Добавить в корзинуПозвонить
Найти в Дзене
Доктор рекомендует

Урологи удалили из почки 7 камней размером с орех и спасли от боли жительницу Кузбасса

Урологи Томской ОКБ и клиник Сибирского государственного медицинского университетов провели совместную сложную операцию, в ходе которой им удалось через мини-доступ 5 мм раздробить семь крупных камней в единственной функционирующей почке у пациентки из Анжеро-Судженска Кемеровской области. Летом 2023 года женщина обратилась в клиники СибГМУ с сильными болями в области спины. В результате обследования оказалось, что причиной стали множественные камни в почке – всего семь камней, самые крупные из них были размером с орех - около 2,5 см. Эта почка была единственная функционирующая, вторая – уже несколько лет не выполняет свои функции.
Стандартная методика извлечения камней в данном случае была исключена, так как она была сопряжена с высоким риском кровотечения.
«Был проведён врачебный консилиум с участием специалистов СибГМУ и ТОКБ, на котором приняли решение оперировать пациентку на базе нашей многопрофильной больницы, где при развитии кровотечений, можно задействовать возможности а

Урологи Томской ОКБ и клиник Сибирского государственного медицинского университетов провели совместную сложную операцию, в ходе которой им удалось через мини-доступ 5 мм раздробить семь крупных камней в единственной функционирующей почке у пациентки из Анжеро-Судженска Кемеровской области.

"Доктор дочке вернула маму, а мне - жену": История спасения Алёны
Томская областная клиническая больница25 мая 2023

Летом 2023 года женщина обратилась в клиники СибГМУ с сильными болями в области спины. В результате обследования оказалось, что причиной стали множественные камни в почке – всего семь камней, самые крупные из них были размером с орех - около 2,5 см. Эта почка была единственная функционирующая, вторая – уже несколько лет не выполняет свои функции.

Стандартная методика извлечения камней в данном случае была исключена, так как она была сопряжена с высоким риском кровотечения.

«Был проведён врачебный консилиум с участием специалистов СибГМУ и ТОКБ, на котором приняли решение оперировать пациентку на базе нашей многопрофильной больницы, где при развитии кровотечений, можно задействовать возможности ангиоблока, чтобы провести эмболизацию артерий, а также можно было бы оперативно подключить пациентку к аппарату искусственная почка, если в ходе операции случится острое почечное повреждение», - рассказала врач-уролог ТОКБ Дарья Хотченко.


"Когда мужество и профессионализм совершают чудеса": врачи Томской больницы поставили на ноги участника СВО, проведя ему пять операций
Томская областная клиническая больница7 июня 2023

Заведующий урологическим отделением клиники госпитальной хирургии СибГМУ Максим Сергеевич Лозовский и врач-уролог ТОКБ Дарья Ивановна Хотченко успешно провели сложную малоинвазивную операцию по методике мини-перкутанная нефролитотрипсия (через минимальный доступ - 5 мм). Операция шла два часа, в ней применялось различное специализированное оборудование, такое как современный литотриптор, эндохирургическая стойка и рентгеновский аппарат С-Дуга.

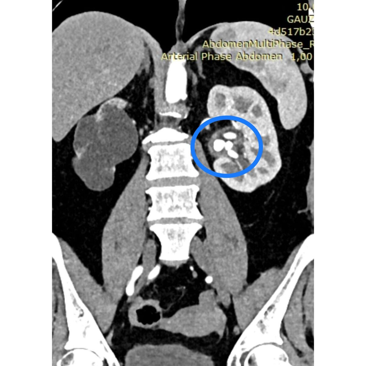
Множественные камни в почке на снимке КТ
Множественные камни в почке на снимке КТ

Операция прошла без осложнений, пациентка уже в этот же день чувствовала себя хорошо.

«Я за всю свою жизнь даже не подозревала, что у меня есть камни в почке. Всё началось с того, что августе в санатории я попила минеральную воду, и у меня начались приступы. Боль поднималась как бы сбоку и наверх, под ребра, как бы опоясывающая была. Я четверо суток мучилась на обезболивающих, потом пошла к врачам.
Спасибо всем докторам, а особенно Дарье Ивановне – она доброжелательная, умничка, ручки у неё золотые. Медицинский персонал в отделении на уровне: все просьбы выполняют. Я уезжаю домой с хорошим настроением», - отметила в свою очередь пациентка Людмила Якверт.

Что такое аритмия и как её предотвратить: интервью заведующего отделением кардиологии Томской ОКБ
Томская областная клиническая больница13 марта 2023
Врачи прилетели в Томск за 3000 км, чтобы спасти жизнь молодой матери с инсультом. История спасения Дианы
Томская областная клиническая больница7 сентября 2023
Травматологи Томской ОКБ выполняют высокотехнологичные операции по замене суставов
Томская областная клиническая больница15 мая 2023