Найти в Дзене

Малайзийская больница провела замену пяточной кости с помощью 3D-печати

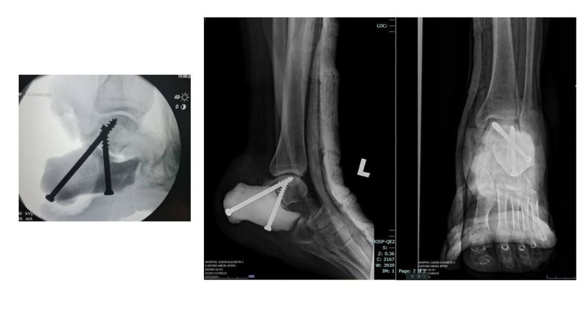
Малазийские онкологи недавно достигли важной вехи, успешно проведя первую в стране замену пяточной кости с использованием 3D-печатной формы. Процедура была направлена ​​на устранение рецидива леченной гигантоклеточной опухоли, что требовало полной резекции пяточной кости. Выздоровление пациента без осложнений подчеркивает эффективность этого метода. Благодаря своей экономической эффективности подход 3D-печати становится многообещающим решением для реконструкции костей в условиях финансовых ограничений в государственных медицинских учреждениях. Медицинская команда подчеркивает универсальность метода, подчеркивая его потенциал принести пользу многочисленным пациентам, нуждающимся в реконструкции костей. Операция, возглавляемая врачами отделения ортопедической онкологии, под руководством доктора Аарона Жерарда Пола, доктора Эйрика Го Боай Хонга и доктора Ти Кок Кита, ознаменовала значительный скачок в медицинских инновациях. Подготовка включала тщательное планирование и использование пер

Малазийские онкологи недавно достигли важной вехи, успешно проведя первую в стране замену пяточной кости с использованием 3D-печатной формы. Процедура была направлена ​​на устранение рецидива леченной гигантоклеточной опухоли, что требовало полной резекции пяточной кости.

Выздоровление пациента без осложнений подчеркивает эффективность этого метода. Благодаря своей экономической эффективности подход 3D-печати становится многообещающим решением для реконструкции костей в условиях финансовых ограничений в государственных медицинских учреждениях. Медицинская команда подчеркивает универсальность метода, подчеркивая его потенциал принести пользу многочисленным пациентам, нуждающимся в реконструкции костей.

Операция, возглавляемая врачами отделения ортопедической онкологии, под руководством доктора Аарона Жерарда Пола, доктора Эйрика Го Боай Хонга и доктора Ти Кок Кита, ознаменовала значительный скачок в медицинских инновациях. Подготовка включала тщательное планирование и использование передовых технологий для преобразования изображений КТ в точные 3D-модели.

Для печати в формах использовалась полимолочная кислота (PLA), чтобы обеспечить биосовместимость и простоту стерилизации. В форму заливали костный цемент из полиметилметакрилата (ПММА), который обеспечивал бесшовное крепление, позволяя выдерживать послеоперационную нагрузку.

Этот инновационный подход не только обещает функциональное восстановление, но также обеспечивает комфорт пациента за счет сокращения времени восстановления и улучшения анатомической посадки. Поскольку малазийское здравоохранение является пионером этой новой методики, она создает прецедент для будущих достижений в ортопедической онкологии, давая надежду пациентам во всем мире.

ЛИТЬЕ ПРОТОТИПОВ ПОД ДАВЛЕНИЕМ ИЛИ 3D-ПЕЧАТЬ?

3D-ПЕЧАТЬ ОПРОБУЮТ В АРКТИЧЕСКОЙ МИССИИ

VIVOBAREFOOT ПРЕДСТАВЛЯЕТ БИОРАЗЛАГАЕМЫЕ КРОССОВКИ, НАПЕЧАТАННЫЕ НА 3D-ПРИНТЕРЕ

По всем вопросам 3d сканирования, 3d печати писать сюда

Telegram: https://t.me/fidller

E-mail: shope@fidller.com

наш магазин https://fidller.com/category/uslugi-3d-pechati-fdm-fff-sla-3d-skanirovanie/

вконтакте: https://vk.com/3d_krd_123

сайт про кино — https://news.fidller.com

вконтакте: https://vk.com/3d_krd_123