Добавить в корзинуПозвонить
Найти в Дзене
Parodoctor

Виниры, повреждающие дёсны и пациентка Алина, готовая ради них всё терпеть. Лазерный кюретаж - что случилось через год?

Живой "талисман клиники" - думаете, что-то хорошее и позитивное? Не-а. Так величают пациентов, которые заполучили в стенах заведения неразрешимые проблемы и теперь обивают пороги. Хотят чего-то. Алина и виниры Вот и прекрасная особа, тщательно следящая за своей внешностью, блистающая белозубой улыбкой, чуть было не прикрепилась ко мне чемоданом без ручки. Нет-нет, виниры заполучила Алина где-то в другой стоматологии, ещё до открытия моей. Вместе с эстетичными, белыми керамическими накладками на зубы ей достались красные, отёчные дёсны дамы, страдающей запущенным гипертрофическим гингивитом. Этот случай описывала во второй половине вот этой статьи: Напомню - снимать эту красоту и всё переделывать как надо Алина категорически не желает. Посыпаю голову пеплом и признаюсь - год назад не смогла настоять на своём, я взяла пациентку на лечение с проблемами, которые симптоматически решить раз и навсегда не выйдет! Очень попросил нерукоплечий доктор, всё это соорудивший. — Спасити-помагити,
Оглавление

Живой "талисман клиники" - думаете, что-то хорошее и позитивное? Не-а. Так величают пациентов, которые заполучили в стенах заведения неразрешимые проблемы и теперь обивают пороги. Хотят чего-то.

Алина и виниры

Вот и прекрасная особа, тщательно следящая за своей внешностью, блистающая белозубой улыбкой, чуть было не прикрепилась ко мне чемоданом без ручки.

Нет-нет, виниры заполучила Алина где-то в другой стоматологии, ещё до открытия моей.

Вместе с эстетичными, белыми керамическими накладками на зубы ей достались красные, отёчные дёсны дамы, страдающей запущенным гипертрофическим гингивитом.

Гнойное отделяемое и виниры
Гнойное отделяемое и виниры

Этот случай описывала во второй половине вот этой статьи:

Напомню - снимать эту красоту и всё переделывать как надо Алина категорически не желает.

Посыпаю голову пеплом и признаюсь - год назад не смогла настоять на своём, я взяла пациентку на лечение с проблемами, которые симптоматически решить раз и навсегда не выйдет! Очень попросил нерукоплечий доктор, всё это соорудивший.

Спасити-помагити, - говорил, - ситуация патовая.

Знать бы тогда, что этих патовых будет литься на мою голову как из рога изобилия...

И взялась я за лазер. Алина исправно не падала духом, верила в успех. Я, нырнув впервые под десну и столкнувшись с огромным массивом неприкаянного "мяса", что-то как-то веру чуть подрастеряла.

Вот что получилось после первого приёма, на котором был задействован диодный лазер в хирургическом режиме:

Лазерный кюретаж
Лазерный кюретаж

Мне не очень понравилось. Крайне редко приходится прибегать к повторному применению лазера на участке, который недавно был им пройден.

А тут потребовалось три процедуры и лоскутная операция в области премоляров.

Вот с этим я Алину отпустила:

Виниры и лазерный кюретаж
Виниры и лазерный кюретаж

Посмотрите, как жутковато смотрится сбоку:

Лазерный кюретаж и виниры
Лазерный кюретаж и виниры

Мы с пациенткой были уверены, что теперь будем видеться не менее одного раза в три месяца.

Потом пришло озарение насчёт нерукоплечего , а Алина пропала. Периодически вспоминала о ней и думала, что мне сильно повезло - никакого "талисмана" не заработала, проблема отвалилась с ПРОБЛЕМИЩЕЙ.

Год после лазерного кюретажа

И тут вижу знакомое имя и фамилию в записи...

Ну ладно, посмотрим. Интересно.

Алина пришла счастливая за себя, но расстроенная из-за подруги. Оказалось, доктор не дай Бог, наш общий знакомый, испортил кость в области передних зубов её подруги крайне неудачной имплантацией.

Подруга, которой не повезло
Подруга, которой не повезло

Фото до финишных экзекуций - штопал, перештопал. Успеха не было. Ещё бы, где там костный объём? Десна переходит в губу совсем не там, где её полагается. Сравните с контуром вокруг здоровых участков.

Всё развалилось, получился массивный дефицит, который будут пытаться восстановить другие доктора. Но мы об этом ничего не узнаем. Пожелаем девушке удачи.

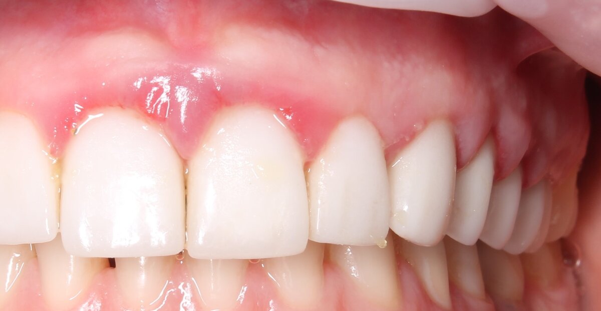
Вернёмся к Алине и её дёснам

Говорит, что не появлялась по той причине, что всё было отлично целый год! Ни крови, ни отёчности. Вся негативная симптоматика прошла и жизнь наладилась.

Но отметила - ухаживала за полостью рта с большой ответственностью, ни разу не пропустила сеанс домашней гигиены, ирригатор стал лучшим другом. Признаётся, что мне не изменяла и к другим стоматологам не ходила на гигиену.

Что видим в полости рта через год:

Не плохо. Да, есть гиперемия, имеется отёк. Но не сравнить с той ситуацией, что когда-то Алину ко мне привела.

Отправляю её к гигиенисту на профгигиену, через неделю встречаемся на повторном лазерном кюретаже. Вот сразу после процедуры:

Лазерный кюретаж
Лазерный кюретаж

Убавила яркость - не хочу пугать местного робота. Хотя ему по барабану, он и от меньшего падает в обморок))

Нормальные фото добавлю в свой тг канал Parodoctor!

В общем, надеюсь, что не увидимся с пациенткой на процедуре ещё целый год. Может, больше.

Могло бы что-то помочь Алине лучше, чем лазер? Да, замена конструкции на адекватную.

Но результат, полученный на лазере, её устраивает более чем. А, раз так, отпускаем человека с миром.

Стоимость процедуры со всеми расходными материалами: 1 сегмент челюсти = 10 000 рублей.

С уважением, Лежачёва Наталия Александровна, Пародент, СПб.