Добавить в корзинуПозвонить
Найти в Дзене
SDS Clinic

Имлантация по методике"All-on-6".

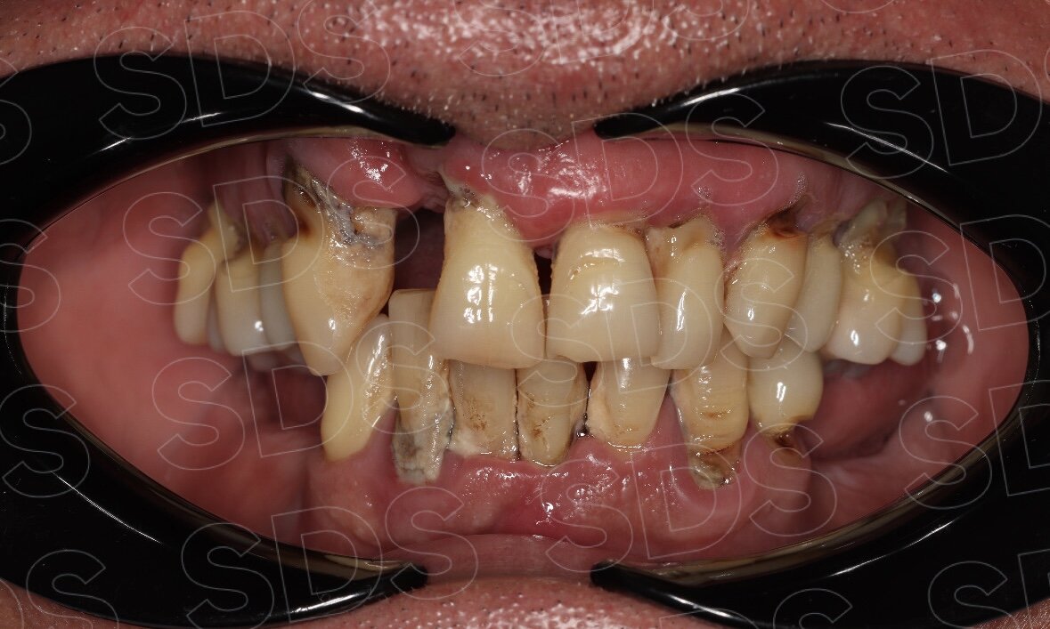
Пациент обратился в SDS Clinic с жалобами на отсутствие зубов и подвижность оставшихся, а так же на неприятный запах изо рта и наличие зубных отложений. В ходе диагностики было установлено, что все оставшиеся зубы имеют высокую степень подвижности (от 2 до 3 степени) и подлежат удалению. Пациент выразил желание восстановить эстетику и функциональность зубов в кратчайшие сроки. В связи с этим было принято решение об удалении несостоявшихся зубов на верхней и нижней челюсти и проведении имплантации по методике «All-on-6» на обе челюсти. Уже на следующий день после хирургического вмешательства пациенту были установлены временные несъемные протезы на верхнюю и нижнюю челюсть. В настоящее время пациент проходит период адаптации, по окончании которого будут установлены постоянные протезы Главным преимуществом проведенного лечения является восстановление как эстетических, так и функциональных характеристик зубов в течение всего двух дней. Пациент вновь обрел возможность полноценно пережевыват

Пациент обратился в SDS Clinic с жалобами на отсутствие зубов и подвижность оставшихся, а так же на неприятный запах изо рта и наличие зубных отложений. В ходе диагностики было установлено, что все оставшиеся зубы имеют высокую степень подвижности (от 2 до 3 степени) и подлежат удалению.

Пациент выразил желание восстановить эстетику и функциональность зубов в кратчайшие сроки. В связи с этим было принято решение об удалении несостоявшихся зубов на верхней и нижней челюсти и проведении имплантации по методике «All-on-6» на обе челюсти.

"До"
"До"

Уже на следующий день после хирургического вмешательства пациенту были установлены временные несъемные протезы на верхнюю и нижнюю челюсть. В настоящее время пациент проходит период адаптации, по окончании которого будут установлены постоянные протезы

-3

Главным преимуществом проведенного лечения является восстановление как эстетических, так и функциональных характеристик зубов в течение всего двух дней. Пациент вновь обрел возможность полноценно пережевывать пищу, что было невозможно до обращения в клинику.

-5

SDS Clinic отличается высоким профессионализмом специалистов и применением современных методик лечения. Благодаря комплексному подходу удалось добиться впечатляющих результатов, подарив пациенту не только красивую, но и функциональную улыбку.

-6

Мы будем держать вас в курсе дальнейших изменений и продемонстрируем окончательный результат преображения улыбки пациента после установки постоянных протезов. Следите за нашими новостями!