Найти в Дзене
Химия легко и просто

Вреден ли фтор?

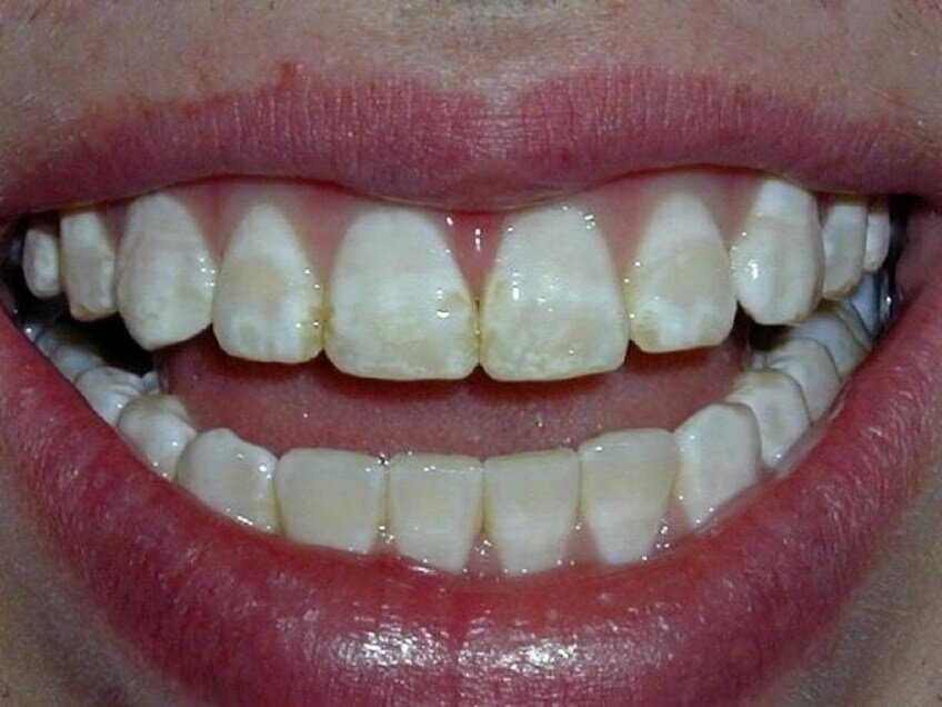
Газообразный фтор - газ, смертельный для человека. Влияние же фтора, существующего в виде фторидных анионов, на животный и растительный мир хорошо известно: в малых количествах он полезен, в больших вызывает серьёзные нарушения жизнедеятельности.. в организм человека и животных фторидные ионы попадают с питьевой водой. Если фторидных ионов в воде меньше 0,5 мг/л, то зубы, например, подвержены кариесу, а при содержании более 1,2 мг/л наблюдается уже болезнь зубов так называемый флюороз, и происходит нарушение в организме фосфорно-кальциевого обмена. Люди, проживающие в районах, где питьевая вода имеет естественное высокое содержание фтора, могут потреблять слишком много фтора, что вызывает заболевание, называемое флюороз. Фтор накапливается в зубах, в особенности в постоянных зубах. На поверхности зубной эмали появляются меловые белые пятна неправильной формы. Эти пятна становятся грязно-желтыми или коричневыми, придавая эмали крапчатый вид. В зубах могут появиться ямки. При повышенны
Флюорит
Флюорит

Газообразный фтор - газ, смертельный для человека. Влияние же фтора, существующего в виде фторидных анионов, на животный и растительный мир хорошо известно: в малых количествах он полезен, в больших вызывает серьёзные нарушения жизнедеятельности.. в организм человека и животных фторидные ионы попадают с питьевой водой. Если фторидных ионов в воде меньше 0,5 мг/л, то зубы, например, подвержены кариесу, а при содержании более 1,2 мг/л наблюдается уже болезнь зубов так называемый флюороз, и происходит нарушение в организме фосфорно-кальциевого обмена. Люди, проживающие в районах, где питьевая вода имеет естественное высокое содержание фтора, могут потреблять слишком много фтора, что вызывает заболевание, называемое флюороз. Фтор накапливается в зубах, в особенности в постоянных зубах. На поверхности зубной эмали появляются меловые белые пятна неправильной формы. Эти пятна становятся грязно-желтыми или коричневыми, придавая эмали крапчатый вид.

-2

В зубах могут появиться ямки. При повышенных дозах фтор нарушает работу иммунной системы и заставляет ее атаковать собственные ткани организма. При широком спектре хронических заболеваний избыток фтора вызывает аллергические реакции, включая дерматит, экзему и крапивницу. Фтор может усугубить течение заболевания почек, сахарного диабета и гипотиреоза. Применение зубной пасты со фтором никак не влияет на его концентрацию в организме, так как считается, что человек лишь чистит ею зубы, а не ест ее. Следовательно, такая паста обеспечивает лишь местный эффект - в ротовой полости.

Интересные факты про фтор

  1. Слово "фтор" с греческого переводится как "разрушающий".
  2. Фтор представляет собой двухатомный газ (формула F2) бледно-жёлтого цвета c резким запахом, напоминающим знакомый многим запах озона или хлора.
  3. Фтор - самый реакционноспособный из всех химических элементов.
  4. Анри Муассан был удостоен Нобелевской премии по химии 1906 года за выделение фтора в 1886 году. Однако когда Муассан докладывал Парижской академии наук о своем открытии, один глаз ученого был закрыт черной повязкой....
  5. Фтор имеет множество применений. Он содержится в виде фторида в зубной пасте и питьевой воде, в тефлоне (политетрафторэтилене), лекарственных препаратах и травителе плавиковой кислоте. Он используется в хладагентах (хлорфторуглеродах или ХФУ), топливах и для обогащения урана газом UF6.
  6. В атмосфере фтора вода горит бледно-фиолетовым пламенем с образованием фтороводорода и свободного кислорода.