Найти в Дзене
Я - молодая

Чтобы десны оставались здоровыми

Десна – это соединительная, покрытая слизистой оболочкой, прикрепляющаяся к шейке зуба. Прежде чем прорезывающиеся зубы попадут в полость рта, образуются подушечки десен. Это небольшие возвышения вышележащей слизистой оболочки полости рта. Когда прорезывание зубов завершено, десна охватывает шейку каждого зуба. Здоровые десны - розовые, пунктирные, жесткие и имеют ограниченную чувствительность к боли, температуре и давлению. Оптимальное переваривание пищи и усвоение питательных веществ начинается с крепких десен, которые являются условием для здоровых зубов. Лучшие союзники наших десен Нездоровые дёсны часто бывают следствием дефицита витамина C. Первым признаком является покраснение мелких приподнятостей кожи между зубами. Это может свидетельствовать также о зарождении воспаления дёсен. Следующей ступенью развития болезни будет пародонтоз, когда разрушается весь держательный аппарат челюсти. Виновниками всего этого являются бактерии. 1. Витамин С Ваши дёсны кровоточат, когда вы откусы
Оглавление

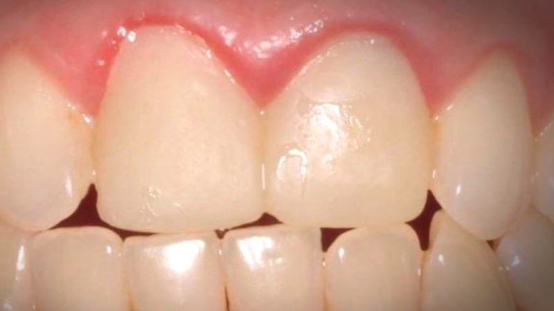
Десна – это соединительная, покрытая слизистой оболочкой, прикрепляющаяся к шейке зуба.

Прежде чем прорезывающиеся зубы попадут в полость рта, образуются подушечки десен. Это небольшие возвышения вышележащей слизистой оболочки полости рта. Когда прорезывание зубов завершено, десна охватывает шейку каждого зуба.

Здоровые десны - розовые, пунктирные, жесткие и имеют ограниченную чувствительность к боли, температуре и давлению.

Оптимальное переваривание пищи и усвоение питательных веществ начинается с крепких десен, которые являются условием для здоровых зубов.

Лучшие союзники наших десен

Нездоровые дёсны часто бывают следствием дефицита витамина C. Первым признаком является покраснение мелких приподнятостей кожи между зубами. Это может свидетельствовать также о зарождении воспаления дёсен.

Следующей ступенью развития болезни будет пародонтоз, когда разрушается весь держательный аппарат челюсти. Виновниками всего этого являются бактерии.

1. Витамин С

Ваши дёсны кровоточат, когда вы откусываете кусок яблока? Если да, то прежде всего доешьте яблоко до конца! Чем больше вы будете есть продуктов, богатых витамином C, тем быстрее ваши десны перестанут кровоточить.

Включите в свой рацион белокочанную капусту, сладкий перец, киви, смородину, клубнику, облепиху, шиповник, вишню, клюкву), цитрусовые, свежие помидоры, картофель (только запеченный в духовке).

-2

2. Витамин D

Без витамина D дёсны воспаляются, разбухают и начинают кровоточить.

Мельчайшие капиллярные сосуды в дёснах рвутся, и бактерии легко проникают в открывающиеся ткани и размножаются там до больших колоний. А свободные радикалы, в свою очередь, используют ситуацию для того, чтобы наброситься на клетки и разрушить их.

Десны сморщиваются, обнаженные зубы уродливо выступают наружу, сидят уже неплотно и, наконец, легко выпадают.

Чем тоньше кровеносные сосуды, тем более они уязвимы. Поскольку в дёснах содержится огромное количество сосудов, их следует непременно защищать.

Включите в свой рацион треску, лосось, сельдь, форель, сардины, печень, почки, молоко, яичный желток и зерновые продукты.

Бывайте на солнце как можно чаще.

3. Жевание

Сильные дёсны и зубы хотят показать, на что они способны. Поэтому чем твёрже и старее ваш хлеб, тем лучше!

Жевание не содержащей сахара жвачки также помогает укрепить дёсны.

Ставьте лайки, подписывайтесь на канал! Становитесь на 10 лет моложе с нами!

Единственная неживая ткань организма, которая выглядит также красиво, как если бы она была живой
Я - молодая1 апреля 2024
Избегаем кариеса: царство бактерий и причины их возникновения
Я - молодая3 апреля 2024