Добавить в корзинуПозвонить
Найти в Дзене

Доктор, представляете, откололся зуб: чем может быть опасен скол зуба?

Скол зуба — это частая проблема, которая не только сильно нарушает эстетику, но и вредит вашим зубам. На первый взгляд может показаться, что если он не доставляет ощутимого дискомфорта, то можно отложить его «ремонт» на какое-то время — это серьезная ошибка. Если скол произошел, то ситуацию нельзя игнорировать, а нужно действовать быстро и точно, чтобы спасти зуб. Ведь, если вовремя не принять необходимые меры, его придется удалить. В статье расскажем о том, что же делать, если вы заметили скол, а также о видах реставраций поврежденных зубов. Причины скола зуба От скола зуба сложно защититься, ведь самая частая его причина — это механическая травма. Она происходит непредсказуемо и не всегда зависит от нас. Но помимо нее есть и другие причины появления подобной патологии: Сколы зуба делятся на несколько групп: По объему: а) откололась часть зуба (стенка, бугор) б) полностью скол коронковой части По глубине: а) скол выше уровня десны б) скол ниже уровня десны По травматичности а) в преде
Оглавление

Скол зуба — это частая проблема, которая не только сильно нарушает эстетику, но и вредит вашим зубам. На первый взгляд может показаться, что если он не доставляет ощутимого дискомфорта, то можно отложить его «ремонт» на какое-то время — это серьезная ошибка. Если скол произошел, то ситуацию нельзя игнорировать, а нужно действовать быстро и точно, чтобы спасти зуб. Ведь, если вовремя не принять необходимые меры, его придется удалить. В статье расскажем о том, что же делать, если вы заметили скол, а также о видах реставраций поврежденных зубов.

Причины скола зуба

От скола зуба сложно защититься, ведь самая частая его причина — это механическая травма. Она происходит непредсказуемо и не всегда зависит от нас. Но помимо нее есть и другие причины появления подобной патологии:

  1. Травма зуба. Получить ее можно при ударе или падении, а также при употреблении слишком твердой пищи.
  2. Неправильный прикус. Который вызывает стираемость эмали, ослабевая ее. Из-за этого появляются сколы.
  3. Кариес. В случаях, когда он контактный и больших размеров — скалывается кусочек зуба.
  4. Незащищенный зуб. Если у вас есть эндодонтически пролеченные зубы с большой пломбой и не покрытые коронкой/вкладкой, то высока вероятность, что может произойти скол.

Сколы зуба делятся на несколько групп:

По объему:

а) откололась часть зуба (стенка, бугор)

б) полностью скол коронковой части

По глубине:

а) скол выше уровня десны

б) скол ниже уровня десны

По травматичности

а) в пределах эмали или дентина

б) скол который доходит до пульпы (нерва)

По локализации:

