Найти в Дзене

Боли пяток? Надежное средство от пяточной шпоры

Боль в области пятки все называют шпорой, но на самом деле пяточная шпора не всегда сопровождается болью, а болезненность при наступлении на пятку - не всегда возникает из-за наличия шпоры в пятке. Специалистами уже давно доказано, что чаще всего болит не шпора, а травмированная подошвенная фасция, на которой, в результате чрезмерных нагрузок на стопу, возникают микроразрывы и микротрещины. Микротрещины воспаляются и появляется боль - вот она то и не дает нормально наступать на пятку. Этот патологический процесс называют плантарным фасциитом. Плантарный фасциит и пяточная шпора становятся следствием продольного плоскостопия в 90% случаев. Продольное плоскостопие - это уплощение, т.е. снижение продольного свода стопы, идущего от пальцев к пятке. Однако, для развития патологических процессов, приводящих к болям в пяточной области, кроме плоскостопия должны присутствовать и другие факторы, которые нарушают нормальную работу подошвенной фасции (апоневроза). Одним из главных факторов травми
Оглавление

Из-за чего болит пятка?

Боль в области пятки все называют шпорой, но на самом деле пяточная шпора не всегда сопровождается болью, а болезненность при наступлении на пятку - не всегда возникает из-за наличия шпоры в пятке.

Специалистами уже давно доказано, что чаще всего болит не шпора, а травмированная подошвенная фасция, на которой, в результате чрезмерных нагрузок на стопу, возникают микроразрывы и микротрещины. Микротрещины воспаляются и появляется боль - вот она то и не дает нормально наступать на пятку. Этот патологический процесс называют плантарным фасциитом.

Откуда берется плантарный фасциит и пяточная шпора?

Плантарный фасциит и пяточная шпора становятся следствием продольного плоскостопия в 90% случаев.

Продольное плоскостопие - это уплощение, т.е. снижение продольного свода стопы, идущего от пальцев к пятке. Однако, для развития патологических процессов, приводящих к болям в пяточной области, кроме плоскостопия должны присутствовать и другие факторы, которые нарушают нормальную работу подошвенной фасции (апоневроза).

Одним из главных факторов травмирования подошвенного апоневроза становится чрезмерная нагрузка на стопу:

- избыточный вес,

- работа “на ногах”,

- ношение неправильной обуви,

- занятие спортом, танцами,

Все эти факторы по-отдельности, а зачастую - наличие сразу нескольких повреждающих фасцию причин у одного и того же человека приводят к перенапряжению плантарной связки.

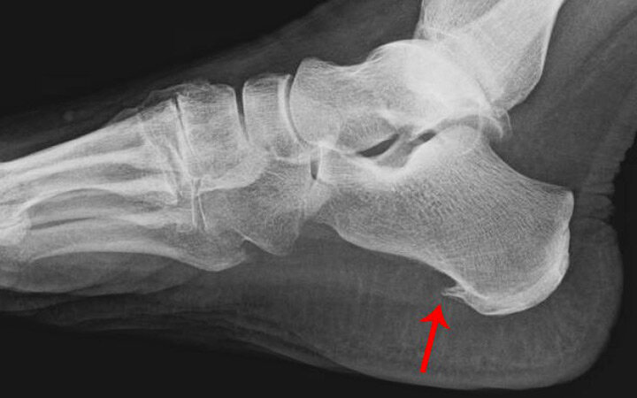
В месте её прикрепления к пяточной кости начинается воспалительный процесс. Он затрагивает поверхностные слои костной ткани и организм включает защитный механизм: начинает укреплять фасцию в месте повреждения за счет скопления ионов кальция. Связка сначала утолщается, становится менее эластичной, а затем часть её окостеневает. Так и образуется нарост на пяточной кости (остеофит) - шпора. Ортопеды различают два вида пяточной шпоры:

- подошвенная: костный отросток формируется со стороны подошвы;

- ахиллова (задняя): остеофит разрастается на задней поверхности пяточной кости в месте крепления ахиллова сухожилия (редкая форма).

Бывает же и так, что от перегрузки плантарная фасция в области пятки начинает рваться. Возникает много мелких разрывов волокон, микротрещин, они воспаляются, в месте воспаления ткани отекают и появляется боль. Может быть даже покраснение и местное увеличение температуры тела если процесс воспаления очень интенсивен. Так развивается плантарный фасциит. Он может сопровождаться образованием остеофита, а может протекать как самостоятельный патологический процесс.

Самая сильная и острая боль в пяточной области пронизывает всё тело от пятки вверх по нижним конечностям, как только вы пытаетесь опуститься на пятку после сна, небольшого отдыха или перерыва в процессе движения. Боль усиливается каждый раз, когда нагрузка на пятку возрастает:

- при длительном стоянии, сидении,

- при ходьбе босиком,

- при ходьбе в плоской обуви без каблука.

Спустя некоторое время после начала ходьбы плантарная фасция растягивается и боль уменьшается, но, после отдыха острая боль возвращается снова.

-2

Что делать? Как лечить пяточную шпору и плантарный фасциит?

Методов лечения пяточной шпоры и плантарного фасциита достаточно много - от консервативных, до хирургических:

- медикаментозная терапия (противовоспалительные, обезболивающие препараты),

- физиолечение (УВЧ, магнитно-лазерная терапия, ультразвук),

- удаление шпоры при помощи ударно-волновой терапии, лазера, радиочастотных волн,

- хирургическое вмешательство (классическая операция, эндоскопическая операция).

