Добавить в корзинуПозвонить
Найти в Дзене
Parodoctor

Что такое протезы FP1, FP2, FP3 и FP4 - показываю фотографии наших работ. От чего зависит то, насколько натуральный результат получится

Для большинства людей протез на имплантатах означает одно - розовый кусок пластика и торчащие из него зубы. И те, кто бережёт гнилые пенёчки или расшатавшийся и разъехавшийся в разные стороны забор, считая что своё родное всегда лучше, отзываются о владельцах сей "красоты" не всегда лестно. Натура многих людей такова, что им радостно, когда соседу худо. Протез на имплантатах? Ну и чудила, раз пошёл на такое и отвалил кучу денег. За что и поплатишься через пару лет. Поделом. И, ехидно улыбаясь беззубым ртом, можно спокойно хвалить себя за то, что умный - не поддался на провокацию и не отдал последние штаны жадным стоматологам. И иногда этот шаг - верный! Лучше вообще без зубов, чем потратить деньги на некачественную работу, что вывалится через несколько лет. Ибо человек теряет не только финансы, но и кость, следовательно - здоровье. Вот о таком случае я и поведаю в самом конце статьи. Всё закончилось хорошо (насколько может закончиться хорошо у человека с глобальной потерей объёма и в
Оглавление

Для большинства людей протез на имплантатах означает одно - розовый кусок пластика и торчащие из него зубы. И те, кто бережёт гнилые пенёчки или расшатавшийся и разъехавшийся в разные стороны забор, считая что своё родное всегда лучше, отзываются о владельцах сей "красоты" не всегда лестно.

  • Те, кому не повезло с доктором и во рту оказался нефункциональный и неудобный пластиковый обмылок, тоже с пеной у рта отговаривают остальных неполнозубых, пока ещё лишь думающих и собирающих информацию.

Натура многих людей такова, что им радостно, когда соседу худо. Протез на имплантатах? Ну и чудила, раз пошёл на такое и отвалил кучу денег. За что и поплатишься через пару лет. Поделом. И, ехидно улыбаясь беззубым ртом, можно спокойно хвалить себя за то, что умный - не поддался на провокацию и не отдал последние штаны жадным стоматологам.

И иногда этот шаг - верный! Лучше вообще без зубов, чем потратить деньги на некачественную работу, что вывалится через несколько лет. Ибо человек теряет не только финансы, но и кость, следовательно - здоровье. Вот о таком случае я и поведаю в самом конце статьи. Всё закончилось хорошо (насколько может закончиться хорошо у человека с глобальной потерей объёма и высоты кости). И тем, у кого финансы поют романсы - подобное "хорошо" не по карману, увы.

Поэтому, прежде чем ввязаться в эпопею с тотальным протезированием, взвесьте все за и против. Помните, что некоторые протезы требуют технического обслуживания! Не гонитесь за дешевизной, изучайте тему. Вам с этим потом жить.

  • Я же попробую чуть помочь и рассказать о том, какие виды протезов могут быть установлены пациенту в зависимости от наличия или отсутствия костной ткани.

Существуют протезы настолько незаметные, что никто из окружения человека не догадается, что своих родных зубов давно не существует - никакого тебе розового пластика, зубы нормального размера растут прямо из десны. Сосочки межзубные - пожалуйста, всё в целости и сохранности. А бывают протезы, действительно похожие на огромные безвкусные леденцы (как выразилась одна из подписчиц в ТГ канале).

4 вида условно-съёмных протезов с опорой на имплантаты

Желательно запомнить варианты тем, кто собирается на подобный шаг. Доктор обязательно будет спрашивать о том, какие зубы Вам хотелось бы видеть во рту. Вот именно вариант протеза ему и интересен. Что видите вы, что может предложить он - сходится? Или категорически нет? В зависимости от этого момента продолжается или не продолжается дальнейшее взаимодействие.

  • Все протезы в статье адаптационные - временные. Фотографии наших работ, за исключением последней (ФП4).

