Добавить в корзинуПозвонить
Найти в Дзене

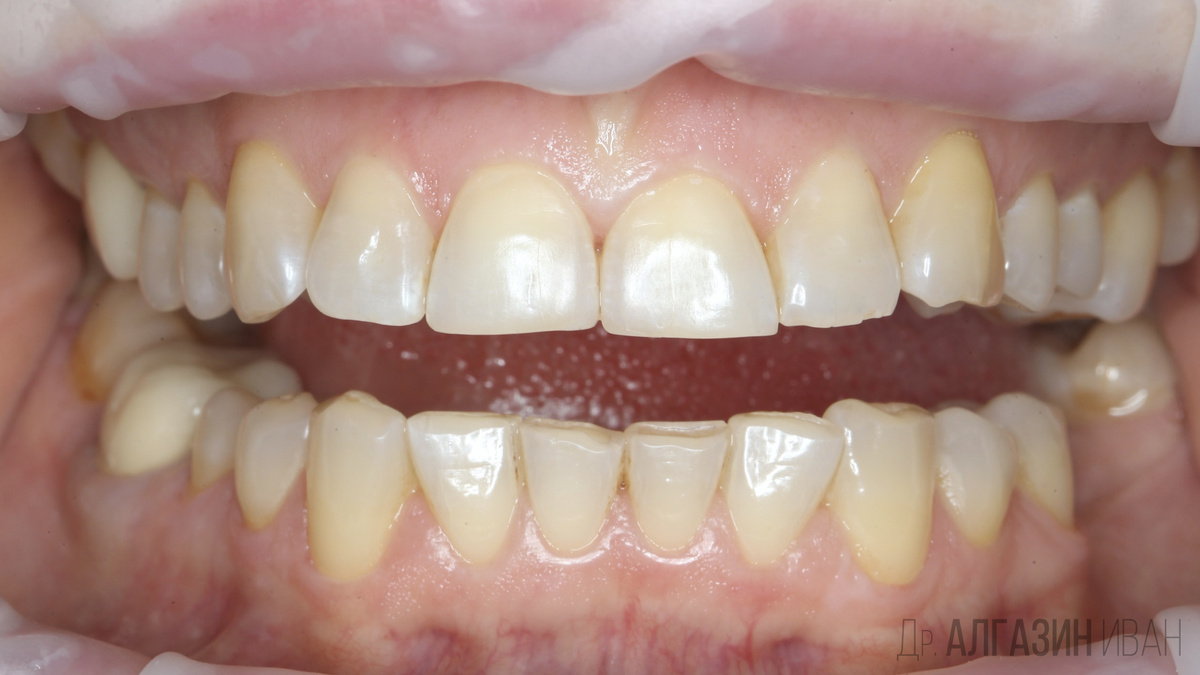
Дневник стоматолога - #ПроВиниры3

Виниры Bleach: ослепительная улыбка, здоровье и гармония лица Виниры цвета Bleach — это выбор тех, кто мечтает о голливудской улыбке. Но их ценность не только в эстетике: они восстанавливают функцию зубов, защищают эмаль и даже меняют восприятие лица в целом. Виниры оттенков Bleach 1–4 — самые белые в палитре Vita. Они неестественно яркие, но именно это делает их такими эффектными. Но важно помнить: Bleach 1–2 подходят только для сцены или фото. В повседневной жизни их неестественная белизна может выглядеть странно. Оптимальный баланс — Bleach 3–4, которые чуть мягче. Виниры — это не просто «маскировка». Они решают ключевые задачи: Итог: виниры Bleach — это инструмент для тех, кто хочет радикально преобразить улыбку, но их установка должна быть частью продуманного плана восстановления зубов. Красота здесь идет рука об руку со здоровьем!
Оглавление

Виниры Bleach: ослепительная улыбка, здоровье и гармония лица

Виниры цвета Bleach — это выбор тех, кто мечтает о голливудской улыбке. Но их ценность не только в эстетике: они восстанавливают функцию зубов, защищают эмаль и даже меняют восприятие лица в целом.

-2
-3
-4

Виниры Bleach — улыбка, которая меняет лицо

Виниры оттенков Bleach 1–4 — самые белые в палитре Vita. Они неестественно яркие, но именно это делает их такими эффектными.

  • Осветление лица: белоснежные зубы визуально делают кожу свежее, скрывают возрастные изменения.
  • Контраст для смуглой кожи: особенно выигрышно смотрятся у брюнетов и людей с загорелой кожей, подчеркивая здоровый образ жизни.
  • Коррекция овала: удлинение резцов за счет виниров может скорректировать форму губ и подчеркнуть скулы, добавляя лицу гармонии.

Но важно помнить: Bleach 1–2 подходят только для сцены или фото. В повседневной жизни их неестественная белизна может выглядеть странно. Оптимальный баланс — Bleach 3–4, которые чуть мягче.

-5
-6
-7

Не только красота: функциональная роль виниров

Виниры — это не просто «маскировка». Они решают ключевые задачи:

  • Защита зубов: керамика закрывает трещины, сколы и зубы после эрозии эмали, предотвращая их дальнейшее разрушение.
  • Восстановление прикуса: корректируют форму зубов, улучшая жевание и снижая нагрузку на челюсть и сустав.
  • Долговечность: в отличие от композитных аналогов, керамические виниры не темнеют от кофе или сигарет и служат 15-20 лет.

Кому подойдут виниры Bleach?

  • Смуглым и темноволосым — белизна зубов выглядит естественнее на контрасте.
  • Тем, кто готов к уходу: виниры требуют аккуратного обращения (избегать твердой пищи) и регулярной гигиены.
  • Пациентам после санации: как в нашем примере, сначала — лечение кариеса, удаление нежизнеспособных зубов, и только потом — эстетика
-8

Как добиться идеального результата?

  • Диагностика: 3D-моделирование улыбки (DSD) покажет, как будет выглядеть итог.
  • Примерка при дневном свете: искусственное освещение искажает восприятие белизны.
  • Комплексный подход: как вы отметили, без лечения кариеса и коррекции прикуса даже самые красивые виниры не прослужат долго.
-9

Итог: виниры Bleach — это инструмент для тех, кто хочет радикально преобразить улыбку, но их установка должна быть частью продуманного плана восстановления зубов. Красота здесь идет рука об руку со здоровьем!