Найти в Дзене

Рентген-диагностика в стоматологии

В нашей клинике осуществляется качественная рентген-диагностика на современном оборудовании Planmeca Давайте разберем, какие снимки есть в нашем арсенале: ▫️Радиовизиография (прицельный снимок) - одна из простых методик, которая охватывает 1-3 рядом стоящих зуба и решает следующие задачи: - помогает поставить диагноз конкретного зуба - контролирует качество пломбирования каналов - показывает наличие кариозных полостей - показывает наличие зубодесневых карманов - диагностика травмы зуба ▫️ОПТГ (ортопантомограмма) - обзорный снимок обеих челюстей, показывающий общую картину состояния зубочелюстной системы. Врач может определить: - наличие кариозных полостей, в т.ч. скрытых - патологию пародонта - кистозные образования и скрытые воспалительные процессы - качество пломбирования каналов и состоятельность пломб - положение зубов относительно друг друга - расположение непрорезавшихся зубов мудрости и их стадию прорезывания - структуру тканей вокруг зуба ▫️КТ (компьютерная томография) - 3D с

В нашей клинике осуществляется качественная рентген-диагностика на современном оборудовании Planmeca

Давайте разберем, какие снимки есть в нашем арсенале:

▫️Радиовизиография (прицельный снимок) - одна из простых методик, которая охватывает 1-3 рядом стоящих зуба и решает следующие задачи:

Прицельный снимок
Прицельный снимок

- помогает поставить диагноз конкретного зуба

- контролирует качество пломбирования каналов

- показывает наличие кариозных полостей

- показывает наличие зубодесневых карманов

- диагностика травмы зуба

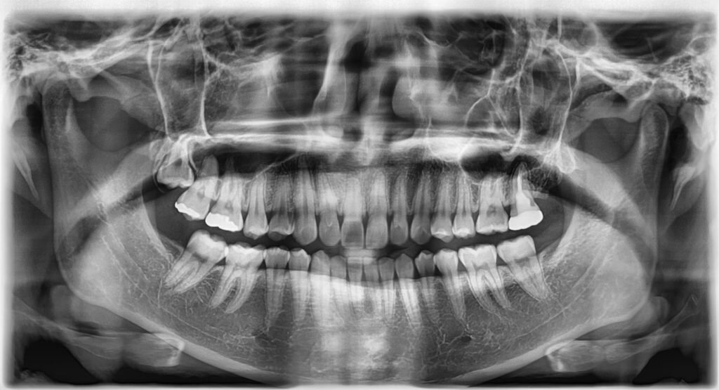
▫️ОПТГ (ортопантомограмма) - обзорный снимок обеих челюстей, показывающий общую картину состояния зубочелюстной системы. Врач может определить:

ОПТГ
ОПТГ

- наличие кариозных полостей, в т.ч. скрытых

- патологию пародонта

- кистозные образования и скрытые воспалительные процессы

- качество пломбирования каналов и состоятельность пломб

- положение зубов относительно друг друга

- расположение непрорезавшихся зубов мудрости и их стадию прорезывания

- структуру тканей вокруг зуба

▫️КТ (компьютерная томография) - 3D снимок челюстей, самый объективный метод диагностики в стоматологии, дает более детальное изображение

Компьютерная томография 2-х челюстей
Компьютерная томография 2-х челюстей

- показывает трещины и перелом зубов

- можно определить кисты, очаги воспаления

- помогает определить размеры костной ткани для планирования имплантации

- обнаружение дополнительных каналов

- планирование комплексных планов лечения

▫️ТРГ (телерентгенограмма) - снимок, который отображает структуру черепа и используется для диагностики аномалий зубочелюстной системы, чаще делается в боковой и прямой проекциях

ТРГ в боковой проекции
ТРГ в боковой проекции
ТРГ в прямой проекции
ТРГ в прямой проекции

- показывает размеры челюстей

- положение челюстей друг относительно друга и черепа

- местоположение зубов

- наличие и вид нарушения прикуса

📞Запись на консультацию

+7 (495) 324-84-50

https://newsmilestom.ru/