Добавить в корзинуПозвонить
Найти в Дзене

Хирурги Онкоцентра №1 (ГКОБ №1) спасли пациента с плоскоклеточным раком слезного мешка

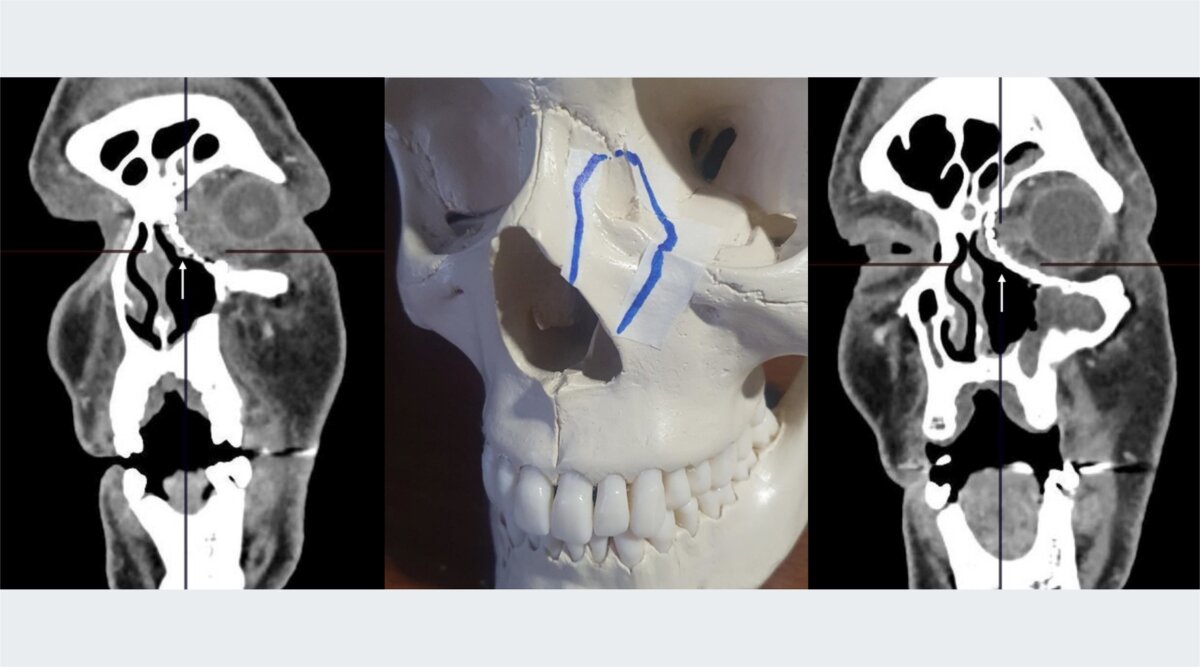
Команда ведущих медицинских экспертов из учреждений Департамента здравоохранения города Москвы на базе Онкоцентра №1 (ГКОБ № 1) оказали помощь пациенту с редчайшим видом злокачественного новообразования, полностью сохранив качество его жизни. В Городскую клиническую онкологическую больницу № 1 (Онкоцентр №1) поступил пациент 67 лет с установленным диагнозом – плоскоклеточный рак слезного мешка первой стадии. Опухоль распространилась на верхний слезный канал. Медицинский случай настолько редкий, что во всем мире подобных было не более 20. Заведующий отделением хирургии опухолей головы и шеи, д.м.н., врач-онколог, хирург Онкоцентра №1 ГКБ им. С.С. Юдина Сергей Кравцов рассказал о том, что перед мультидисциплинарной бригадой специалистов, состоящей из врачей-онкологов, офтальмологов и челюстно-лицевых хирургов стояла многосложная задача. Необходимо было радикально удалить опухоль, восстановить удаленные анатомические структуры мягких тканей лица и лицевого скелета и, при этом, обеспечить

Команда ведущих медицинских экспертов из учреждений Департамента здравоохранения города Москвы на базе Онкоцентра №1 (ГКОБ № 1) оказали помощь пациенту с редчайшим видом злокачественного новообразования, полностью сохранив качество его жизни.

Фото: Онкоцентр №1 ГКБ им. С.С. Юдина
Фото: Онкоцентр №1 ГКБ им. С.С. Юдина

В Городскую клиническую онкологическую больницу № 1 (Онкоцентр №1) поступил пациент 67 лет с установленным диагнозом – плоскоклеточный рак слезного мешка первой стадии. Опухоль распространилась на верхний слезный канал. Медицинский случай настолько редкий, что во всем мире подобных было не более 20.

Заведующий отделением хирургии опухолей головы и шеи, д.м.н., врач-онколог, хирург Онкоцентра №1 ГКБ им. С.С. Юдина Сергей Кравцов рассказал о том, что перед мультидисциплинарной бригадой специалистов, состоящей из врачей-онкологов, офтальмологов и челюстно-лицевых хирургов стояла многосложная задача. Необходимо было радикально удалить опухоль, восстановить удаленные анатомические структуры мягких тканей лица и лицевого скелета и, при этом, обеспечить физиологический отток слезы.

«Опухоль была удалена в блоке с кожей и мягкими тканями внутреннего угла век левого глаза, фрагментами носовой кости, внутренней стенки глазницы и передней стенки верхне-челюстной пазухи вместе со слезным мешком и слезным каналом. Целостность глазного яблока и глазодвигательного аппарата полностью сохранена. Покровные ткани лица восполнены кожно-апоневротическим лоскутом со лба», – рассказал Сергей Кравцов.

Для сохранения внешнего облика пациента и его бинокулярного зрения было выполнено восстановление опорных структур лицевого скелета (носовой кости, глазницы и верхнечелюстной пазухи) путем эндопротезирования титановой конструкцией. Пациент чувствует себя хорошо и доволен результатом операции, в том числе эстетическим.

«Для восстановления слезного протока применена специальная технология туннелирования структур при помощи проводника и тончайшей струны. Благодаря слаженной командной работе, пациенту удалось полностью сохранить качество жизни и избежать необходимости проведения лучевой терапии, которая могла увеличить риски потери зрения. В конечном итоге зрение пациента сохранено в полном объеме. В ближайшие 5 лет ему предстоит тщательное динамическое наблюдение у врача-онколога и офтальмолога», – пояснил заведующий поликлиникой офтальмологического центра ГКБ им. С.П. Боткина, к.м.н. Антон Андрейченко.

При этом эксперты отмечают, что своевременное обращение к специалисту и достоверная диагностика опухолевой патологии позволяют эффективно оказывать медицинскую помощь с перспективой на полное выздоровление.

Онкологичнеский центр №1 (Городская клиническая онкологическая больница № 1) – современное медицинское учреждение с онкологическим профилем в Москве. Профессиональный коллектив докторов с многолетним опытом оказывает весь спектр медицинских услуг по данному направлению, начиная от диагностики до сложнейших органосохранных и реконструктивных операций.