Есть и народные средства для лечения пяточной шпоры, но все эти средства направлены на исправление имеющихся проявлений патологического процесса:

- снижение боли,

- уменьшение воспаления,

- удаление остеофита.

Все вышеперечисленные методы имеют разную степень эффективности и не приносят избавления от самой болезни, т.к. не убирают источник её возникновения. Чтобы избавиться от боли в пятке надолго, нужно убрать причины её появления:

- чрезмерную нагрузку,

- перерастяжение плантарной фасции,

- травмирование подошвенной связки.

То есть, необходимо помочь стопе восстановить продольный свод и разгрузить апоневроз, тогда стопа при движении будет работать правильно, нагрузка по стопе будет распределяться так, как задумано самой природой.

С этой задачей помогут справиться ортопедические стельки.

Ортопедические стельки отлично подойдут в качестве средства для самостоятельного лечения пяточной шпоры. Они не только снизят воспаление за счет разгрузки пяточной области, но и поддержат продольный свод, снимут нагрузку с больного апоневроза и восстановят биомеханику ходьбы. При помощи ортопедических стелек в стопе мышцы и связки будут работать так, как должны, каждая выполняя свою физиологическую функцию. В результате восстановления правильного механизма движения в стопе подошвенный апоневроз перестанет испытывать чрезмерные нагрузки и процесс восстановления и заживления полученных микротравм пойдет лучше и быстрее.

Как добиться разгрузки подошвенной фасции?

Главным методом лечения плантарного фасциита и пяточной шпоры будет именно разгрузка плантарной фасции. Ведь в терапии любого заболевания нужно в первую очередь убрать источник болезни, тогда и лечение будет намного эффективнее.

Почему в этом случае стельки эффективнее подпяточников? Подпяточник снимает нагрузку только с пяточной области, он не разгружает фасцию и не перераспределяет нагрузку по всей стопе. То есть, подпяточник решает проблему только частично, не компенсируя чрезмерную нагрузку на саму подошвенную связку, а значит, не убирая источник проблемы.

Ортопедические стельки “Антишпора” арт. 93 имеют специальный динамический каркас с отверстием для пяточного амортизатора и канавкой под подошвенную фасцию. Такой каркас разработан при участии врачей - ортопедов в компании Орто.Ник специально для решения проблем, возникающих вследствие перегрузки плантарной фасции. Стельки с таким каркасом помогают разгрузить фасцию, поддерживают своды, страхуют передний отдел стопы от дополнительной перегрузки, если человек по привычке “бережёт” пятку даже в стельках и старается меньше на неё наступать.

Стельки ортопедические "АНТИШПОРА", артикул 93

-3

Почему ортопедические стельки TALUS?

Ортопедические стельки TALUS восстанавливают биомеханику каждой фазы шага, а значит оказывают непрерывный эффект при ношении, в отличии от подпяточников, силиконовых носков и других подобных средств.

Стельки ортопедические «Антишпора» арт. 93 с особым каркасом подходят при любом виде пяточной шпоры, плантарном фасциите и других болях в области пятки.

В стельках “Антишпора” работает каждый элемент:

- увеличенный пяточный амортизатор создаёт максимальную мягкость, что позволяет уменьшить боль в пятке,

- расширенный метатарзальный валик и специальный каркас обеспечивают поддержку сводов и правильное перераспределение нагрузки по стопе,

- канавка в каркасе с материалом ecoflex снимает нагрузку на подошвенную фасцию,

- промежуточный слой из ecoflex создает амортизацию и правильный микроклимат в обуви.

-4

Лучшие доказательства эффективности наших стелек – отзывы покупателей

«Алина, 36 лет, Челябинск, 21.12.24 г.

Хочу выразить свою благодарность и поделиться своим опытом. Из-за особенностей моей работы недавно у меня начала образовываться пяточная шпора, и мой врач порекомендовал мне приобрести специальные ортопедические стельки. Я провела некоторое время, просматривая различные сайты, и обнаружила Ортоник, где нашла стельки с очень подходящим названием – “антишпора” Talus. Сделав заказ, я начала их носить и не пожалела об этом ни на секунду – разница по сравнению с обычными стельками была просто огромной! Благодаря особенной форме стельки в области пятки, моя ступня стала чувствовать себя намного комфортнее при ходьбе, и даже потоотделение уменьшилось. Я ношу эти стельки уже около полугода и планирую заказать еще, потому что точно не захочу вернуться к другим стелькам.»

По результатам опроса покупателей, которые впервые использовали стельки “Антишпора” для решения своих проблем со стопами, были получены следующие результаты:

- 31% пользователей отметили исчезновение острой боли уже через 3 дня применения,

- 64% покупателей констатировали снижение уровня боли больше, чем в 2,5 раза через 5-7 дней.

Стельки TALUS разработаны, чтобы решать широкий спектр проблем, связанных с деформацией стоп. При этом все изделия имеют четкое и понятное назначение, и вы самостоятельно или с помощью консультанта можете выбрать ту модель, которая нужна именно вашим ножкам.

Стельки помогают решить не только проблемы со стопой (косточка, пяточная шпора), но и помочь при других заболеваниях опорно-двигательного аппарата и хронических заболеваниях вен.

TALUS - это стельки, которые облегчают вам выбор и дают правильное решение проблемы. У нас каждый может подобрать стельку для себя.

Носите с пользой и с удовольствием!

Подписывайтесь на наш паблик в ВКонтакте и Telegram, чтобы быть в курсе последних новостей и полезных материалов.

Приобретайте стельки в интернет-магазине производителя:, а также на маркетплейсах OZON и Wildberries.