Добавить в корзинуПозвонить
Найти в Дзене

Команда медицинских экспертов ДЗМ на базе Онкоцентра №1 спасли пациента с плоскоклеточным раком правого наружного слухового прохода

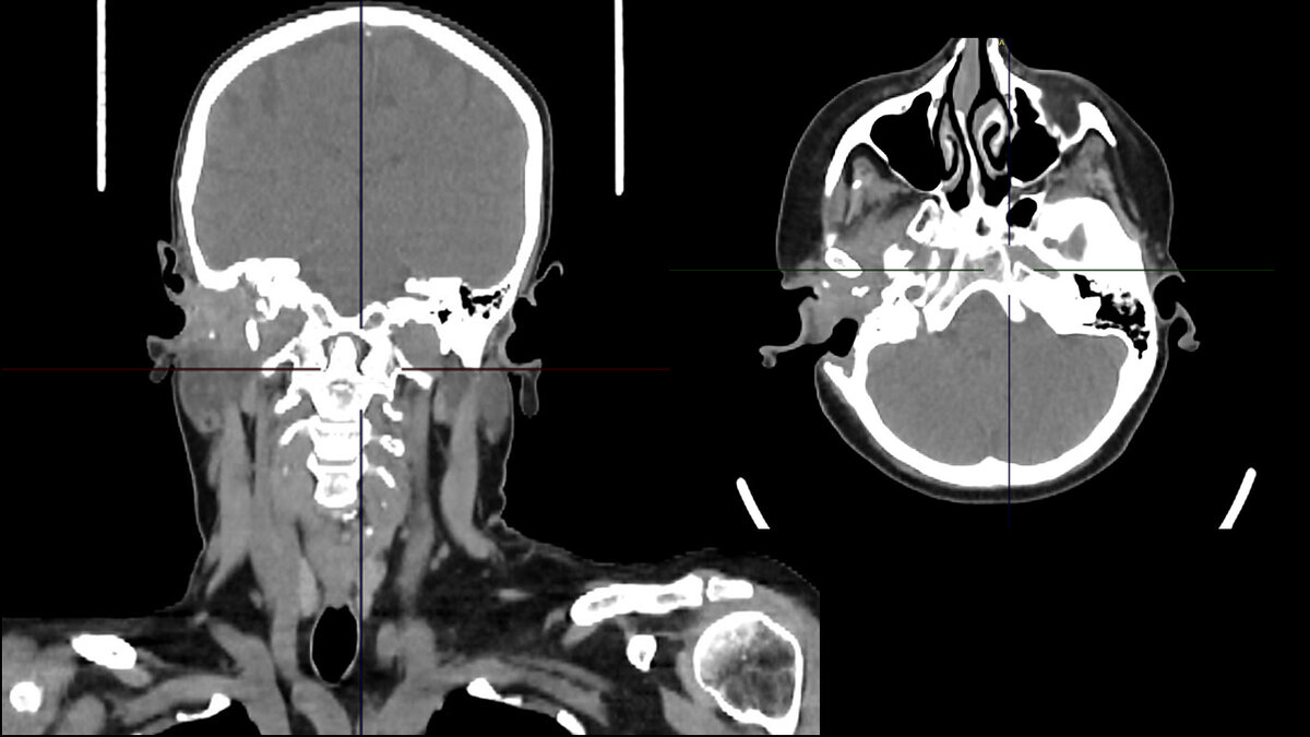
Команда ведущих медицинских экспертов Департамента здравоохранения Москвы на базе Онкологического центра №1 ГКБ им. С.С. Юдина оказали помощь пациенту с диагнозом плоскоклеточный рак правого наружного слухового прохода Пациентка 54 лет обратилась к ЛОР-врачам с жалобами на боль в правом ухе. Предварительный диагноз отит. Специалисты назначали консервативное лечение и противовоспалительную антибактериальную терапию, которые не принесли результата. При последующем осмотре слухового прохода специалисты заподозрили опухолевый процесс и провели биопсию. Однако результат не подтвердил наличие злокачественного новообразования. Пациентку оставили под динамическим наблюдением. «Спустя 3 месяца с момента первичного обращения пациентка была экстренно госпитализирована в ГКБ им. М.Е. Жадкевича, где ей была выполнена профилактическая операция на правом ухе и взят повторный биоптат, - говорит заведующий отделением хирургии опухолей головы и шеи, д.м.н., врач-онколог, хирург Онкологического центра №

