Добавить в корзинуПозвонить
Найти в Дзене

Какой специалист поможет вам сохранить здоровье зубов и десен?

Думаете, что проблемы с зубами и деснами это ваше вечное проклятие? Мой ответ – не думаю! С 2001 года в России существует такая специальность, как гигиенист – стоматологический. Это отдельное подразделение в Стоматологии, специалисты которого занимаются профилактикой заболеваний в полости рта. Специалисты в области стоматологической профилактики занимаются: 1. Диагностикой заболеваний в полости рта. Своевременная диагностика заболеваний зубов и десен позволяет выявить проблемы на ранней стадии развития. Так же частые визиты, а это минимум 2 раза в год, позволят существенно сэкономить на лечении, так как заболевания в начале развития лечится проще и дешевле; 2. Проведением профессиональных мероприятий по удалению микробной биопленки (зубного налета) применяя современные протоколы. Как бы мы идеально ни чистили зубы всем, чем было рекомендовано стоматологом, гигиенистом, всё равно остаются участки, куда невозможно добраться в домашних условиях и там может появиться кариес или воспалится

Думаете, что проблемы с зубами и деснами это ваше вечное проклятие? Мой ответ – не думаю!

С 2001 года в России существует такая специальность, как гигиенист – стоматологический. Это отдельное подразделение в Стоматологии, специалисты которого занимаются профилактикой заболеваний в полости рта.

"Работа кипит"
"Работа кипит"

Специалисты в области стоматологической профилактики занимаются:

1. Диагностикой заболеваний в полости рта.

Своевременная диагностика заболеваний зубов и десен позволяет выявить проблемы на ранней стадии развития. Так же частые визиты, а это минимум 2 раза в год, позволят существенно сэкономить на лечении, так как заболевания в начале развития лечится проще и дешевле;

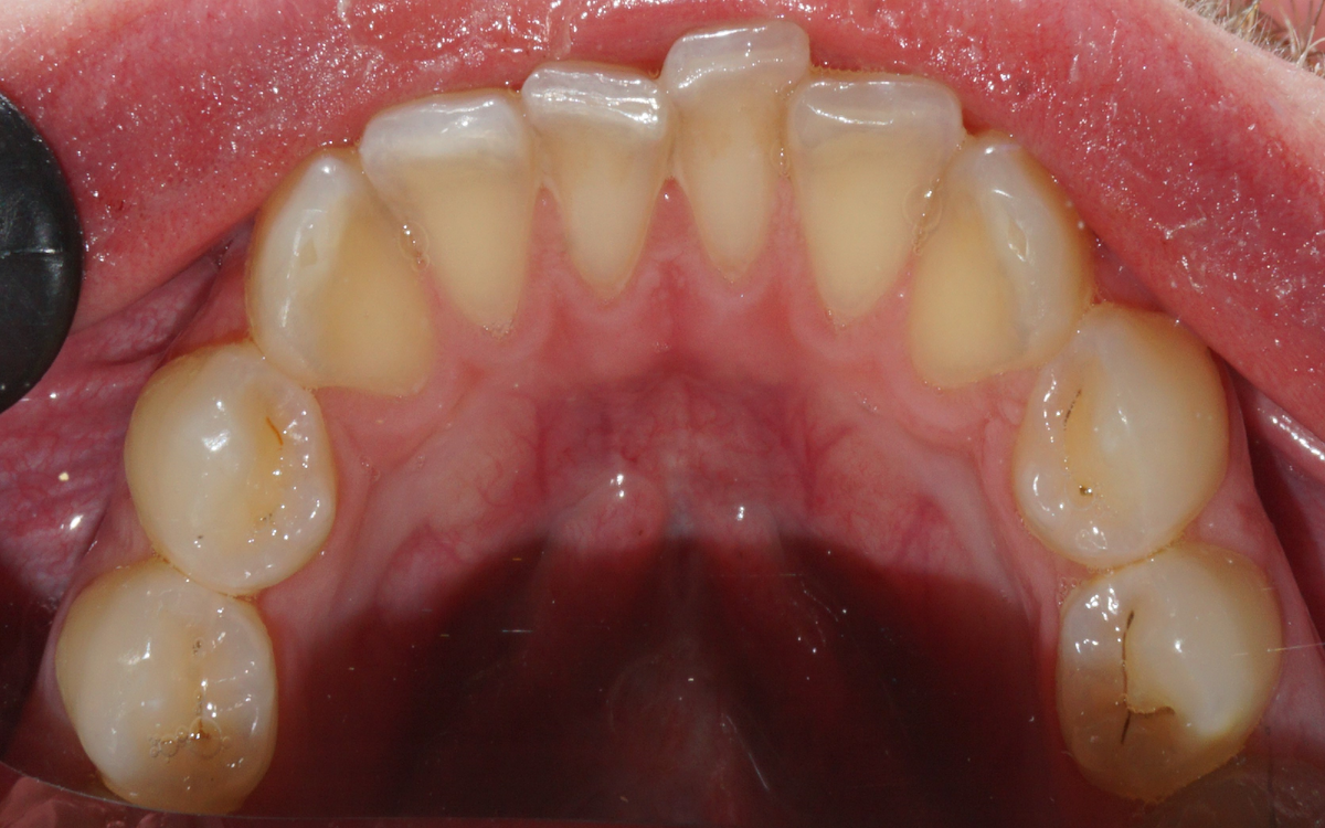
"Фотография внутриротовая нижних зубов"
"Фотография внутриротовая нижних зубов"

2. Проведением профессиональных мероприятий по удалению микробной биопленки (зубного налета) применяя современные протоколы.

Как бы мы идеально ни чистили зубы всем, чем было рекомендовано стоматологом, гигиенистом, всё равно остаются участки, куда невозможно добраться в домашних условиях и там может появиться кариес или воспалится десна. Поэтому есть общая рекомендация по посещению профилактических мероприятий – 2 раза в год;

"Окрашенная индикатором микробная биопленка"
"Окрашенная индикатором микробная биопленка"

3. Обучением пациентов правильному уходу за зубами. Корректировкой навыков домашнего ухода за зубами и деснами.

Во время приема гигиенист сможет подобрать тот арсенал предметов и средств гигиены полости рта, который будет максимально эффективный в уходе за зубами и деснами. На рынке существует масса паст и щеток и обычным людям не всегда понятно, что выбрать, и что будет лучшим решением;

"Процесс обучения гигиене"
"Процесс обучения гигиене"

4. Составление индивидуальных программ профилактики.

Гигиенист, когда увидел пациента в первый раз может составить индивидуальный план посещений исходя из ситуации «здесь и сейчас». Если говорить про профилактику, то что бы она работала, нужно и увеличить частоту посещений, улучшать домашний уход, подключать дополнительные предметы и средств для ухода за зубами и деснами;

"Программа DIANA. Лучший помощник в индивидуальном подходе"
"Программа DIANA. Лучший помощник в индивидуальном подходе"

5. Санитарно – просветительской деятельностью населения.

Для того, чтобы риски появления проблем с зубами и деснами были низкие, нужно не только идеально чистить зубы. Здоровый образ жизни, отказ от вредных привычек и рациональное питание способны существенно повлиять на ситуацию во рту в лучшую сторону. Да и в целом качество жизни будет выше.

-6

В следующих статьях, постах буду освещать:

1. Какими предметами гигиены нужно ухаживать за зубами и почему?

2. Фториды. Почему именно они эффективны в профилактики кариеса.

3. Современный протокол борьбы с микробной биопленкой.

4. Почему появляется кариес и как не допустить его возникновение.

Тем достаточно. Подписывайтесь.