Добавить в корзинуПозвонить
Найти в Дзене

Рак печени. Факторы риска и симптомы.

Гепатоцеллюлярная карцинома (ГЦК) или рак печени — первичная опухоль печени, которая обычно развивается на фоне хронического заболевания печени, особенно у пациентов с циррозом печени, вызванным употреблением алкоголя, хроническими вирусными инфекциями гепатита В или С или стеатогепатитом, связанным с метаболической дисфункцией (сахарный диабет, ожирение, белковая недостаточность). Эпидемиология: Рак печени и внутрипеченочных желчных протоков является 6-ым наиболее часто диагностируемым злокачественным заболеванием в мире: в 2020 году было зарегистрировано около 900 000 новых случаев. ГЦК является 4-ой ведущей причиной смертности от рака в мире, и наиболее быстро растущей причиной смертности от рака в Соединенных Штатах. Факторы риска: ● Цирроз печени.  На основании исследований было подсчитано, что у 1/3 пациентов с циррозом печени в течение жизни разовьется ГЦК. ● Вирусный гепатит B и C ● Экологические токсины. (афлотоксины грибов, которые человек съел, винилхлорид) ● Алкоголь ● Кур

Гепатоцеллюлярная карцинома (ГЦК) или рак печени — первичная опухоль печени, которая обычно развивается на фоне хронического заболевания печени, особенно у пациентов с циррозом печени, вызванным употреблением алкоголя, хроническими вирусными инфекциями гепатита В или С или стеатогепатитом, связанным с метаболической дисфункцией (сахарный диабет, ожирение, белковая недостаточность).

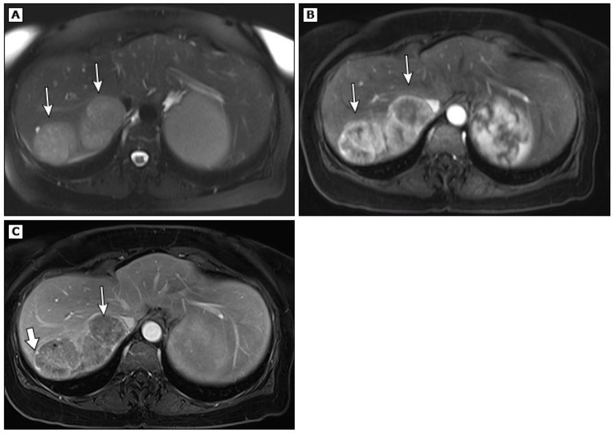
МРТ-снимки гепатоцеллюлярного рака
МРТ-снимки гепатоцеллюлярного рака

Эпидемиология:

Рак печени и внутрипеченочных желчных протоков является 6-ым наиболее часто диагностируемым злокачественным заболеванием в мире: в 2020 году было зарегистрировано около 900 000 новых случаев.

ГЦК является 4-ой ведущей причиной смертности от рака в мире, и наиболее быстро растущей причиной смертности от рака в Соединенных Штатах.

Факторы риска:

Цирроз печени.  На основании исследований было подсчитано, что у 1/3 пациентов с циррозом печени в течение жизни разовьется ГЦК.

Вирусный гепатит B и C

Экологические токсины. (афлотоксины грибов, которые человек съел, винилхлорид)

Алкоголь

● Курение

Подслащенные сахаром напитки

Сахарный диабет и ожирение

Генетическая предрасположенность (например, дефицит такого фермента как антитрипсин альфа-1)

Симптомы:

Рак печени обычно не вызывает никаких специфических симптомов. У некоторых пациентов может возникнуть вздутие или легкая боль в верхней части живота, чувство насыщения сразу после еды или потеря веса.

У других могут быть симптомы, вызванные заболеванием печени, которое у них было до того, как они заболели раком. Эти симптомы могут ухудшиться или вернуться из-за рака. К ним относятся:

● Отек живота или ног

● Кожа или белки глаз желтеют

Лечение:

● Хирургическое вмешательство. Иногда рак печени можно лечить хирургическим путем, удаляя части печени, пораженную раком

● Трансплантация печени

● Лучевая терапия

● Химиотерапия. Химиотерапия — это медицинский термин, обозначающий лечение с помощью лекарств, которые убивают раковые клетки или останавливают их рост.

Спасибо за прочтение! Не забывайте подписываться на канал, чтобы больше узнавать о своем здоровье, заболеваниях и о медицине в целом!)

Также у меня есть свой канал в телеграм, в котором можно найти еще больше полезной информации:

Медицинский дайджест