Добавить в корзинуПозвонить
Найти в Дзене
Вечера у доктора

Что скрывается за диагнозом ДЭП?

Это будет очень личная статья... Под хронической ишемией мозга в нашей стране практически всегда подразумевают диагноз ДЭП. Я не знаю с чего начать, с того ли, что этот диагноз меня удивляет своей лаконичностью и логичностью? Или же, что он пугает своей неоднозначностью. Говорят, что интеллектуальное не для большинства, может быть ДЭП - это и есть то самое интеллектуальное и оно не для меня? Но тогда почему его ставят всем подряд? Начну с того, что знакомство с ДЭПом началось у меня с Тюменской больницы, этот диагноз посетил пожилую женщину с постинсультными очагами в головном мозге. Тогда я восхищался сложностью, проработанностью и классификационными особенностями этого диагноза. - Глубоко! Даже степени есть! - говорил я. А у меня нет. Но со временем, став терапевтом, я понял, что этот диагноз - солянка, который ставится всем людям с головокружением, шаткостью при ходьбе, когнитивным снижением, скованностью и другими неспецифичными симптомами после 60 лет. И правда, ставить этот д

Это будет очень личная статья... Под хронической ишемией мозга в нашей стране практически всегда подразумевают диагноз ДЭП. Я не знаю с чего начать, с того ли, что этот диагноз меня удивляет своей лаконичностью и логичностью? Или же, что он пугает своей неоднозначностью.

Говорят, что интеллектуальное не для большинства, может быть ДЭП - это и есть то самое интеллектуальное и оно не для меня? Но тогда почему его ставят всем подряд?

Начну с того, что знакомство с ДЭПом началось у меня с Тюменской больницы, этот диагноз посетил пожилую женщину с постинсультными очагами в головном мозге. Тогда я восхищался сложностью, проработанностью и классификационными особенностями этого диагноза.

- Глубоко! Даже степени есть! - говорил я. А у меня нет.

Но со временем, став терапевтом, я понял, что этот диагноз - солянка, который ставится всем людям с головокружением, шаткостью при ходьбе, когнитивным снижением, скованностью и другими неспецифичными симптомами после 60 лет. И правда, ставить этот диагноз было невероятно просто. И да, моя рука поднималась!

Как много ингредиентов - атеросклероз, ммм, диабет, гипертония, амилоидоз, инсульт и многое другое...
Как много ингредиентов - атеросклероз, ммм, диабет, гипертония, амилоидоз, инсульт и многое другое...

Долгое время ДЭП был для меня солянкой, но сейчас, я вновь стал смотреть на него иначе. Теперь я понимаю, что у него есть субстрат и его надо искать.

Часть 1. Что такое ДЭП и почему его можно поставить почти всем?

Дисциркуляторная энцефалопатия... как же прекрасно звучит это сочетание - какое-то нарушение циркуляции, которое приводит к каким-то нарушениям функций мозга...

Возникает это состояние из-за того, что кровь длительное время поступает в мозг в меньшем количестве чем ему бы хотелось для своей жизнедеятельности. Как итог, мозг начинает медленно изменяться, становиться все менее функциональным, атрофируется белое вещество, расширяются желудочки мозга, одним словом - жуть.

Чаще всего, снижение циркуляции крови в головном мозге возникает из-за атеросклероза, гипертонии, сахарного диабета, вследствие перенесенного инсульта и многих других причин, но всегда есть дисциркуляция - хроническое снижение кровотока в мозге.

И все выглядит логично, но диагноз описывает проблему, но не причину ее появления.

И именно этот факт позволяет врачу ставить ДЭП пациенту с любыми проявлениями возрастных изменений головного мозга.

Что влияет на лечение, ведь лечить эту дисциркуляцию нечем (сосудистые препараты не в счет), а вот лечить и профилактировать причину можно и даже нужно!

Соответственно, в первую очередь, необходимо бороться с такими состояниями как гипертония, атеросклероз, диабет и.т.д.

