Добавить в корзинуПозвонить
Найти в Дзене
AMMIAC. МЕДИА

Пациент жаловался на мигрень, а врачи нашли червя

52-летний житель Флориды, которого родственники считали страдающим от мигреней, на самом деле боролся с причудливой инвазией ленточных червей в своем мозгу, вызванной поеданием сырого бекона. Неназванный пациент жаловался на агрессивные головные боли в течение четырех месяцев после употребления свиного деликатеса. Медики сообщили, что "предпочтение бекона" не было единственной единственной причиной такого специфического недомогания - также, возможно, его любимое блюдо для завтрака испортилось, и недожаренное мясо сделало мужчину чрезвычайно уязвимым. Поэтому неудачное стечение обстоятельств привело к нейроцистицеркозу - термину, обозначающему паразита, откладывающего яйца, которые заражают многочисленные участки тела. Надо заметить, что нейроцистицеркоз может быть заразен. "Исторически сложилось так, что в США очень редко встречается зараженная свинина, и этот случай может иметь значение для общественного здравоохранения", - сообщили исследователи. По различным данным, если больной чел

52-летний житель Флориды, которого родственники считали страдающим от мигреней, на самом деле боролся с причудливой инвазией ленточных червей в своем мозгу, вызванной поеданием сырого бекона. Неназванный пациент жаловался на агрессивные головные боли в течение четырех месяцев после употребления свиного деликатеса.

Медики сообщили, что "предпочтение бекона" не было единственной единственной причиной такого специфического недомогания - также, возможно, его любимое блюдо для завтрака испортилось, и недожаренное мясо сделало мужчину чрезвычайно уязвимым. Поэтому неудачное стечение обстоятельств привело к нейроцистицеркозу - термину, обозначающему паразита, откладывающего яйца, которые заражают многочисленные участки тела. Надо заметить, что нейроцистицеркоз может быть заразен. "Исторически сложилось так, что в США очень редко встречается зараженная свинина, и этот случай может иметь значение для общественного здравоохранения", - сообщили исследователи.

По различным данным, если больной человек не моет тщательно руки после опорожнения кишечника, он может передать паразита другим членам своей семьи - особенно через пищу. Это "предотвратимо", однако ежегодно приводит к госпитализации около 1 тыс нечистоплотных американцев.

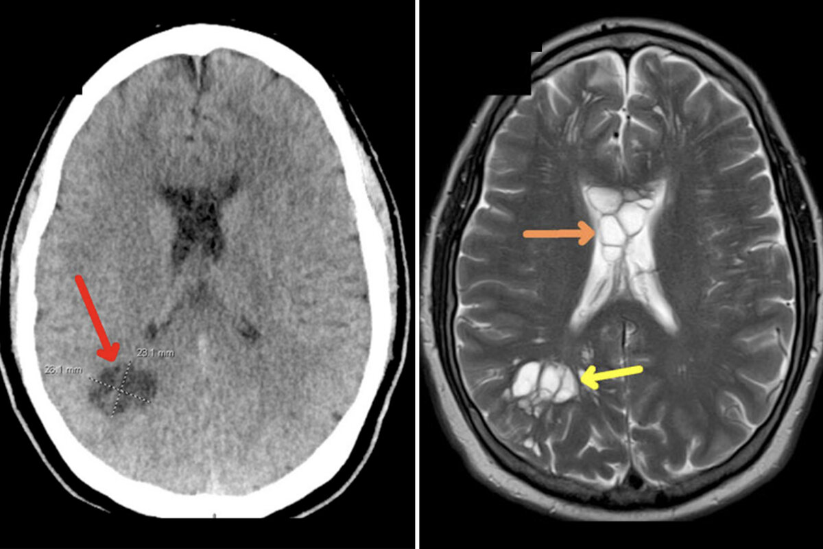
В данном случае, наряду с отеком, у пациента появились кисты по обе стороны мозга. Также было установлено, что ленточный червь успел отложить яйца в его мозге. Пациенту назначили дегельминтик альбендазол, что привело к улучшению состояния уже через две недели. Поскольку четыре из пяти случаев заражения такого вида паразитом сопровождаются припадками, медики предупреждают о необходимости "сохранять высокий индекс подозрительности и тщательно собирать анамнез у пациентов с изменениями в картине мигрени".

Без цензуры мы публикуем у себя в Телеграм-канале!

Еще от Аммиак:

Укусы комаров оборачиваются больницей
AMMIAC. НОВОСТИ 1 декабря 2022