Добавить в корзинуПозвонить
Найти в Дзене

Всё на 4-х. Клинический случай.

Всем доброго времени суток! Если Вам понравится этот пост поставьте лайк👍 и напишите своё мнение или вопрос в комментариях. Так я буду понимать, что информация полезная, интересная и актуальная. Это будет мотивировать меня описывать для Вас все нюансы и сложности, с которыми мы сталкиваемся в работе. _________________________________________ Жалобы пациента были: на отсутствие жевательных зубов; разрушенность зубов; плохую эстетику коронок и их постоянную расфиксацию (отклеивание и выпадение). В клинических ситуациях когда осталось мало опорных зубов, либо оставшиеся опорные зубы уже не состоятельные, чтобы обрести вновь несъёмные зубы прибегаем к использованию опор в виде имплантатов. Фото улыбки: Фото улыбке в роторасширителе: Вид конструкций и разрушенных корней с жевательной поверхности: После снятия видим, что опорные зубы разрушились, поражены кариесом и можно сказать «отслужили своё»: Я провёл удаление, выравнивание костной ткани, открытый синуслифтинг, установку 4-х имплантат

Всем доброго времени суток!

Если Вам понравится этот пост поставьте лайк👍 и напишите своё мнение или вопрос в комментариях. Так я буду понимать, что информация полезная, интересная и актуальная. Это будет мотивировать меня описывать для Вас все нюансы и сложности, с которыми мы сталкиваемся в работе.

_________________________________________

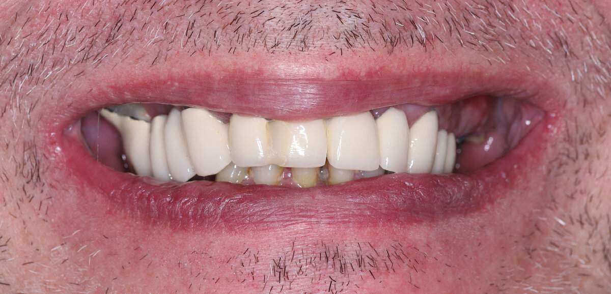
Жалобы пациента были:

на отсутствие жевательных зубов; разрушенность зубов;

плохую эстетику коронок и их постоянную расфиксацию (отклеивание и выпадение).

В клинических ситуациях когда осталось мало опорных зубов, либо оставшиеся опорные зубы уже не состоятельные, чтобы обрести вновь несъёмные зубы прибегаем к использованию опор в виде имплантатов.

Фото улыбки:

Фото улыбке в роторасширителе:

-2

Вид конструкций и разрушенных корней с жевательной поверхности:

-3

После снятия видим, что опорные зубы разрушились, поражены кариесом и можно сказать «отслужили своё»:

-4

Я провёл удаление, выравнивание костной ткани, открытый синуслифтинг, установку 4-х имплантатов и мультиюнитов.

Фото после проведённой работы:

Виднеются желтые точки в конструкции (там установлены имплантаты)
Виднеются желтые точки в конструкции (там установлены имплантаты)
Вид в ретракторах (расширителях) после
Вид в ретракторах (расширителях) после

И улыбка после проведённой реабилитации:

-7

Когда пациент улыбается, губа прикрывает линию перехода искусственной десны в свою собственную и никто не догадается, что это не его собственные зубы, разве что только стоматологи и те с трудом.

До / после
До / после

Пациент очень долго решался и боялся идти на эту манипуляцию, но когда обрёл новую улыбку на верхней челюсти, посмотрел на себя в зеркало, увидел классный эстетический и функциональный результат, то сразу же начал спрашивать про нижние зубы и восстановление там зубного ряда. ☺️

На нижней челюсти тоже поработаем, это безусловно есть в планах, но как вы уже знаете: «на всё нужно время». 🙂

P.s. конструкция, которую вы видели на фото- временная. Через 6-12 месяцев (после «приживления» имплантатов подлежит обязательней замене на постоянную.

Спасибо, что проявили интерес к публикации!

________________________________________

Ставьте лайк👍.

Подписывайтесь на канал. ✅

Всем здоровья!

P.s. пишите свои мнения и вопросы в комментариях📝

С уважением, доктор Ижмукóв

Виталий Владимирович.

_________________________________________

Контактная информация:

+79370634232

dr.izhmukov@mail.ru