Команда ведущих медицинских экспертов Департамента здравоохранения Москвы на базе Онкологического центра №1 ГКБ им. С.С. Юдина оказали помощь пациенту с диагнозом плоскоклеточный рак правого наружного слухового прохода

Пациентка 54 лет обратилась к ЛОР-врачам с жалобами на боль в правом ухе. Предварительный диагноз отит. Специалисты назначали консервативное лечение и противовоспалительную антибактериальную терапию, которые не принесли результата. При последующем осмотре слухового прохода специалисты заподозрили опухолевый процесс и провели биопсию. Однако результат не подтвердил наличие злокачественного новообразования. Пациентку оставили под динамическим наблюдением.

«Спустя 3 месяца с момента первичного обращения пациентка была экстренно госпитализирована в ГКБ им. М.Е. Жадкевича, где ей была выполнена профилактическая операция на правом ухе и взят повторный биоптат, - говорит заведующий отделением хирургии опухолей головы и шеи, д.м.н., врач-онколог, хирург Онкологического центра №1 ГКБ им. С.С. Юдина Сергей Анатольевич Кравцов. – Пересмотр биопсийного материала подтвердил злокачественный процесс редкой локализации, относительно других злокачественных новообразований кожи. Именно поэтому лор-врачам было сложно установить онкологический диагноз».

Пациентке была назначена консультация со специалистами Онкологического центра №1 ГКБ им. С.С. Юдина для определения дальнейшей тактики лечения. Для выполнения хирургического вмешательства было принято решение о создании мультидисплинарной команды специалистов, с участием врачей-оториноларингологов из НКИО им. Л.И. Свержевского, под руководством Гарова Евгения Вениаминовича, д.м.н., руководителя отдела микрохирургии уха и врачей-онкологов Онкологического центра №1 ГКБ им. С.С. Юдина, под руководством Кравцова Сергея Анатольевича, д.м.н. заведующего отделением хирургии опухолей головы и шеи, врача-онколога, хирурга.

8 февраля, 2024 года мультидисциплинарная команда специалистов Департамента здравоохранения Москвы выполнила пациентке хирургическое вмешательство в объеме паротидэктомии с невролизом лицевого нерва справа, лимфаденэтомии шейной расширенной справа, а также петрозэктомию с резекцией мягких тканей околоушной области, ушной раковины, слухового прохода с пластикой пекторальным лоскутом. Операция длилась около 6 часов.

«В ходе операции мы удалили околоушную слюнную железу, инфильтрованную опухолью, под контролем специального нейромонитора, который позволял нам отслеживать сохранность лицевого нерва, - поясняет доктор Кравцов. – Следующим этапом операции стало удаление фрагмента височной кости и формирование пекторального лоскута из мышцы передней грудной стенки для закрытия дефекта у основания черепа».

На сегодняшний день пациентка чувствует себя хорошо, выписана из отделения под наблюдение врачей по месту жительства. Дальнейшая тактика лечения будет определена по результатам иммуногистохимического исследования на консилиуме специалистов.

Злокачественные новообразования органов головы шеи достаточно редкая локализация, однако часто приводит к инвалидизации – нарушениям функции дыхания, голоса, сложностям с приемом пищи, а также эстетическому ущербу. Но благодаря современным методам хирургического лечения и реабилитации специалистам удается сохранить качество жизни пациентов. В отделении хирургии опухолей головы и шеи широко применяются малотравматичные и органосохранные методы удаления опухолей при помощи современной лазерной установки и видеоэндоскопической техники. Хирурги выполняют весь спектр реконструктивных вмешательств на органах и тканях головы и шеи у онкологических больных, как одномоментно с удалением опухоли, так и в более поздние сроки.

Возможность выполнения сложных хирургических вмешательств на органах головы и шеи в составе мультидисциплинарной команды специалистов экспертного уровня позволяет оказывать высококвалифицированную хирургическую помощь больным со злокачественными новообразованиями редко встречаемых локализаций.

gkob1.ru
gkob1.ru