Найти в Дзене

Диастема, что это такое и как убрать с помощью брекетов❓

Диастема – это увеличенное пространство между двумя зубами. Чаще всего она возникает между центральными резцами. Ее размеры в среднем 1-6 мм, иногда больше. Почему появляется диастема? Наиболее частая причина ее возникновения – это генетическая предрасположенность. Также нередко диастема возникает из-за особенностей строения черепа и зубочелюстной системы, в частности – из-за размера, строения и прикрепления уздечки губы. Помимо этих причин, существуют и менее распространенные. Среди них, к примеру, микродентия – уменьшенный размер зубов, а также наличие сверхкомплектных зубов. Вредные привычки, такие как сосание большого пальца, тоже могут привести к формированию диастемы. Наконец, причиной может стать и чрезмерно долгое использование ребенком пустышек и бутылочек. Позднее прорезывание и нарушение сроков появления постоянных зубов тоже являются факторами, повышающими риски диастемы.  Опухоли различного генеза и расщелины альвеолярного отростка также могут приводить к данной проблеме
Оглавление
Диастема – это увеличенное пространство между двумя зубами. Чаще всего она возникает между центральными резцами. Ее размеры в среднем 1-6 мм, иногда больше.
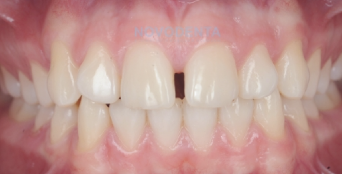
Пример диастемы
Пример диастемы

Почему появляется диастема? Наиболее частая причина ее возникновения – это генетическая предрасположенность. Также нередко диастема возникает из-за особенностей строения черепа и зубочелюстной системы, в частности – из-за размера, строения и прикрепления уздечки губы.

Помимо этих причин, существуют и менее распространенные. Среди них, к примеру, микродентия – уменьшенный размер зубов, а также наличие сверхкомплектных зубов. Вредные привычки, такие как сосание большого пальца, тоже могут привести к формированию диастемы.

Наконец, причиной может стать и чрезмерно долгое использование ребенком пустышек и бутылочек. Позднее прорезывание и нарушение сроков появления постоянных зубов тоже являются факторами, повышающими риски диастемы.  Опухоли различного генеза и расщелины альвеолярного отростка также могут приводить к данной проблеме.

🤔Виды диастем

Существует две основные разновидности диастем: истинные и ложные. Истинная диастема возникает в тех случаях, когда постоянные зубы уже прорезались. Сама по себе такая диастема не закроется, ее нужно исправлять.

Ложные диастемы возникают у детей в период активной подготовки организма к замене зубов. В это время между зубами могут иметься значительные промежутки. Однако как только постоянные зубы начинают прорезываться – эти промежутки закрываются.

Диастема может появиться как у ребенка, так и у взрослого. Какого-то определенного возрастного периода "риска" нет. С возрастом, однако, есть тенденция к увеличению уже имеющейся диастемы. Это объясняется следующим. Если диастема возникла не по причине микродентии, а, например, из-за каких-то поворотов зубов или их вращения по оси, то с возрастом это будет прогрессировать. Зуб будет стремиться разворачиваться дальше, в неправильное положение. Тем самым диастема будет увеличиваться.

🤗️️️️️️Это интересно

Любопытно, что многие пациенты с диастемой, приходя на консультацию, интересуются, можно ли оставить ее, утверждая, что она их абсолютно устраивает. Как правило, данное явление носит косметический характер и не влияет ни на что, кроме эстетики улыбки. Иногда, впрочем, диастема мешает каким-то социальным факторам или комфортному самочувствию – например, у пациента может наблюдаться шепелявость, возникают сложности при приеме пищи, застревание кусочков еды между зубами.

Но если самого пациента ничего не беспокоит, необходимости в обязательном закрытии диастемы нет.

Разумеется, врач на приеме будет рекомендовать закрыть диастему. Но если пациент говорит, что ему эта особенность его улыбки нравится, и если ситуация в полости рта позволяет диастему оставить – то это вполне можно сделать.

Как исправить диастему?

За счет чего можно скомпенсировать диастему между центральными зубами? Существует несколько вариантов.

1️⃣ Первый и самый простой – это реставрация. Стоматолог заполняет композитным материалом пространство диастемы, создавая эстетичный внешний вид зубов.

2️⃣ Второй способ – ортопедический. Врач-ортопед закрывает пространство между зубами при помощи виниров или коронок.

3️⃣ Третий вариант – ортодонтия. Ношение брекетов или кап позволяет сместить зубы так, чтобы закрыть промежуток.

Выбор в пользу того или иного варианта всегда определяется полной клинической картиной в полости рта пациента. Врач никогда не станет делать выбор, опираясь только лишь на диастему отдельно от общей ситуации.

🙂 Клинический случай

Рассмотрим далее кейс, на котором наглядно видно, как можно закрыть диастему при помощи брекетов.

-2
-3

Пациенту-подростку не нравился косметический дефект его улыбки в виде промежутка между передними зубами. Причиной диастемы в данном случае явилась особенность прикрепления уздечки, также свою роль сыграл незначительный разворот зуба в сторону.

Было принято решение об установке брекет-системы, также выполнялась лазерная коррекция уздечки. Спустя полтора года лечения диастема была закрыта полностью, зубы выровнялись, улыбка стала симметричной и эстетичной. Через год после снятия брекетов картина в полости рта пациента по-прежнему оставалась стабильной. Симметричность была сохранена, и промежутки между зубами не открылись вновь.

***
Проверить здоровье зубов и дёсен можно в нашей клинике НОВОДЕНТА+.
На первый приём действует СКИДКА 5%
***
Записаться на консультацию можно по тел. +7 (495) 152-11-24 или
НА САЙТЕ
***
📍Адрес клиники: г. Москва, ул. Айвазовского, д. 2
☝️Наш социальные сети
https://taplink.cc/novodenta

Рекомендуем посмотреть эти статьи и видео:

Жёлтые зубы. И дело не в кариесе🌿
НОВОДЕНТА - Мы знаем, как лечить зубы!3 декабря 2023