Добавить в корзинуПозвонить
Найти в Дзене

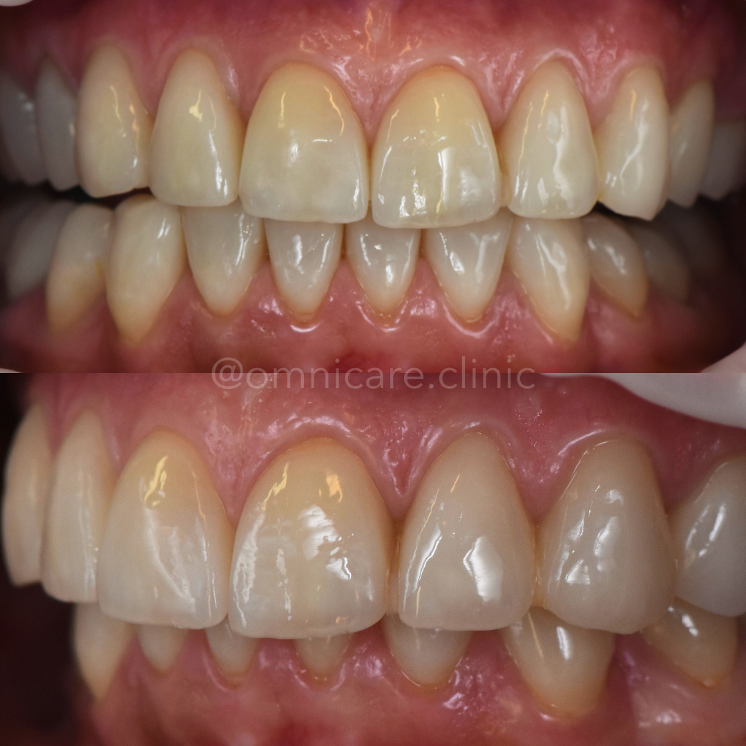
«Надоело постоянно обновлять пломбы!»

Героиня нашей истории решила воплотить мечту о красивой улыбке в реальность и обратилась к нам в клинику 😌 Женщина устала от постоянных обновлений пломб и перелечиваний, которые отнимали время и финансы, но не давали нужного эффекта: образовывались сколы, поверхность зубов не была гладкой. Также, не устраивала форма передних зубов.
На осмотре мы определили стертые режущие края, трещины, большие старые пломбы на зубах, которые потемнели и собирали налет.
Чем это опасно?
При определенных показаниях, пломбы помогают нам восстановить целостность зубов, но после их установки необходимо регулярное наблюдение. У композитных реставраций, которые установлены не по протоколу, с нарушениями, со временем ухудшается краевое прилегание, из-за чего часто есть риск возникновения скрытого кариеса. Как итог, приходится лечить каналы (либо перелечивать), возникают разрушения. Плюс ко всему, из-за шероховатой поверхности композита, на нем быстрее собирается налет, что вызывает воспаление десны и



Героиня нашей истории решила воплотить мечту о красивой улыбке в реальность и обратилась к нам в клинику 😌 Женщина устала от постоянных обновлений пломб и перелечиваний, которые отнимали время и финансы, но не давали нужного эффекта: образовывались сколы, поверхность зубов не была гладкой. Также, не устраивала форма передних зубов.

На осмотре мы определили стертые режущие края, трещины, большие старые пломбы на зубах, которые потемнели и собирали налет.

Чем это опасно?

При определенных показаниях, пломбы помогают нам восстановить целостность зубов, но после их установки необходимо регулярное наблюдение. У композитных реставраций, которые установлены не по протоколу, с нарушениями, со временем ухудшается краевое прилегание, из-за чего часто есть риск возникновения скрытого кариеса. Как итог, приходится лечить каналы (либо перелечивать), возникают разрушения. Плюс ко всему, из-за шероховатой поверхности композита, на нем быстрее собирается налет, что вызывает воспаление десны и сопуствующие проблемы (пародонтит, гингивит).

По какому пути мы пошли в данном случае?

Если объем пломбы более 50% объема поверхности зуба, правильнее провести восстановление целостности при помощи керамических конструкций, а не композитных. Мы предложили такой вариант пациентке, и он ее полностью устроил.

Поскольку жалоб и выявленных в ходе диагностики дисфункций ВНЧС не было, мы смогли сразу приступить к ортопедическому лечению.

Поскольку наша задача - создать не просто красивую, но и функциональную улыбку, мы подобрали длину и форму виниров, исключающую сколы и поломки. При помощи мок-апа (временных пластмассовых реставраций, изготовленных индивидуально для пациента перед лечением) оттестировали новые параметры и убедились в том, что получим ожидаемый эстетический и функциональный результат. Пациентка хотела максимально натуральную форму и цвет зубов, что мы и видим на фото.

Так, спустя месяц с начала лечения, женщина получила тот результат, который будет радовать ее всю жизнь! Мечты действительно сбываются 🙌

____

Омникер — это комплексные, стоматологические решения и длительный, эстетически безупречный результат в каждом клиническом случае.

Находимся по адресу:
Москва, Ул. Азовская 15 (м. Каховская)

Работаем:
пн-пт с 10:00 до 20:00,
сб.,вс. с 11:00 до 19:00

Подберем удобные дату и время визита
✅ +7 (495) 988-80-37
✅ WhatsApp, Telegram +7 (980)-141-03-33

____