Добавить в корзинуПозвонить
Найти в Дзене
Новости МИРА

В мозгу американца нашли червей-паразитов после того, как он съел недожаренный бекон

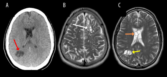
01.04.2024г. люди/ Доктора в США столкнулись с неприятным сюрпризом, когда обнаружили в мозге у мужчины, жаловавшегося на мигрени, червей-паразитов. Об этом гласит публикация в American Journal of Case Reports. Отмечается, что 52-летний мужчина заразился личинками ленточного червя Taenia Solium, который, как правило, инфицирует свиней. Специалисты подчеркивают, что этот паразит способен поражать людей, употребивших в пищу недожаренную свинину. Кроме того, заражение может произойти при контакте с частицами экскрементов, содержащих яйца червей. Попадание в организм личинок или яиц T.solium приводит к развитию недуга под название тениоз, при котором кисты личинок скапливаются во внутренностях человека. При этом у заразившегося личинками этого червя американца развился цистоцеркоз — версия инфекции, при которой кисты покрываются различными тканями. В частности, когда это происходит в нервной системе, недуг называется нейроцистоцеркоз. Это заболевание вызывает головные боли и судороги, кото

01.04.2024г. люди/

Доктора в США столкнулись с неприятным сюрпризом, когда обнаружили в мозге у мужчины, жаловавшегося на мигрени, червей-паразитов. Об этом гласит публикация в American Journal of Case Reports.

Отмечается, что 52-летний мужчина заразился личинками ленточного червя Taenia Solium, который, как правило, инфицирует свиней. Специалисты подчеркивают, что этот паразит способен поражать людей, употребивших в пищу недожаренную свинину. Кроме того, заражение может произойти при контакте с частицами экскрементов, содержащих яйца червей.

Попадание в организм личинок или яиц T.solium приводит к развитию недуга под название тениоз, при котором кисты личинок скапливаются во внутренностях человека. При этом у заразившегося личинками этого червя американца развился цистоцеркоз — версия инфекции, при которой кисты покрываются различными тканями. В частности, когда это происходит в нервной системе, недуг называется нейроцистоцеркоз.

Это заболевание вызывает головные боли и судороги, которые наблюдаются у 80 % пациентов. Инфицированный мужчина на протяжении некоторого времени страдал от мигреней, но пошел к доктору лишь после того, как они неожиданно стали сильными и не поддавались купированию. К тому же у него были сильные боли в задней части черепа.

КТ показала множественные кисты в белом веществе мозга, а проведенная уже в больнице МРТ выявила еще больше кист в твердой оболочке мозга, а также отек.

Мужчина признал, что любит есть недожаренный бекон, что, по мнению докторов, привело к тениозу, а плохое мытье рук, в свою очередь, спровоцировало нейроцистоцеркоз.