Добавить в корзинуПозвонить
Найти в Дзене

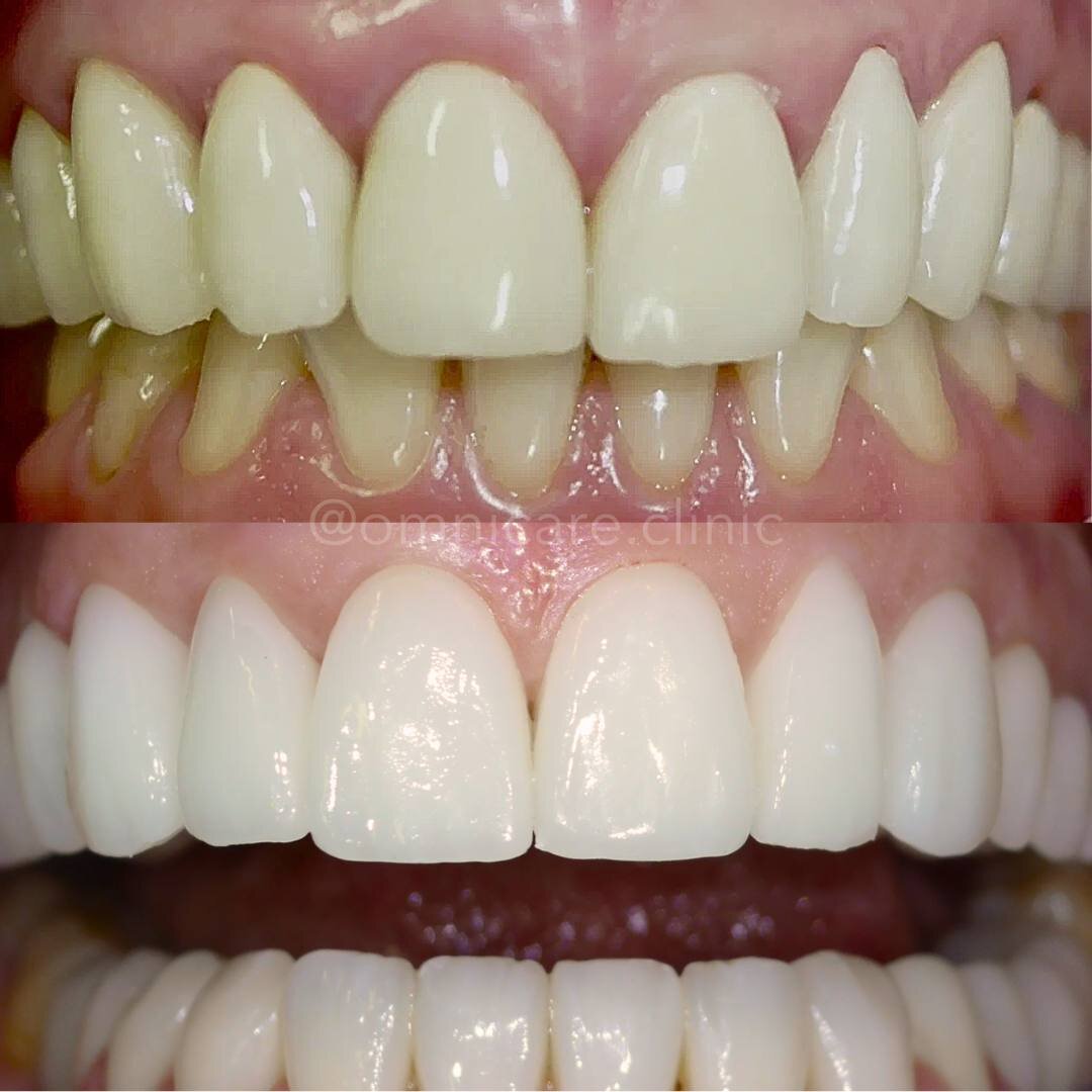
«Жалею, что не пришла к вам раньше!»

К нам обратилась очаровательная женщина с жалобой на дискомфорт, боль в десне и неприятный запах изо рта. Плюс ко всему, не устраивал цвет ранее установленных коронок.
Пациентка протезировалась в другой клинике несколько раз, и после очередного вмешательства десна в области коронок стала часто воспаляться (смотрите на фото). Поэтому, решила придти к нам.
Мы провели диагностику и убедились в том, что прилегание конструкций к твердым тканям опорных зубов в некоторых местах нарушены. Старые коронки были изготовлены неточно, что и стало причиной хронического воспаления десны и, как следствие, неприятного запаха.
Первоочередная задача для нас: снять воспалительный процесс и избавить женщину от неприятных ощущений. Понадобилось два сеанса пародонтологической терапии, которая включала в себя профессиональную гигиену полости рта, обработку десны.
После, мы приступили к ортопедическому лечению, длительностью 1,5 месяца. Изготовили новые коронки, которые анатомически идеально подходят н


К нам обратилась очаровательная женщина с жалобой на дискомфорт, боль в десне и неприятный запах изо рта. Плюс ко всему, не устраивал цвет ранее установленных коронок.

Пациентка протезировалась в другой клинике несколько раз, и после очередного вмешательства десна в области коронок стала часто воспаляться (смотрите на фото). Поэтому, решила придти к нам.

Мы провели диагностику и убедились в том, что прилегание конструкций к твердым тканям опорных зубов в некоторых местах нарушены. Старые коронки были изготовлены неточно, что и стало причиной хронического воспаления десны и, как следствие, неприятного запаха.

Первоочередная задача для нас: снять воспалительный процесс и избавить женщину от неприятных ощущений. Понадобилось два сеанса пародонтологической терапии, которая включала в себя профессиональную гигиену полости рта, обработку десны.

После, мы приступили к ортопедическому лечению, длительностью 1,5 месяца. Изготовили новые коронки, которые анатомически идеально подходят нашей пациентке, сделав более светлый оттенок для улучшения эстетики. Женщина абсолютно довольна результатом! Новый цвет коронок придал свежесть улыбке, а неприятные ощущения больше не вернутся 😌

____

Омникер — это комплексные, стоматологические решения и длительный, эстетически безупречный результат в каждом клиническом случае.

Находимся по адресу:
Москва, Ул. Азовская 15 (м. Каховская)

Работаем:
пн-пт с 10:00 до 20:00,
сб.,вс. с 11:00 до 19:00

Подберем удобные дату и время визита
✅ +7 (495) 988-80-37
✅ WhatsApp, Telegram +7 (980)-141-03-33