Добавить в корзинуПозвонить
Найти в Дзене

Восстановление ритма при фибрилляции предсердий

Фибрилляция предсердий (ФП) - аритмия, при которой происходит хаотичное сокращение разных участков предсердий. Важно помнить, что это одна из самых часто встречающихся аритмий у взрослых людей. Более подробно рассказывала о том, что происходит при фибрилляции предсердий, как ее выявить и чем она опасна в этой статье. Врачами часто принимается решение о том, чтобы перевести ритм фибрилляции предсердий обратно в синусовый. Для этого существует несколько способов, о которых сегодня я хочу Вам рассказать. 1. Электрическая кардиоверсия (удар дефибриллятором) Выполняется пациенту в условиях реанимации. Может быть плановой и экстренной. Если это плановая процедура, то проводится внутривенный наркоз, после наносится разряд. Через небольшое время пациент отходит от седации и возвращается на отделение. При неотложных ситуациях, когда данная аритмия угрожает жизни человека, данный способ восстановления ритма является приоритетным. Напомню, что из-за нарушения тока крови, при фибрилляции предсе
Оглавление

Фибрилляция предсердий (ФП) - аритмия, при которой происходит хаотичное сокращение разных участков предсердий. Важно помнить, что это одна из самых часто встречающихся аритмий у взрослых людей. Более подробно рассказывала о том, что происходит при фибрилляции предсердий, как ее выявить и чем она опасна в этой статье.

Врачами часто принимается решение о том, чтобы перевести ритм фибрилляции предсердий обратно в синусовый. Для этого существует несколько способов, о которых сегодня я хочу Вам рассказать.

1. Электрическая кардиоверсия (удар дефибриллятором)

Выполняется пациенту в условиях реанимации. Может быть плановой и экстренной.

Дефибриллятор
Дефибриллятор

Если это плановая процедура, то проводится внутривенный наркоз, после наносится разряд. Через небольшое время пациент отходит от седации и возвращается на отделение.

При неотложных ситуациях, когда данная аритмия угрожает жизни человека, данный способ восстановления ритма является приоритетным.

Напомню, что из-за нарушения тока крови, при фибрилляции предсердий образуются тромбы, особенно в ушке левого предсердия. Более подробно писала про это в предыдущей статье про ФП (тут ссылочка).

Представим ситуацию: В левом предсердии действительно успел сформироваться тромб. Из-за замедленного тока крови в этой камере сердца, пациенту повезло и тромб пока там "сидит". Мы наносим пациенту "разряд". Что может случиться с этим тромбом? Конечно же он может "улететь" в системный кровоток. Соответственно, чтобы "сделать разряд", мы должны убедиться в отсутствии тромба в левом предсердии.

Пример из прошлой статьи о ФП про то, как тромбы могут вызвать инсульт.
Источник: https://doctablet.com/
Пример из прошлой статьи о ФП про то, как тромбы могут вызвать инсульт. Источник: https://doctablet.com/

Как убедиться в отсутствии тромба?

А. Выполнить чреспищеводную эхокардиографию (ЧПЭхоКГ)
Левое предсердие располагается больше сзади сердца. Точно посмотреть его в помощью обычного ЭхоКГ (УЗИ сердца) мы не можем.

Обратите внимание, что пищевод располагается очень близко к задней части сердца.
Обратите внимание, что пищевод располагается очень близко к задней части сердца.

Суть метода в том, что датчик вводится в пищевод примерно также, как если бы мы делали ФГДС (фиброгастродуоденоскопию / гастроскопию). Отличие в том, что мы не доходим до желудка, а останавливаемся на уровне сердца и смотрим на него с помощью датчика, похожего по механизму работы на датчик при обычной ЭхоКГ (УЗИ сердца).

Схематичное изображение чреспищеводной эхокардиографии.
Схематичное изображение чреспищеводной эхокардиографии.

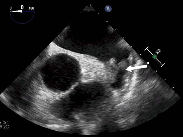
Если мы введем датчик и там действительно есть тромбы, то мы увидим примерно такую картину:

Тромбы в ушке левого предсердия. Стрелка указывает на тромбы.
Источник: https://edu.euat.ru/study/view?id=283
Тромбы в ушке левого предсердия. Стрелка указывает на тромбы. Источник: https://edu.euat.ru/study/view?id=283

Если тромбов мы не обнаружили, то можем спокойно выполнять дефибрилляцию. Но что же делать, если там есть тромб? Или если в стационаре Вашего города нет аппарата или специалиста для выполнения ЧПЭхоКГ? Тогда мы обращаемся к варианту Б.

