Найти в Дзене

Ученые доказали: чтобы жить на полную катушку достаточно спать 6,5 часов

Вы слишком много спите. Так показали последние исследования ученых. Ведь как мы привыкли считать - нормально, когда продолжительность сна не менее 8 часов в сутки. Из каждого утюга привыкли слышать: за это время весь организм успевает и отдохнуть, и восстановиться. Однако недавно в научном журнале Nature опубликовали результаты исследования, которые “пошатнули” принятые стандарты. Оказалось - длительный сон влияет на наш мозг совсем не так, как вы привыкли думать. Много физиологических исследований подтверждают - недосып влияет на человека очень плохо. ➤ Во-первых, замедляет работу когнитивных функций мозга.
Проще говоря, не выспавшись вы “туго соображаете”. Сложно включиться в работу.
Вы безуспешно пытаетесь “втянуться” в свои профессиональные задачи, а сами только и мечтаете о любимом диванчике и подушке. ➤ Во-вторых, периодический недосып снижает физические возможности организма. Вы становитесь “вялым” из-за снижения выработки гормона соматостатина. Он, кстати, отвечает за актив
Оглавление

Вы слишком много спите. Так показали последние исследования ученых.

Ведь как мы привыкли считать - нормально, когда продолжительность сна не менее 8 часов в сутки. Из каждого утюга привыкли слышать: за это время весь организм успевает и отдохнуть, и восстановиться.

Однако недавно в научном журнале Nature опубликовали результаты исследования, которые “пошатнули” принятые стандарты.

Оказалось - длительный сон влияет на наш мозг совсем не так, как вы привыкли думать.

На кошек не влияет - они спят по 18 часов в сутки. А вот вам так же - противопоказано
На кошек не влияет - они спят по 18 часов в сутки. А вот вам так же - противопоказано

Что происходит, когда не высыпаешься

Много физиологических исследований подтверждают - недосып влияет на человека очень плохо.

➤ Во-первых, замедляет работу когнитивных функций мозга.
Проще говоря, не выспавшись вы “туго соображаете”. Сложно включиться в работу.
Вы безуспешно пытаетесь “втянуться” в свои профессиональные задачи, а сами только и мечтаете о любимом диванчике и подушке.

➤ Во-вторых, периодический недосып снижает физические возможности организма. Вы становитесь “вялым” из-за снижения выработки гормона соматостатина. Он, кстати, отвечает за активность и рост мышц.
В дополнение к слабости - внешний вид “портится”. Появляются синяки и мешки под глазами, ухудшается состояние кожи.

➤ В-третьих, при недостатке сна у вас наблюдаются проблемы с коммуникацией.
Вспомните себя: когда не выспались, нет желания слушать и вникать. Становится безразлично, какую замечательную сумочку купила себе подруга. Или, почему друг поругался с женой.

➤ И в-четвертых, недосып ведет к атрофии вещества мозга. Медики уверяют - недосып провоцирует нейрозаболевания, в том числе болезнь Альцгеймера.

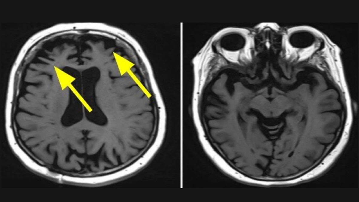
Атрофия вещества головного мозга в лобных областях, истончение извилин. Источник: https://sdelatmrt.spb.ru/
Атрофия вещества головного мозга в лобных областях, истончение извилин. Источник: https://sdelatmrt.spb.ru/

Так сколько нужно спать, чтобы быть “бодрым и веселым”?
Всегда считалось - в среднем 8 часов.

Но последние исследования показали, что для восстановления работоспособности мозга и 6,5 часов сна хватает.
А вот если спать больше - мозг “разрушается”.

Не могу согласиться! Почему так мало?

Действительно, несуразица какая-то.
Что же теперь, лишний раз понежиться в выходной день не судьба?

Однако, продолжительность сна в 6,5 часов по результатам работы определила коллегия ученых из 7 стран: Швейцария, Норвегия, Германия, Великобритания, США, Испания, Дания.

В их распоряжении имелись:

  • 3893 добровольцев разных возрастных категорий (20-89 лет) с относительно стабильным семичасовым сном в течение всей жизни;
  • 8153 продольных сканирований головного мозга участников аппаратом МРТ;
  • данные 51295 МРТ-сканирований от 47029 других людей, напрямую не участвовавших в исследовании.

В ходе исследования делались поправки на возраст и наследственность респондентов, рассматривалось также наличие отложений веществ, связанных с болезнью Альцгеймера (тау-белок, бета-амилоид).

По результатам анализа томограмм было установлено - долгий сон напрямую связан с атрофией вещества мозга в задних отделах, а короткий - с потерей белого вещества в мозжечке и таламусе.

Получается, надо не переборщить!
Слишком много, как и слишком мало - плохо для мозга.

В поисках оптимальной длительности выяснилось - для “удержания баланса” нужен 6,5-часовой сон.

Понежиться - обязательно надо! Только не переборщите
Понежиться - обязательно надо! Только не переборщите

При такой продолжительности сохраняется максимальный объем подкорковых структур. Ученые установили самый благоприятный интервал, нижний порог которого составляет 5,7 часов сна, а верхний - 7,3 часа.
Такая вот точность.

И кстати, хорошая новость - наличие симптомов депрессии и масса тела респондентов существенно на результаты не повлияли.
Можно считать, они значения не имеют во всей этой истории влияния сна на сохранность когнитивных способностей.

Но и это еще не все!
Исследователи “копнули” поглубже и выяснили, что творится с человеческим мозгом во время сна на генном уровне.

Гены и сон - ищем связь

Для “полной картины” ученые провели полногеномный анализ.
Оказалось - гены, отвечающие за продолжительность сна, одинаково активны, независимо от того, много вы спите или мало.

Немного странно, правда?
Но на основании этого факта возникла гипотеза - существует некий генетический фактор, регулирующий среднюю продолжительность сна.

Обнаружилась и связь длительности сна с генами, ответственными за метаболизм липидов. Исследователи надеются - это поможет понять, почему одни высыпаются за короткий срок, а другие долго спят, а им все мало.
Более глубокое исследование внесет ясность в межиндивидуальные различия качества сна.

И еще один любопытный эпизод.
Людям, которые спят менее 6,5 часов, позволили “догнать” средний показатель. О, чудо! В результате повысилась активность их головного мозга.

Уже отсчитали 6,5 часов и побежали ставить будильник? Не торопитесь.

Не торопитесь урезать себе время сна! Все-таки - это очень индивидуально. И старые добрые 8 - 9 часов выглядят более притягательно
Не торопитесь урезать себе время сна! Все-таки - это очень индивидуально. И старые добрые 8 - 9 часов выглядят более притягательно
В исследовании все же есть ремарка - “подчинять себя жестким рамкам” не требуется. У каждого человека режим сна уникален.
Он обусловлен генетическими, экологическими и индивидуальными физиологическими факторами. Поэтому и обозначают интервал “от - до”.

Что-то меня мучают смутные сомнения по поводу достаточности 6,5 часов. За это время выспаться и чувствовать себя бодро весь день реально ли? Как думаете?

Подписывайтесь на канал и погружайтесь с нами в Суть явлений

Ставьте 👍, делитесь публикацией и обязательно оставьте свое мнение в комментариях - так еще больше людей узнает, сколько нужно спать, чтобы сохранять способность мыслить