Добавить в корзинуПозвонить
Найти в Дзене
Зубной канал

Как не бросить все на полпути?

Когда лечение длительное, а результата надо подождать – мотивация постепенно падает. И тут есть очень простой метод: думайте о том, ради чего вы это делаете, представляйте себе как это будет. Визуализация – наше все! -:)
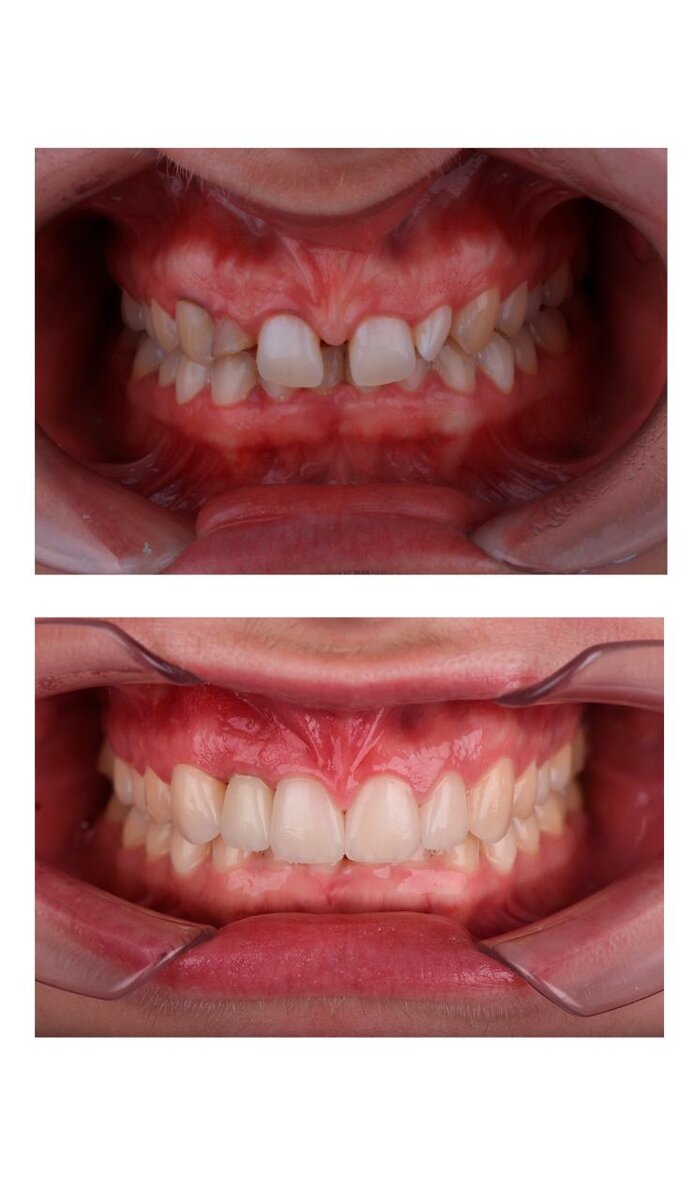
В этом очень помогает технология mock up. В переводе с английского мокап – это модель, макет, имитация. Собственно, в этом и есть вся суть метода: мы создаем прототип будущей улыбки, который можно примерить, оценить в зеркале и походить в нем какое-то время. Mock Up делается из композитного материала, его свойства позволяют передать точную форму, размер и даже цвет. А когда вы наглядно представляете, как оно в итоге будет, уровень мотивации повышается в разы. Вот тут можно почитать про личный опыт нашей пациентки Инны: у нее как раз было длительное лечение с удалениями, элайнерами, имплантацией, винирами. А морально все это время ее поддерживало именно то, что в самом начале она “прочувствовала” будущую улыбку с помощью мокап и уже хорошо знала, к чему стремится :
Фото автора
Фото автора

Когда лечение длительное, а результата надо подождать – мотивация постепенно падает. И тут есть очень простой метод: думайте о том, ради чего вы это делаете, представляйте себе как это будет. Визуализация – наше все! -:)

В этом очень помогает технология mock up. В переводе с английского мокап – это модель, макет, имитация. Собственно, в этом и есть вся суть метода: мы создаем прототип будущей улыбки, который можно примерить, оценить в зеркале и походить в нем какое-то время. Mock Up делается из композитного материала, его свойства позволяют передать точную форму, размер и даже цвет.

А когда вы наглядно представляете, как оно в итоге будет, уровень мотивации повышается в разы. Вот тут можно почитать про личный опыт нашей пациентки Инны: у нее как раз было длительное лечение с удалениями, элайнерами, имплантацией, винирами. А морально все это время ее поддерживало именно то, что в самом начале она “прочувствовала” будущую улыбку с помощью мокап и уже хорошо знала, к чему стремится :-)