Добавить в корзинуПозвонить
Найти в Дзене

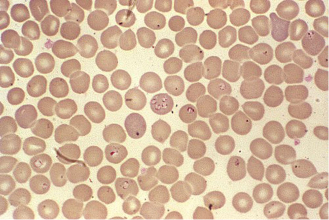
Болезни, переносимые клещами: Бабезиоз

Это паразитарное заболевание, т.е. вызывается простейшими – бабезиями. В основном страдают животные, однако с середины прошлого века бабезиоз стал выявляться и у людей, причем повсеместно, кроме регионов с экстремальным климатом. Несмотря на это, заболевание выявляется редко, возможно из-за того, что редко диагностируются. По данным литературы за все время наблюдений зафиксировано около ста случаев острого бабезиоза, исход большинства которых оказался летальным. Такая статистика определяется тем, что при нормальном иммунитете болезнь протекает бессимптомно с благоприятным прогнозом. Основной механизм передачи инфекции – трансмиссивный при укусах клещей. Особенность клиники заболевания в том, что бабезия является внутриклеточным паразитом и интенсивно размножается в эритроцитах, что приводит к массовой гибели красных кровяных телец с выбросом токсинов. Фактором риска развития заболевания является выраженное снижение иммунитета: лица старческого и пресенильного возраста, после объемных х

Это паразитарное заболевание, т.е. вызывается простейшими – бабезиями. В основном страдают животные, однако с середины прошлого века бабезиоз стал выявляться и у людей, причем повсеместно, кроме регионов с экстремальным климатом. Несмотря на это, заболевание выявляется редко, возможно из-за того, что редко диагностируются. По данным литературы за все время наблюдений зафиксировано около ста случаев острого бабезиоза, исход большинства которых оказался летальным. Такая статистика определяется тем, что при нормальном иммунитете болезнь протекает бессимптомно с благоприятным прогнозом.

Основной механизм передачи инфекции – трансмиссивный при укусах клещей. Особенность клиники заболевания в том, что бабезия является внутриклеточным паразитом и интенсивно размножается в эритроцитах, что приводит к массовой гибели красных кровяных телец с выбросом токсинов. Фактором риска развития заболевания является выраженное снижение иммунитета: лица старческого и пресенильного возраста, после объемных хирургических вмешательств или массивной кровопотери, ВИЧ-инфицированные, пациенты с удаленной селезенкой и т.д.

Бабезиоз проявляется неспецифическими признаками простудного заболевания. Однако, когда погибает треть эритроцитов, развиваются симптомы анемии и при ее прогрессировании грубые нарушения метаболизма, тканевой оксигенации, микроциркуляции, почечная недостаточность, гематурияи т.д. При прогрессирующей анемии в отсутствие этиотропного лечения больные погибают. Но как было уже сказано у людей с нормальным иммунитетом бабезиоз обычно протекает бессимптомно.

Из-за редкости заболевания с клиническими симптомами, диагностика сложна. Подозрение на инфекцию возникает при сочетании признаков простуды, анемии и иммунодефицитного состояния. Диагноз подтверждается при паразитологическом (микроскопическая визуализация бабезий в капле крови) исследовании крови.