Найти в Дзене
Мадина Султановна

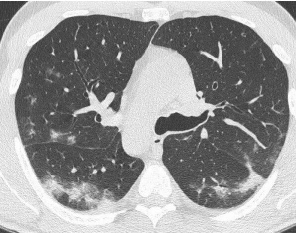
7 шагов диагностики пневмонии на компьютерном томографе: глубокий взгляд в воздушные пути

Дорогие студенты, добро пожаловать в мир компьютерной томографии (КТ) и арт-дзен диагностики! Сегодня мы с вами погружаемся в изысканную область медицины, призванную раскрывать тайны нашего внутреннего мира. Наш компас - КТ, наша цель - разгадать пневмонию шаг за шагом. Присядьте поудобнее, идем на разведку! Шаг 1: Вдохновение Каждая диагностическая сессия начинается с глубокого вдохновения и погружения в мир анатомии пациента. Наши глаза - это окно внутрь, а КТ - наша лупа. Наблюдайте за структурой легких, следите за каждым оттенком и открывайте новые горизонты диагностики. Шаг 2: Сканирование Проведите сканирование легких с уверенностью и мастерством. Изучите каждый слой тканей, каждый уголок легочных долей, ищите признаки патологии как следует. Пневмония скрывается не всегда на поверхности, поэтому доверьтесь своим навыкам обнаружения. Шаг 3: Контраст Если не удается разгадать пазл пневмонии, прибегните к контрастному усилению. Подчеркните контуры пораженных участков, выделит

Дорогие студенты, добро пожаловать в мир компьютерной томографии (КТ) и арт-дзен диагностики! Сегодня мы с вами погружаемся в изысканную область медицины, призванную раскрывать тайны нашего внутреннего мира. Наш компас - КТ, наша цель - разгадать пневмонию шаг за шагом. Присядьте поудобнее, идем на разведку!

Шаг 1: Вдохновение Каждая диагностическая сессия начинается с глубокого вдохновения и погружения в мир анатомии пациента. Наши глаза - это окно внутрь, а КТ - наша лупа. Наблюдайте за структурой легких, следите за каждым оттенком и открывайте новые горизонты диагностики.

Шаг 2: Сканирование Проведите сканирование легких с уверенностью и мастерством. Изучите каждый слой тканей, каждый уголок легочных долей, ищите признаки патологии как следует. Пневмония скрывается не всегда на поверхности, поэтому доверьтесь своим навыкам обнаружения.

Шаг 3: Контраст Если не удается разгадать пазл пневмонии, прибегните к контрастному усилению. Подчеркните контуры пораженных участков, выделите необычности на фоне нормы. Цветовая гамма контрастного изображения поможет вам обнаружить даже мельчайшие изменения.

Шаг 4: Внимание к деталям Дьявол кроется в деталях, и пневмония - не исключение. Обратите внимание на характерные признаки патологии: консолидации, пузырьковый знак, плевральные изменения. Только бдительность и душа исследователя помогут раскрыть все секреты пневмонии. Шаг 5: Интуиция Доверьтесь своей интуиции и объедините ее с знаниями. Иногда ответ может быть скрыт в самой глубине изображения, в натянутых линиях и тенях. Разгадка пневмонии требует синхронности разума и сердца, доверьтесь своей интуиции.

Шаг 6: Взаимодействие со специалистами Арт-дзен диагностика - это взаимодействие со студентами и профессионалами. Обсудите результаты КТ с коллегами, обменяйтесь взглядами, выслушайте мнения. Вдохновите друг друга на новые открытия и стремитесь к совершенству вместе.

Шаг 7: Просветление На пути к диагностике пневмонии вы обязательно найдете свет в конце тоннеля. Поверьте в свои силы, накопленный опыт и мудрость КТ приведут вас к истине. Пневмония - это лишь начало вашего пути в мире диагностики, стремитесь к свету и знанию. Дорогие студенты, каждый шаг на пути диагностики пневмонии - это возможность проникнуть глубже в анатомию и физиологию человеческого тела. Пусть ваш путь в мире компьютерной томографии будет освещен светом мудрости и просвещения. Погрузитесь в арт-дзен диагностики и откройте новые горизонты медицины