Добавить в корзинуПозвонить
Найти в Дзене

Всё на 6 имплантатах с индивидуальным навигационным хирургическим шаблоном.

Добрый день, друзья! Если Вам понравится этот пост поставьте лайк👍 и напишите своё мнение или вопрос в комментариях. Так я буду понимать, что информация полезная, интересная и актуальная. Это будет мотивировать меня описывать для Вас все нюансы и сложности, с которыми мы сталкиваемся в работе. Хочу поделиться с Вами клиническим случаем тотальной работой на имплантатах. Пациент обратился за решением ситуации на обеих челюстях, но начали мы с верхней. Оставшиеся зубы на верхней челюсти были приговорены ортопедом к удалению. В большинстве из них был кариес корня и инфекция на корнях с плохим прогнозом на перелечивание. Исходная ситуация: При планировании работы с ортопедом решили, что будем сохранять контур десны и обойдёмся без редукции, так как у пациента высокая десневая улыбка и хороший толстый биотип десны. К планированию я подключил и зубного техника, который нам смоделировал нашу хирургическую операцию по шаблонам в программе и изготовил их: Их было два. Один назубной: Другой

Добрый день, друзья!

Если Вам понравится этот пост поставьте лайк👍 и напишите своё мнение или вопрос в комментариях. Так я буду понимать, что информация полезная, интересная и актуальная. Это будет мотивировать меня описывать для Вас все нюансы и сложности, с которыми мы сталкиваемся в работе.

Хочу поделиться с Вами клиническим случаем тотальной работой на имплантатах.

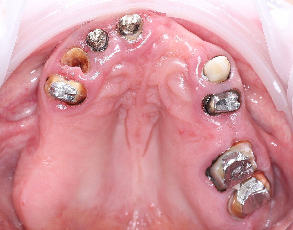
Пациент обратился за решением ситуации на обеих челюстях, но начали мы с верхней. Оставшиеся зубы на верхней челюсти были приговорены ортопедом к удалению. В большинстве из них был кариес корня и инфекция на корнях с плохим прогнозом на перелечивание.

Исходная ситуация:

-2

При планировании работы с ортопедом решили, что будем сохранять контур десны и обойдёмся без редукции, так как у пациента высокая десневая улыбка и хороший толстый биотип десны.

К планированию я подключил и зубного техника, который нам смоделировал нашу хирургическую операцию по шаблонам в программе и изготовил их:

-3

Их было два. Один назубной:

Назубной хирургический навигационный шаблон
Назубной хирургический навигационный шаблон

Другой накостный (когда зубов в полости рта уже не будет):

Накостный слева
Накостный слева

В полости рта перед операцией я примерил первый шаблон:

-6

Далее сделал анестезию и принялся за сверление под фиксирующие пины:

-7

Это делается для того, чтобы после удаления зубов можно было спозиционировать другой шаблон через эти отверстия.

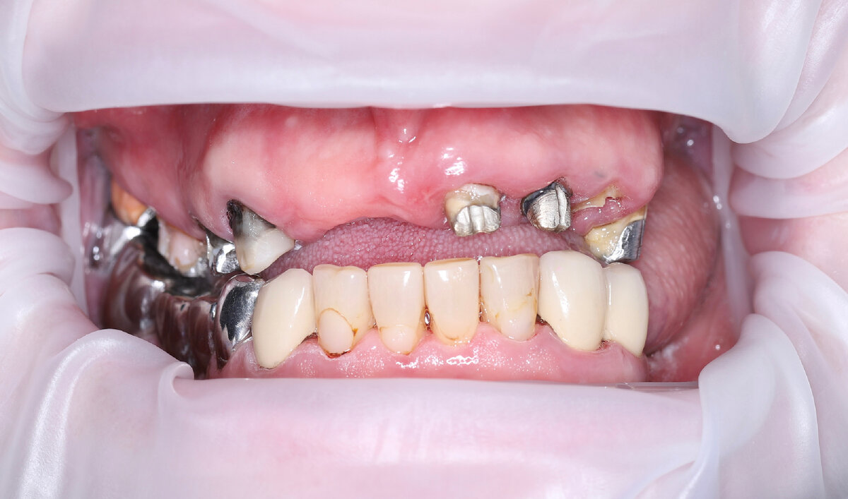
Далее я удалил все зубы кроме одного (он являлся дополнительной опорой при фиксации шаблона):

Временно оставшийся зуб
Временно оставшийся зуб

Сделал разрезы в нужных местах (где уже давно отсутствовали зубы), отслоил слизистую и установил другой шаблон, через который уже сверлил отверстия под имплантаты:

-9

Набор для реализации данного лечения был специальный навигационный, чтобы сверла точно входили по заданным втулкам и никуда не смещались:

-10

После завершения подготовки отверстии под имплантаты, я установил их. Произвёл профилирование костной ткани, чтобы мультиюниты безспрепятственно могли быть установлены в имплантаты и прикрутил «мульты» к внутренней части имплантатов. Сверху установил защитные колпачки и наложил направляющие швы:

Один имплантат не получил первичную стабилизацию, его мы ушили под десну. Он будет подключён к постоянной конструкции когда интегрируется.
Один имплантат не получил первичную стабилизацию, его мы ушили под десну. Он будет подключён к постоянной конструкции когда интегрируется.

После хирургической части, за дело принялся ортопед. Снял слепки и отправил в лабораторию. Техник смоделировал прототип конструкции:

-12

И после её изготовления зафиксировал в полости рта.

На контрольном осмотре через 2 недели мы пофотографировали временную конструкцию на имплантатах:

*Важно! данный временный протез необходим только на период интеграции имплантатов и далее будет заменен на эстетичную постоянную конструкцию.

-13

Вид сбоку:

-14

Через несколько недель будем продолжать заниматься реабилитацией на нижней челюсти. А после того, как все имплантаты будут установлены и интегрированы, на верхней челюсти будет установлена эстетичная и функциональная постоянная конструкция. Фото конечного результата будут добавлены в этот канал.

Спасибо, что проявили интерес к публикации!

________________________________________

Ставьте лайк👍.

Подписывайтесь на канал. ✅

Всем здоровья!

P.s. пишите свои мнения и вопросы в комментариях📝

С уважением, доктор Ижмукóв

Виталий Владимирович.

_________________________________________

Контактная информация:

+79370634232

dr.izhmukov@mail.ru