско-клеточного компонента, который так же крайне редко встречается в кишках.

Теперь вы знаете, как выглядит одно из многочисленных личин врага под названием злокачественное новообразование, в частности рак.

Если интересно, дайте знать, продолжу. Кое-какая фототека накоплена.

Пост автора 8404.

Больше комментариев на Пикабу.