Добавить в корзинуПозвонить
Найти в Дзене
RuNews24.ru

Российские ученые предложили лечить глиобластому во сне

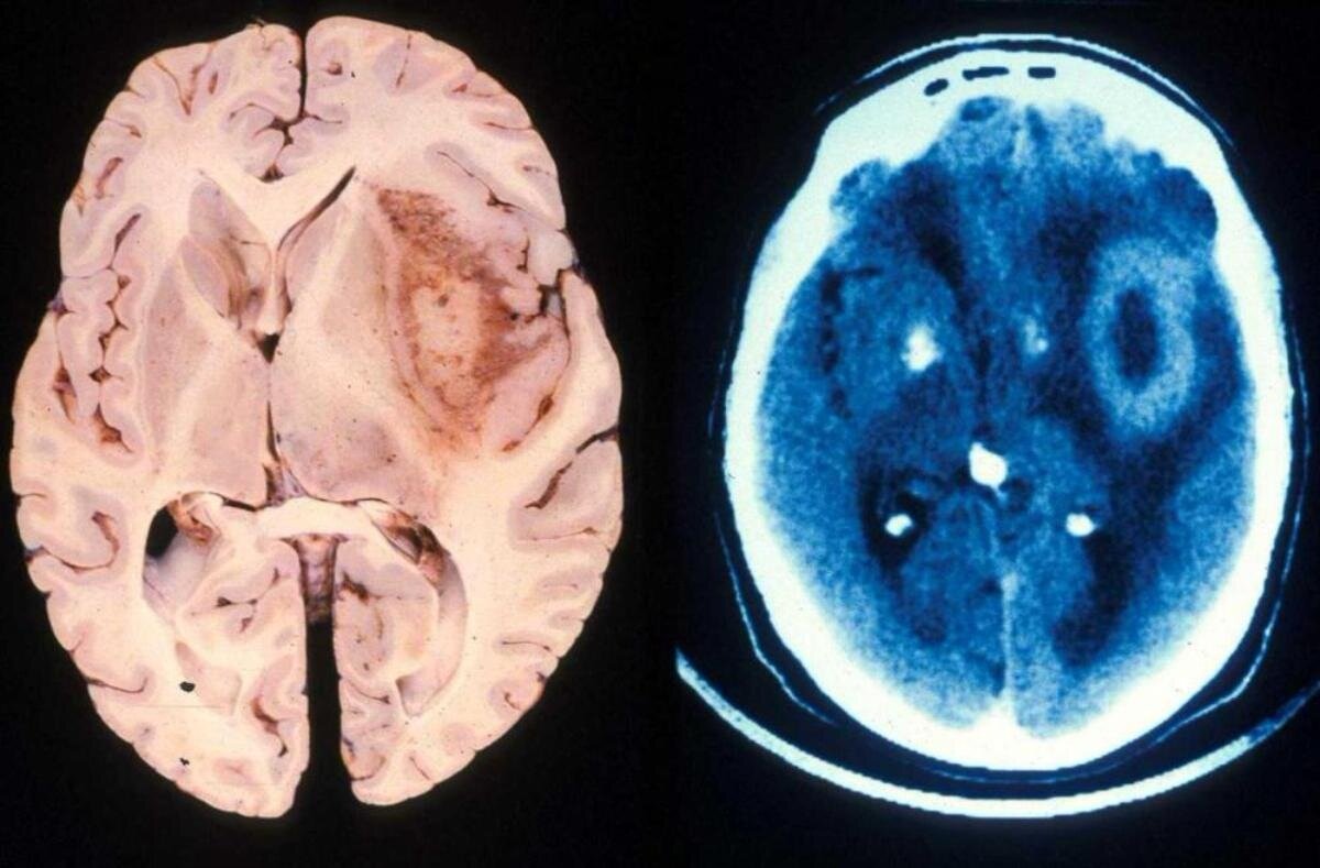
Лечение глиобластомы затрудняется тем, что гемато-энцефалический барьер, защищающий мозг от токсинов, не дает препарату попасть к раковым клеткам. Российские ученые выяснили, как можно обойти эту защитную функцию мозга. Глиобластома головного мозга считается одним из самых агрессивных видов рака. При этом лечение данного заболевания затрудняется тем, что гемато-энцефалический барьер не дает лекарственному препарату попасть к раковым клеткам, поскольку защищает мозг от токсинов. В частности, ГЭБ не пропускает 95% введенных лекарст, чтобы уберечь мозг. Однако саратовские ученые придумали, как обойти защитные функции мозга. Они предлагают проводить лечение пациента в тот момент, когда он спит. Способ заключается в применении лазеров в инфракрасном диапазоне. При таком методе «лимфа-пылесосы» мозга начинают выводить токсины и повышают иммунитет. В результате опухоль перестает расти. Процедуру проводят во время глубокого сна, когда пациент не видит снов. Как отметили в СГУ, такой метод – ин

Лечение глиобластомы затрудняется тем, что гемато-энцефалический барьер, защищающий мозг от токсинов, не дает препарату попасть к раковым клеткам. Российские ученые выяснили, как можно обойти эту защитную функцию мозга.

Глиобластома головного мозга считается одним из самых агрессивных видов рака. При этом лечение данного заболевания затрудняется тем, что гемато-энцефалический барьер не дает лекарственному препарату попасть к раковым клеткам, поскольку защищает мозг от токсинов.

В частности, ГЭБ не пропускает 95% введенных лекарст, чтобы уберечь мозг.

Однако саратовские ученые придумали, как обойти защитные функции мозга. Они предлагают проводить лечение пациента в тот момент, когда он спит.

Способ заключается в применении лазеров в инфракрасном диапазоне. При таком методе «лимфа-пылесосы» мозга начинают выводить токсины и повышают иммунитет. В результате опухоль перестает расти. Процедуру проводят во время глубокого сна, когда пациент не видит снов.

Как отметили в СГУ, такой метод – инновация в лечении глиобластомы и не применяется больше нигде. Более того, ученые уверены, что предложенный ими способ может быть использован при лечении болезни Альцгеймера.

Сейчас новая технология проходит лицензирование, а на 2025 год намечены клинические испытания открытия.

Ранее российские исследователи разработали инновационную технологию, способную изменить методику борьбы с глиобластомой, опасной формой рака головного мозга, а также придумали препарат для лечения болезни Миоша, при которой происходит атрофия мышц у людей старше 35 лет.

________________

Подпишитесь на наш канал, ставьте лайки и пишите свои комментарии, этим вы поможете донести важную информацию до большего количества людей.