Найти в Дзене
Гармония Дент

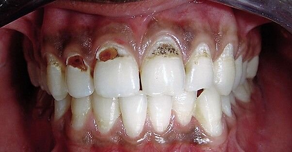
Кариес на передних зубах: причины появления и лечение.

Несмотря на то, что во время ежедневной чистки мы уделяем больше внимания передним зубам, даже качественный уход не защищает их от развития кариеса. Кариес на передних зубах портит улыбку и доставляет массу неудобств. Поэтому скорейшее устранение дефекта становится главным вопросом на повестке дня. Качественная терапевтическая стоматология в стоматологической клинике «Гармония Дент» поможет устранить подобного рода проблемы, а своевременное лечение быстро вернет возможность открыто улыбаться. Кариес – это процесс разрушения твердых тканей зуба под воздействием кислот, образующейся в результате метаболизма бактерий в полости рта. Основные причины кариеса: Кариес на передних зубах – это предупреждение, включает в себя регулярную гигиеническую заботу, ограничение потребления сахаров и углеводов, регулярные посещения стоматолога для профилактических осмотров и, в некоторых случаях, использование фторидных препаратов для укрепления эмали. Последствия и осложнения заболевания. Кариес на пер
Оглавление

Несмотря на то, что во время ежедневной чистки мы уделяем больше внимания передним зубам, даже качественный уход не защищает их от развития кариеса. Кариес на передних зубах портит улыбку и доставляет массу неудобств. Поэтому скорейшее устранение дефекта становится главным вопросом на повестке дня.

Качественная терапевтическая стоматология в стоматологической клинике «Гармония Дент» поможет устранить подобного рода проблемы, а своевременное лечение быстро вернет возможность открыто улыбаться.

-2

Кариес – это процесс разрушения твердых тканей зуба под воздействием кислот, образующейся в результате метаболизма бактерий в полости рта.

-3

Основные причины кариеса:

  • Бактерии, особенно Streptococcus mutans. Эти бактерии присутствуют в полости рта и образуют на поверхности зубов налет, который затем превращается в зубной налет и, наконец, в зубной камень. Бактерии метаболизируют сахара и другие углеводы, вырабатывая кислоты, которые атакуют эмаль и вызывают кариес.
  • Потребление частых и долгих приемов пищи, особенно богатой сахарами и углеводами.
  • Недостаточная или неэффективная гигиеническая забота, такая как неправильное чистка зубов, недостаточное использование зубной нити, нечастая смена зубных щеток.
  • Снижение pH в полости рта.
  • Генетические факторы. Наследственность также может играть роль в предрасположенности к кариесу.
  • Недостаток фтора. Фтор является важным элементом для укрепления эмали зубов.
-4

Кариес на передних зубах – это предупреждение, включает в себя регулярную гигиеническую заботу, ограничение потребления сахаров и углеводов, регулярные посещения стоматолога для профилактических осмотров и, в некоторых случаях, использование фторидных препаратов для укрепления эмали.

Последствия и осложнения заболевания.

Кариес на передних зубах опасно если нет соответствующие лечебные мероприятия и оно переходит с эмали на более глубокие ткани – дентин и сосудисто-нервный пучок.

Если не лечить, это приводит к:

  • острое воспаление нервно-сосудистой ткани (пульпит);
  • воспаление тканей между корнем зуба и костью (пародонтит).
-5

Без вмешательства стоматолога процесс заканчивается необратимым разрушением зуба, который трескается или скалывается под большой жевательной нагрузкой. Его потеря – вопрос времени.

Как лечить кариес на передних зубах?

Важно лечить кариес на передних зубов боковых участках как можно раньше, чтобы обойтись процедурами по восстановлению эмали, которые эффективны только на стадии пятна.

-6

Общие методы лечения:

  • Пломбирование (пломба). Если кариес на передних зубах обнаружен на ранней стадии, стоматолог может удалить пораженную ткань и заполнить зуб пломбой.
-7
  • Виниры и коронки. Если кариес повредил эмаль и зуб, возможно, потребуется применение виниров или коронок. Виниры - это тонкие оболочки из материала, похожего на эмаль, которые приклеиваются к передней поверхности зуба. Коронки - это каппа, которая покрывает весь зуб.
-8
  • Эндодонтическое лечение (корневое лечение). Если кариес проник в зубную пульпу (мягкую ткань внутри зуба, содержащую нервы, сосуды) и вызвал инфекцию, возможно, потребуется корневое лечение. В этом случае зуб очищается от пораженной ткани, а затем заполняется материалом для предотвращения дальнейшего распространения инфекции.
-9

Не забывайте, что регулярные посещения стоматолога для профилактических осмотров и чистки зубов являются важной частью поддержания здоровья зубов и предотвращения кариеса.