Найти в Дзене
Домашняя лаборатория

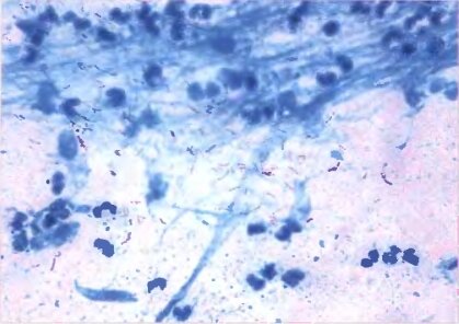
Морфология микобактерий туберкулеза в препаратах, окрашенных по Цилю-Нильсену

Микобактерии туберкулеза в препаратах мокроты, окрашенные по Цилю Нильсену, выглядят как ярко-малиновые или красные тонкие, слегка изогнутые, прерывистые, короткие и длинные, с утолщениям на концах, зернистые бациллы. Характерной особенностью возбудителя является резко выраженный полиморфизм. В скоплениях микобактерии образуют фигуры, напоминающие римские цифры V, II или III. При благоприятных условиях КУМ* существуют и размножаются в виде типичной палочковидной формы. При изменении условий окружающей среды КУМ теряют клеточную стенку и трансформируются в L-формы, обладающие большей устойчивостью к вредным воздействиям. Так, при длительной антибактериальной терапии зернистые шары L-формы КУМ могут распадаться на мельчайшие некислотоустойчивые фильтрующиеся формы. При устранении неблагоприятного фактора фильтрующиеся L-трансформированные формы КУМ способны реверсировать в классическую палочковидную форму. L-формы микобактерий туберкулеза при окраске азур-эозином обнаруживаются в виде зе

Микобактерии туберкулеза в препаратах мокроты, окрашенные по Цилю Нильсену, выглядят как ярко-малиновые или красные тонкие, слегка изогнутые, прерывистые, короткие и длинные, с утолщениям на концах, зернистые бациллы. Характерной особенностью возбудителя является резко выраженный полиморфизм. В скоплениях микобактерии образуют фигуры, напоминающие римские цифры V, II или III.

При благоприятных условиях КУМ* существуют и размножаются в виде типичной палочковидной формы.

При изменении условий окружающей среды КУМ теряют клеточную стенку и трансформируются в L-формы, обладающие большей устойчивостью к вредным воздействиям. Так, при длительной антибактериальной терапии зернистые шары L-формы КУМ могут распадаться на мельчайшие некислотоустойчивые фильтрующиеся формы. При устранении неблагоприятного фактора фильтрующиеся L-трансформированные формы КУМ способны реверсировать в классическую палочковидную форму.

L-формы микобактерий туберкулеза при окраске азур-эозином обнаруживаются в виде зернистых шарообразных структур диаметром 6-8 мкм «шары средних размеров», обычно окрашиваются в голубовато-сиреневый цвет, не содержат ядра и четкой оболочки. Цитоплазма негомогенная за счет большого количества мелких сгущений или мелкой зернистости и участков разрежения за счет мелких вакуолей. Альвеолярные макрофаги фагоцитируют L-формы.

При окраске по Цилю Нильсену L-формы КУМ окрашиваются в ярко-малиновый или красный цвет, что характерно для типичных кислотоустойчивых форм микобактерий.

* КУМ – кислотоустойчивые микобактерии