Добавить в корзинуПозвонить
Найти в Дзене
ВетСкорая24

Переломы у собак (2 часть)🦴

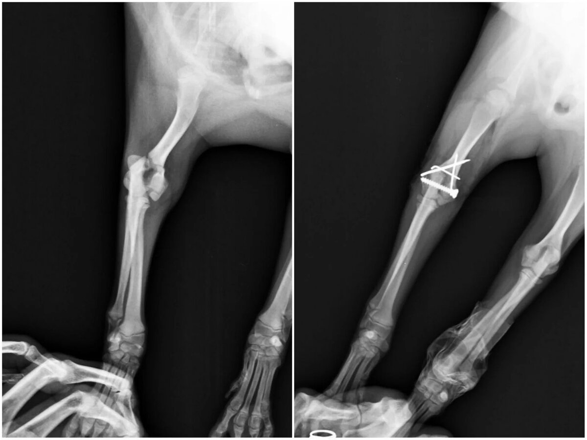
Восстановление и реабилитация: Правильное восстановление после переломов - ключ к сохранению функциональности и здоровья костей, а также к предотвращению развития долгосрочных осложнений, таких как деформация костей, ограничение подвижности в суставах и уменьшение мышечной массы. Чтобы обеспечить качественное заживление, необходимо учитывать ряд критически важных факторов: 1️⃣ Обеспечение адекватного кровоснабжения: Сохранение здорового кровотока к месту травмы способствует эффективному восстановлению. 2️⃣ Корректное восстановление положения кости: Важно вернуть кость к ее первоначальной анатомической структуре. 3️⃣ Надежная фиксация: Обеспечение стабильности кости критически важно для предотвращения ее смещения в процессе заживления. 4️⃣ Раннее начало реабилитационных упражнений: Восстановление двигательной активности способствует профилактике атрофии мышц и улучшению функции суставов. В послеоперационный период важно обеспечить условия для эффективного заживления кости, позволяя фикс

Восстановление и реабилитация:

Правильное восстановление после переломов - ключ к сохранению функциональности и здоровья костей, а также к предотвращению развития долгосрочных осложнений, таких как деформация костей, ограничение подвижности в суставах и уменьшение мышечной массы.

Чтобы обеспечить качественное заживление, необходимо учитывать ряд критически важных факторов:

1️⃣ Обеспечение адекватного кровоснабжения:

Сохранение здорового кровотока к месту травмы способствует эффективному восстановлению.

2️⃣ Корректное восстановление положения кости:

Важно вернуть кость к ее первоначальной анатомической структуре.

3️⃣ Надежная фиксация:

Обеспечение стабильности кости критически важно для предотвращения ее смещения в процессе заживления.

4️⃣ Раннее начало реабилитационных упражнений:

Восстановление двигательной активности способствует профилактике атрофии мышц и улучшению функции суставов.

В послеоперационный период важно обеспечить условия для эффективного заживления кости, позволяя фиксирующим конструкциям нести основную нагрузку. Оптимальное заживление, как правило, происходит в течение 6-8 недель, но это не исключает необходимости в ранней активации и поддержке функции поврежденной конечности. Ранняя опора на конечность важна для предотвращения атрофии мышц и способствует лучшему восстановлению. Также, реабилитация может включать посещение ветеринарного реабилитолога для оценки и коррекции функциональных ограничений, что помогает максимизировать восстановление подвижности и улучшить качество жизни животного после травмы.

Подводим итоги:

Причины переломов у собак могут быть разнообразны и включать в себя как внешние травмы, так и внутренние патологии.

Симптомы, сигнализирующие о переломах, включают хромоту, видимые деформации и повышенную болезненность, требующие незамедлительного обращения за ветеринарной помощью.