Б. Адекватная антикоагулянтная (кроверазжижающая) терапия
Если у пациента известно точное начало пароксизма (приступа) фибрилляции предсердий и составляет <48 часов, то тромб образоваться не успеет. В этом случае мы можем выполнять дефибрилляцию без длительной антикоагулянтной терапии.

Другой вариант, если у пациента:
- длительность пароксизма больше 48 часов
или
- пароксизм неизвестной давности (если фибрилляция предсердий не дает симптомов)
или
- мы нашли тромб в левом предсердии
В этом случае мы должны
назначить антикоагулянтную (кроверазжижающую) терапию минимум на 3 недели!

Тромб в сосуде.
Тромб в сосуде.

Для этого мы можем назначить варфарин, но тогда пациент должен контролировать МНО (международное нормализованное отношение). Этот показатель стандартизирован, поэтому в какой бы лаборатории вы не сдали анализ, вы получите одинаковый результат. Он дает понять врачу степень свертывания крови в Вашем организме.

Другим вариантом являются прямые оральные антикоагулянты - ПОАК (апиксабан, ривароксабан, дабигатран). Особенность ПОАК в том, что им не требуется контроль МНО, не требуется индивидуальный подбор и постоянная коррекция дозировки (кроме некоторых случаев, когда мы даем меньшую дозировку), но при этом сами препараты стоят дороже.

Также все пациенты должны будут принимать антикоагулянты минимум 4 недели после любого типа кардиоверсии. Это необходимо для того, чтобы тромб не образовался вновь. После истечения этого времени необходимо вновь посетить кардиолога, чтобы он посчитал Ваши риски и оценил, нужно ли Вам продолжать антикоагулянтную терапию или нет.

2. Медикаментозное купирование

А. "Таблетка в кармане"
Если у пациента редкие приступы фибрилляции предсердий и у него нет органических заболеваний сердца (сюда относятся ишемическая болезнь сердца, перенесенные инфаркты, заболевания миокарда и перикарда, проблемы с клапанами и т.д.), то мы можем рекомендовать ему метод "таблетка в кармане".

-7

Когда у пациента появляется приступ фибрилляции предсердий, то он может принять пропафенон или флекаинид (нет в РФ) в определенной дозе, чтобы купировать приступ. Логично, что если у человека данная аритмия протекает без каких-то симптомов, то такой метод мы рекомендовать не будем, так как человек не будет знать времени начала приступа.
Важно: Первый раз такой способ купирования ФП должен быть проведен в стационаре!
Категорически запрещено использовать данный способ купирования пароксизма фибрилляции предсердий без рекомендации врача, так как некоторым пациентам он категорически противопоказан!

Б. Антиаритмические препараты
В стационаре могут использоваться несколько препаратов для купирования приступов фибрилляции предсердий. Чаще всего из них применяется амиодарон.
Еще есть очень интересный препарат - рефралон. Интересен он, во-первых, тем, что его эффективность по последним исследованиям близка к электрической кардиоверсии. А во-вторых, его изобрели именно в нашей стране не так давно ученые из НМИЦ Кардиологии им. ак. Е.И. Чазова в Москве!

Рефралон. Обратите внимание на место производства: этот препарат не только создан в НМИЦК им. ак. Е.И. Чазова в Москве, но и производится там же
Рефралон. Обратите внимание на место производства: этот препарат не только создан в НМИЦК им. ак. Е.И. Чазова в Москве, но и производится там же

Категорически запрещено САМОСТОЯТЕЛЬНО назначать себе антиаритмическую терапию! Это может привести к ЛЕТАЛЬНОМУ ИСХОДУ! Любые препараты могут быть назначены ТОЛЬКО ВРАЧОМ (человеком, у которого есть ДИПЛОМ ВРАЧА хотя бы, а не только курсы, например, по биохакингу, гомеопатии или нутрициологии)!

3. Приступ фибрилляции предсердий купируется самостоятельно

Да, такое тоже часто бывает. При этом длительность пароксизма может быть абсолютно разная. Если пациент не ощущает симптомов данной аритмии, то он может и не знать, когда у него начался приступ фибрилляции предсердий, а когда он закончился.

Спасибо за внимание! Надеюсь, что информация была для Вас полезной!

Если Вам понравилось, то поддержите статью лайком и расскажите друзьям. Если у Вас есть какие-то вопросы или вы хотите, чтобы я написала статью на какую-то тему, то обязательно пишите в комментариях!