Найти в Дзене

Кальцинаты молочной железы. Обзор литературы.

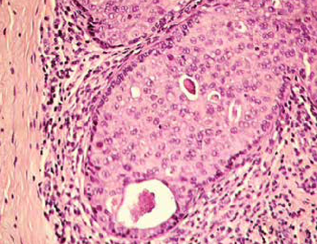
Продолжение предыдущего материала об отрицательной динамике в молочной железе. На этот раз предлагаю вам статью на портале "Опухоли женской репродуктивной системы" (ОЖРС) - https://ojrs.abvpress.ru/ojrs/article/view/1166 за авторством сотрудников РНЦРР: Ходорович, Солодкого, Клешневой, Шерстневой, Ищенко. Открыть PDF для чтения можно по ссылке - https://ojrs.abvpress.ru/ojrs/article/view/1166/837 . На микрофото рак in situ молочной железы, солидная структура.
Комедонекроз. Обызвествление (кальцинация) некротических масс. Рак молочной железы продолжает сохранять лидирующую позицию в структуре онкологической заболеваемости среди женщин. Ранняя диагностика заболевания на этапе оценки косвенных признаков дает возможность в будущем сформировать должное динамическое наблюдение, выполнить функционально-щадящее хирургическое лечение и таким образом сохранить хорошее качество жизни пациенток. Интерес к раннему выявлению доброкачественной и злокачественной патологии молочной железы (МЖ) растет с

Продолжение предыдущего материала об отрицательной динамике в молочной железе. На этот раз предлагаю вам статью на портале "Опухоли женской репродуктивной системы" (ОЖРС) - https://ojrs.abvpress.ru/ojrs/article/view/1166 за авторством сотрудников РНЦРР: Ходорович, Солодкого, Клешневой, Шерстневой, Ищенко.

Открыть PDF для чтения можно по ссылке - https://ojrs.abvpress.ru/ojrs/article/view/1166/837 .

На микрофото рак in situ молочной железы, солидная структура.
Комедонекроз. Обызвествление (кальцинация) некротических масс.

Рак молочной железы продолжает сохранять лидирующую позицию в структуре онкологической заболеваемости среди женщин. Ранняя диагностика заболевания на этапе оценки косвенных признаков дает возможность в будущем сформировать должное динамическое наблюдение, выполнить функционально-щадящее хирургическое лечение и таким образом сохранить хорошее качество жизни пациенток. Интерес к раннему выявлению доброкачественной и злокачественной патологии молочной железы (МЖ) растет с каждым годом.

Мультидисциплинарный подход к изучению формирования кальцинатов МЖ дает возможность взглянуть на проблему с разных сторон. Пути решения вопросов, возникающих в процессе диагностики, лежат в том числе в основе понимания биохимических механизмов образования кальцинатов, что немаловажно при оценке маммограмм.

Практически до 50 % непальпируемых новообразований МЖ на практике выявляются по признакам имеющихся кальцинатов в ткани железы. В настоящее время активно изучается проблема ранней выявляемости злокачественных опухолей МЖ по рентгенологическим признакам этих кальцинатов, их форме и характеру расположения в ткани железы и их дальнейшего патоморфологического подтверждения.

Нами был проведен анализ данных зарубежной и отечественной литературы за последние 20 лет. Проблема рассматривалась от механизма формирования и морфологических особенностей кальцинатов в ткани МЖ до их рентгенологической оценки по маммограммам.

По результатам изученной литературы за основу понимания природы кальцинатов в ткани МЖ взяты биохимические особенности их формирования.

Понимание молекулярного и структурного развития кальцинатов может способствовать обнаружению и лечению заболеваний молочной железы. Выявление данных структур у пациентки с диагнозом рака молочной железы относится к ранней диагностике заболевания, когда при своевременно назначенной терапии мы получаем высокие шансы достижения хороших отдаленных показателей безрецидивной выживаемости.

Читайте материал полностью с иллюстрациями по ссылке - https://ojrs.abvpress.ru/ojrs/article/view/1166/837 .

Данный канал носит ознакомительный характер из практики доктора или врачей маммологической клиники ФГБУ РНЦРР. Канал не призывает к оказанию каких-либо услуг или хирургическому вмешательству.
ОБЯЗАТЕЛЬНА КОНСУЛЬТАЦИЯ СО СПЕЦИАЛИСТАМИ.

Информация взята с сайта РНЦРР и Телеграм-канала Ходорович Ольги Сергеевны . Дополнительные ресурсы ниже.

ВКонтакте: https://vk.com/dr.khodorovich
Дополнительная рассылка внутри ВК: https://vk.com/app5898182_-176711625
Одноклассники: https://ok.ru/dr.khodorovich

#рмж #рак #онкология #хирургия #медицина #здоровье #рнцрр #москва #ходорович #маммология #врачи #кальцинаты #микрокальцинаты #гидроксиапатиты #оксалатыкальция