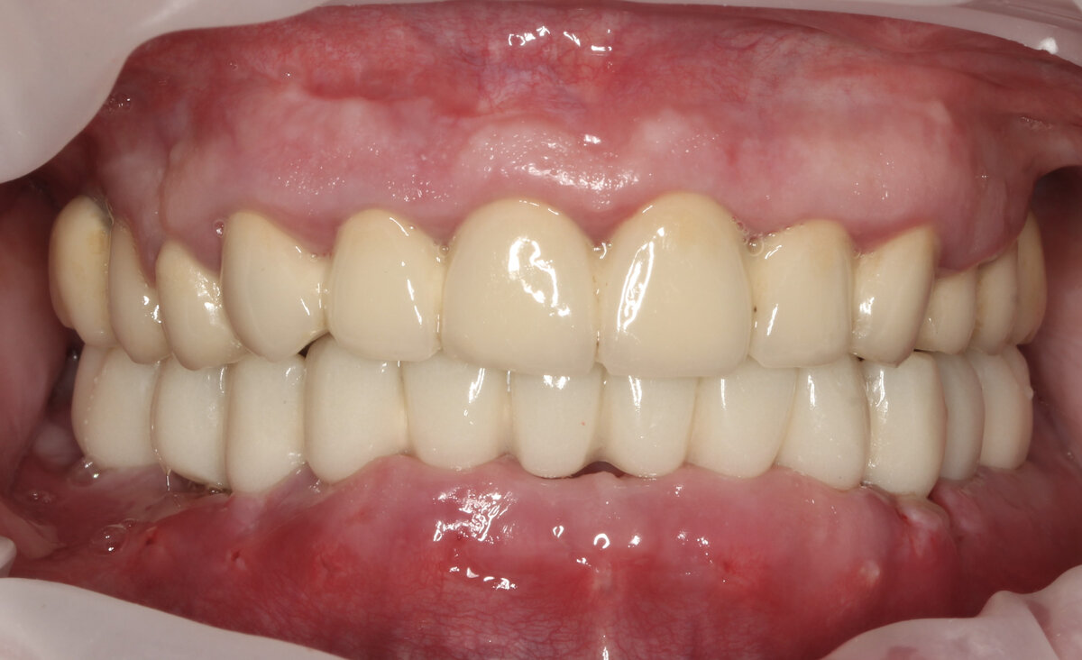
FP1 протез

замещает только коронковые части зубов в полную анатомию, с дополнительной проработкой межзубных сосочков

FP1 протез зубов нижней челюсти - временный адаптационный с опорой на 6 имплантатов
FP1 протез зубов нижней челюсти - временный адаптационный с опорой на 6 имплантатов

Мало кто догадается, что это не тотальная ортопедическая работа на своих родных зубах пациента. Самый сложный и трудоёмкий в исполнении вариант из всех возможных. Что бы проработать контуры десны, имплантолог должен провести пластику тканями с нёба (трансплантатами). Это долго и требует хороших мануальных навыков. Ну и усидчивости. Зато эстетка, которую получит пациент в итоге, будет выше всех похвал.

Требования - достаточное вертикальное количество костной ткани у пациента и запрос на полное природоподобие.

На этапе адаптационного протеза десна может выглядеть не лучшим образом и даже требовать дополнительной пластики позже. Но такова цена естественности. Пластика во время и после лечения (месяца через 4-6). Фото - смотрим на НИЖНЮЮ челюсть, протез только что сдан, операция была чуть больше недели до:

FP1 протез зубов нижней челюсти - временный адаптационный с опорой на 6 имплантатов
FP1 протез зубов нижней челюсти - временный адаптационный с опорой на 6 имплантатов

FP2 протез

замещает только коронковые части зубов, но без проработки межзубных сосочков, зубы могут быть длиннее правильных анатомических

FP2 протез зубов верхней челюсти - временный адаптационный с опорой на 4 имплантата
FP2 протез зубов верхней челюсти - временный адаптационный с опорой на 4 имплантата

Да, какое-то подобие межзубных сосочков может получиться само собой со временем, так и произошло (см ниже) - 1 фото сдача работы, 2 фото - через неделю. Но это не совсем то, если мы говорим о настоящем природоподобии.

FP2 протез зубов верхней челюсти - временный адаптационный с опорой на 4 имплантата
FP2 протез зубов верхней челюсти - временный адаптационный с опорой на 4 имплантата

Скорее же будет как-то так:

FP2 протез зубов верхней челюсти - временный адаптационный с опорой на 4 имплантата
FP2 протез зубов верхней челюсти - временный адаптационный с опорой на 4 имплантата

Требования - достаточное количество собственных тканей.

Работы FP1 и FP2 просты в уходе и, зачастую, не требуют ТО

Потому что площадь соприкосновения тканей протеза и тканей десны минимально. Опасности для имплантатов нет - пища забиваться не будет.

А вот дальше покажу протезы, требующие регулярного ТЕХНИЧЕСКОГО ОБСЛУЖИВАНИЯ - с розовой десной.

FP3 протез

замещает и зубы, и мягкие ткани - протез с розовой десной, частично замещающий альвеолярный отросток

Бывает как минимальное количество розового пластика (и тут пациенты могут выбрать вариант ФП2):

-7

Так и большое его количество (потерянный костный объём длинной зубов восполнять не рационально):

-9

Требования - присутствие хоть какой-то кости челюсти, пригодной для имплантации.

FP4 протез

замещает и зубы, и мягкие ткани, и потерянную полностью альвеолярную кость

Мы такое протезирование не делаем - это уже касается скуловой имплантации, когда классическим "болтам" места нет. Фото, представленные ниже, мои личные, но работа не наша.

Верхняя челюсть:

Нижняя челюсть:

У пациента серьёзнейшая атрофия альвеолярных отростков после неудачной имплантации, выполненной в 2000-х годах. Докторам пришлось заново воссоздавать весь костный объём.

-12

Требования - хочется жевать и никаких более претензий.

Чем меньше собственной кости, тем больше цифра после FP и тем труднее уход за конструкцией, тем хуже долгосрочный прогноз по срокам эксплуатации.

Такие протезы требуют ТО (ФП3 и ФП4):

Про уход за всеми видами протезов писать, когда-нибудь, буду.

Кому не хватило информации, можно ознакомиться со статьями (каждая из них - серия, даю ссылки на 1 части), посвящёнными протезированию тех, чьи фото добавила выше:

FP1

FP2

FP3

Большая подборка всех работ тут:

Тотальные работы на имплантатах. | Parodoctor | Дзен

Лежачёва Н.А, Пародент, СПб.

Имеются противопоказания, требуется консультация специалиста.