а) передняя группа зубов

б) жевательные зубы

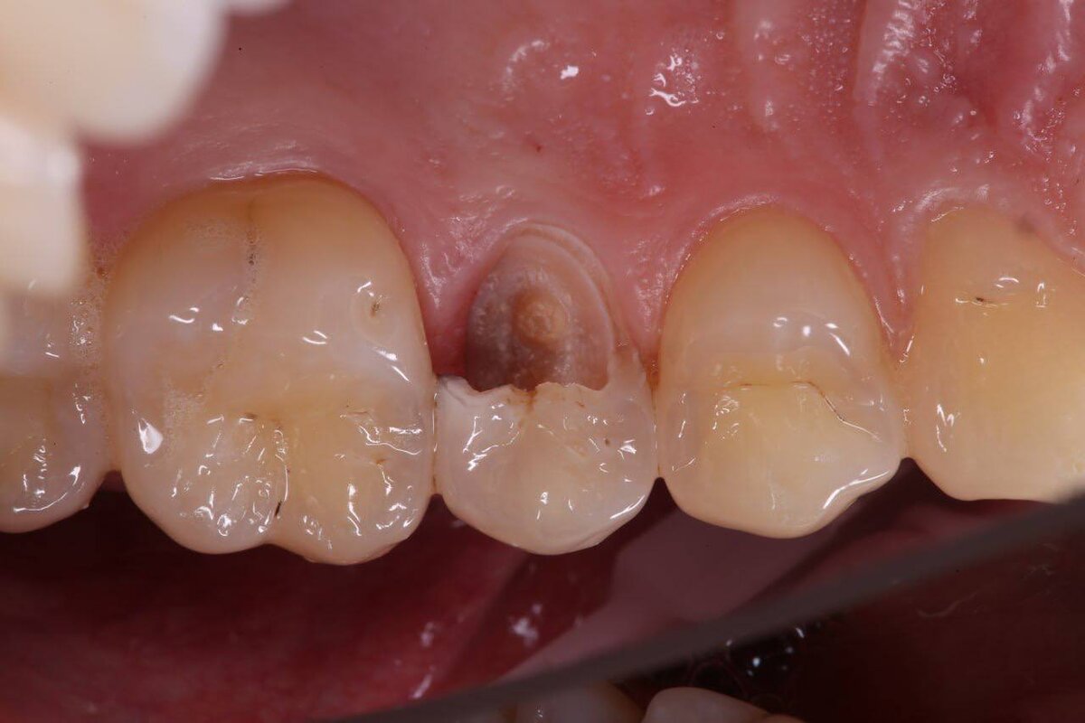
Во время осмотра пациента, был обнаружен скол на зубе 15. Врач-стоматолог принял решение спасать зуб и восстановить его с помощью установки коронки
Во время осмотра пациента, был обнаружен скол на зубе 15. Врач-стоматолог принял решение спасать зуб и восстановить его с помощью установки коронки

Что делать, если у вас откололся зуб

Если скол получен в результате травмы, то необходимо найти осколок зуба, положить его в молоко или физ.раствор. При возможности, врачи смогут его восстановить, поместив часть зуба на место. После необходимо сразу же отправляться к врачу. Лучше всего это сделать в течении 2 часов после получения травмы.

Если зуб скололся с частью пломбы или в результате кариеса, то вам требуется консультация врача-терапевта и диагностика (КТ). После этого принимается решение по поводу сохранения зуба. Бывают случаи, что внешне скол не сильный, но зуб ранее был пролечен эндодонтически. Тогда врачи убирают всю пломбу, потому что внутри может обнаружиться трещина, идущая в корневой канал. В такой ситуации требуется удаление зуба.

Как уже упоминали ранее, зуб может сколоться из-за проблем в прикусе.  Если такое случилось, то применяется другой подход, но он все равно определяется после диагностики и выбора тактики лечения. Поэтому, если у вас откололся зуб, направляйтесь к врачу как можно скорее!

Как восстанавливается зуб при сколе?

Лечение скола зависит от его локализации и глубины. Если есть возможность зуб сохранить, то врачи делают все возможное.  Например, если скол произошел ниже уровня десны, то подрезается десна и зуб восстанавливается пломбировочным материалом. Далее он обязательно покрывается коронкой.

Если скол ниже уровня десны, то решение проблемы будет сложнее. Десна подрезается и зуб либо восстанавливается, как на прошлом примере, либо выполняется экструзия зуба (он вытягивает из десны), что дает дополнительный объем тканей зуба для качественного восстановления. В конце также покрывается коронкой.

При минимальном сколе выполняется реставрация.

В ситуации, когда скол произошел из-за механической травмы и сам осколок удалось сохранить, если его возможно сопоставить с частью зуба, то его приклеивают к тканям. Тогда трещины и шва будет совершенно не видно.

В случае если нет возможности спасти зуб, то единственный вариант - это имплантация

Восстановление зуба 15 с помощью коронки. Работа стоматолога-ортопеда клиники «Белая радуга» — Никиты Никитина
Восстановление зуба 15 с помощью коронки. Работа стоматолога-ортопеда клиники «Белая радуга» — Никиты Никитина

В клинике «Белая радуга» проводят несколько видов реставраций:

  1. Реставрации терапевтическая — восстановление зуба пломбировочным материалом с подключением ортопеда (восстановление с помощью коронок/вкладок/виниров).
  2. Хирургическая реставрация — это имплантация в случаях, когда скол был глубоким и никакие методы по сохранению зуба не помогли.

Записаться на прием в стоматологию «Белая радуга» можно на сайте belayaraduga.ru, в приложении или по телефону +7 (499) 681-62-30