Найти в Дзене
Пикабу

Живая пиявка как инородное тело трахеи

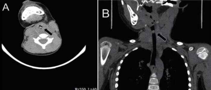
У ранее здоровой 4-летней девочки в течение 10 дней наблюдались хрипы, затрудненное дыхание и кровохарканье, а ранее 20 дней назад со слов мамы из полости носа выпала живая пиявка. При физикальном осмотре никаких отклонений отмечено не было. Компьютерная томография грудной клетки (КТ) показала наличие инородного тела на задней стенкой трахеи на уровне шестого и седьмого шейных позвонков.

Ей была проведена операция по удалению инородного тела из трахеи под общим наркозом с использованием эндоскопического оборудования. Инородное тело было обнаружено субглоттально на задней стенке трахеи, объект был идентифицирован как живая пиявка.

.
.

У пациентки был ничем не примечательный послеоперационный период и она была выписана домой на второй день после операции.

Хотя инородные тела в трахее часто встречаются у детей, живая пиявка была неожиданной находкой.

Авторы публикуют данную статью в связи с достаточной редкостью данного типа инородного тела.

В статье авторы были чрезмерно немногословны и не указали возможные пути попадания пиявки в верхние дыхательные пути.

Перевёл и опубликовал: Немедицина.

Пост автора Nortym.

Комментарии