Добавить в корзинуПозвонить
Найти в Дзене
Fisherwolf

У истоков компьютеризации медицины, часть 23

Предыдущая часть... Самое начало... После осмотра мы с Андрюхой-младшим вернулись в кабинет и закурили. "Михалыч, ты молодец, что сразу два центральных венозных доступа обеспечил" - похвалил я коллегу. Андрюха расплылся в улыбке: "Шеф - как учили". "Только вот сейчас докурим и ты сразу же по проводникам аккуратно заменишь ноль-шестые катетеры на миллиметровые. Я буду проводить гемосорбцию не шприцами, как раньше, а дозатором ДЛВ-1 в качестве насоса. Так что на заборной магистрали току крови ничего не должно мешать, как и на выходе из контура" - пояснил я. "Нифигасе! Алексаныч, но мы же ни разу на нём гемосорбцию не проводили" - возразил коллега. Я похлопал Михалыча по плечу: "Всё Андрюха когда-то бывает в первый раз. Тем более, девочка достаточно крупная и мы сможем мягко подобрать оптимальную скорость детоксикации"... Комплект для гемосорбции уже остыл после стерилизации и я, переодевшись и помывшись, занялся сборкой, заполнением и промывкой контура гепаринизированным физраствором. Ан

Предыдущая часть...

Самое начало...

После осмотра мы с Андрюхой-младшим вернулись в кабинет и закурили. "Михалыч, ты молодец, что сразу два центральных венозных доступа обеспечил" - похвалил я коллегу. Андрюха расплылся в улыбке: "Шеф - как учили". "Только вот сейчас докурим и ты сразу же по проводникам аккуратно заменишь ноль-шестые катетеры на миллиметровые. Я буду проводить гемосорбцию не шприцами, как раньше, а дозатором ДЛВ-1 в качестве насоса. Так что на заборной магистрали току крови ничего не должно мешать, как и на выходе из контура" - пояснил я. "Нифигасе! Алексаныч, но мы же ни разу на нём гемосорбцию не проводили" - возразил коллега. Я похлопал Михалыча по плечу: "Всё Андрюха когда-то бывает в первый раз. Тем более, девочка достаточно крупная и мы сможем мягко подобрать оптимальную скорость детоксикации"...

Вот такой "девайс" - ДЛВ-1, мы тогда впервые использовали для гемосорбции... Яндекс-фото
Вот такой "девайс" - ДЛВ-1, мы тогда впервые использовали для гемосорбции... Яндекс-фото

Комплект для гемосорбции уже остыл после стерилизации и я, переодевшись и помывшись, занялся сборкой, заполнением и промывкой контура гепаринизированным физраствором. Андрей стоял рядом и смотрел за моими манипуляциями, изредка задавая вопросы. Когда всё было готово, мы внутривенно ввели ребёнку расчётную дозу гепарина, чтобы почти блокировать свёртывание крови. Потом подключили магистрали к венозным катетерам и запустили процесс. Михалыч с благоговением смотрел на работающий насос и медленно заполняющуюся кровью пациентки сорбционную колонку, а я про себя читал "Отче Наш", глядя на отрезок резиновой трубки в заборной магистрали - лишь бы не спалась...

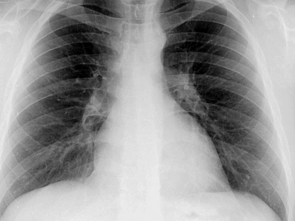
В тот день Господь был благосклонен, наверное, больше к ребёнку, чем к нам, и через два часа девочка начала двигать пальчиками. Я неспеша вернул ребенку из контура остатки её крови, отключил насос и отсоединил магистрали. Колпак и маска у меня были мокрые от пота. Я устало стащил с рук перчатки и обратился к работавшей со мною бригаде: "Спасибо, мои дорогие! Мы сделали это. А теперь лично я - курить". В это время в кабинет принесли рентгенограмму лёгких пациентки. Жадно вдыхая сигаретный дым, мы с Андрюхой уставились на включенный негатоскоп. "Слушай, Михалыч, а ведь нет никаких признаков аспирации - абсолютно чистые легкие. Значит, хорошо и вовремя очистили дыхательные пути" - заключил я...