О том как бороться с этими состояниями можете почитать в статье.

И если рассматривать ДЭП в этом ключе - искать причину и лечить её - то хорошо, но если диагноз превращается в отмашку, человеку не проводится УЗИ сосудов шеи, МРТ (в нужных случаях), контроль холестеринов крови, ЛПНП, ЛПВП, триглицеридов и.т.д., то это проблема.

Часть 2. Что может прятаться за ДЭПом?

Чаще всего заболевание с забугорным наименованием - small vessel disease или же болезнь малых сосудов. При ней поражаются самые мелкие сосуды мозга - капилляры, артериолы и.т.д., в итоге, в головном мозге происходят медленные изменения в белом веществе, так называемый лейкоареоз.

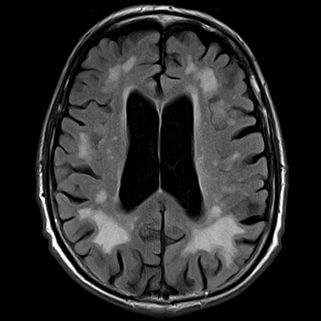
Выглядит это так.

Видите эти белые очаговые изменения вокруг черных желудочков? Это и есть лейкоареоз, но тут очень выраженный. Fazekas 3.
Видите эти белые очаговые изменения вокруг черных желудочков? Это и есть лейкоареоз, но тут очень выраженный. Fazekas 3.

Из-за разобщения связей мозга с мозжечком - возникает шаткость, головокружение. Из-за нарушения связей с зонами контроля движений - скованность, тремор, а если изменения касаются гиппокампа, то страдает память.

В большей мере именно болезнь малых сосудов и является пресловутым ДЭПОМ!

К сожалению, практически всегда это состояние необратимо...

Поэтому наша задача его профилактировать, борясь за свои сосуды против гипертонии, атеросклероза и всех других причин дисциркуляции!

Болезнь Альцгеймера.

В нашей стране эту болячку практически никогда не ставят. Но у нее есть свои особенности в сравнении с сосудистой деменцией к которой ведет болезнь малых сосудов. К сожалению, Альцгеймер развивается быстрее и может приводить к более тяжелой деменции.

Понять для человека и его семьи, что ему ожидать - достаточно важно, но, к сожалению, подтвердить Болезнь Альцгеймера не так уж и просто, даже в специализированных центрах, а лечить пока можно только симптоматически.

ДППГ

Доброкачественное пароксизмальное позиционное головокружение достаточно распространено. Если вдруг при движении головы, переворотах в постели - мир начинает кружиться, это не галлюцинация и не приход, а скорее всего отолиты вестибулярного аппарата переместились не туда куда нужно. Иногда под ДЭПом может оказаться это обратимое, и хорошо поддающееся лечению состояние. А людей пичкают бетагистином и сосудистыми препаратами. И нет, я ничего не имею против них, просто у ДППГ лечение довольно таки специфичное.

Мозжечковые атаксии

Тут вариантов много - инсульт в мозжечок, спиноцеребеллярные атаксии, болезни, сопровождающиеся атрофией мозжечка, вариантов много, но суть одна - страдает наш главный координационный орган. В большинстве случаев обнаружить это можно при неврологическом осмотре и последующем МРТ. Исключить это состояние тоже достаточно важно.

-3

Как итог, можно отметить, что за ДЭП скрывается множество болезней, о всех за один раз даже сказать сложно. Буду ли я ставить и дальше этот диагноз будучи неврологом? Да, но только в случае если подразумевается small vessel disease или же последствия инсульта. Другие болячки надо исключать.

А значит это лишь то, что надо обследоваться, обследоваться и еще раз обследоваться, а чтобы не допустить развитие этого загадочного диагноза - занимайтесь профилактикой.

О методах профилактики сосудистых заболеваний можете почитать в рубрике - голубые зоны и долголетие.