Это - нормальная рентгенограмма лёгких у ребёнка... Яндекс-фото
Это - нормальная рентгенограмма лёгких у ребёнка... Яндекс-фото

Раздался стук в дверь и постовая медсестра доложила: "Доктора, ребёнок буйствовать начинает!". Я скомандовал: "Марина, так - давай в вену один грамм ГОМКа и миллиграмм тубокурарина". Коллега спросил: "А может, лучше - снять с ИВЛ, да экстубировать, раз с лёгкими - полный порядок?". Я ответил: "Андрюха, снимают с вентиляции и экстубируют на ночь глядя только новички и дилетанты". Тут зазвонил телефон. Михалыч снял трубку и тут же передал её мне: "РКЦ ОДКБ (реанимационно-консультативный центр Областной детской клинической больницы)". Я сообщил диспетчеру, что состояние пациентки стабилизировалось, помощь выездной бригады уже не требуется, справимся сами. Потом обратился к коллеге: "В общем, ты понял - вентилируем и седатируем (усыпляем) до моего завтрашнего прихода. Да, рентгеноконтроль на 7 утра закажи. Если что - звони. А я - домой, вызывай перевозку"...

Потом зашёл в кабинет к старшей медсестре: "Клавдия Калистратовна, пора домой". Она хитро спросила: "Вам ничего не нужно?". "Нет, спасибо! На сегодня - всё! Я чертовски хочу спать. А завтра нам с Вовой опять компьютерный ликбез проводить". Сначала довезли Клаву и я проводил её до входной двери, потом перевозка высадила меня у нашего подъезда. Жена и дети уже были дома. Я обнял Лену и спросил: "Вы хоть ужинали?". Она ответила: "А мы у родителей поели". Я зашёл в ванную и, наконец-то, побрился. Потом всё-таки сварил запланированную уху. Когда уха была готова, я вдруг осознал, что после Клавиного завтрака я больше ничего не ел и чертовски голоден. Сыновья дегустировать уху категорически отказались. Жена просто сказала: "Ты ужинай, а я с тобою посижу". За столом Лена вдруг погладила меня по щеке и спросила: "Коляша, а надолго ли ещё тебя хватит - вот такого?"...

Ну вот, примерно - так... Яндекс-фото
Ну вот, примерно - так... Яндекс-фото

Утром следующего дня мы с Андрюхой и сменившим его Петровичем отравленную хлозепидом девочку при восстановленном сознании и адекватном самостоятельном дыхании успешно сняли с ИВЛ и экстубировали (удалили дыхательную трубку). Хотя кандидатур на перевод в профильные отделения от нас не было, Евгения Алексеевна сама затянула селекторное совещание по поводу состояния ребёнка, которого мы спасли благодаря новым технологиям. Потом спросила: "Николай Александрович, сколько у вас в наличии насосов ДЛВ-1 на данный момент?" Я честно ответил: "Было два, но один в ремонте" - "Почему так мало заказали?" - "Так мы же их планировали использовать в других целях" - "В заявке на следующий год закажите столько, чтобы у нас из-за неисправностей аппаратуры не страдало качество оказываемой медицинской помощи - ещё есть время, а средства мы изыщем" - заключила главврач...

Благодарю за внимание!

Продолжение следует...

Самое начало - здесь...

Спасибо Всем за то, что сумели найти в себе силы и время дочитать всё до конца, мои дорогие Друзья и Подруги! Конечно, для меня будут очень ценны Ваши мнения в комментариях. Будьте здоровы и берегите себя!
С уважением, автор...