Добавить в корзинуПозвонить
Найти в Дзене
cheek-look.ru

Прощание с Люси Маркович: как индустрия моды потеряла яркую звезду

Мир моды скорбит: на 28-м году жизни ушла из жизни талантливая модель Люси Маркович. Девушка, покорившая подиумы от Givenchy до Versace, долгое время боролась с редким заболеванием — артериовенозной мальформацией головного мозга. Ее уход стал невосполнимой потерей для семьи, друзей и коллег. 🧠 Артериовенозная мальформация (АВМ) — врожденная патология, при которой сосуды мозга образуют опасные сплетения, минуя капилляры. Это нарушает кровообращение и может вызывать кровоизлияния, судороги и другие тяжелые осложнения. По статистике, такой диагноз встречается лишь у одного человека из 100 000. 💔 В марте Люси рассказала подписчикам о предстоящей операции: «Облучение, судороги, тяжелые лекарства… Я напугана, но полна надежд». Вмешательство перенесли на 2 апреля, но осложнения привели к коме. Ее бойфренд успел попросить поддержки: «Люси борется за жизнь, нам нужны ваши молитвы». Увы, спасти модель не удалось. 🕊️ Elite Model Management, с которым сотрудничала Люси, назвал ее «ярким лучом с
Оглавление

Мир моды скорбит: на 28-м году жизни ушла из жизни талантливая модель Люси Маркович. Девушка, покорившая подиумы от Givenchy до Versace, долгое время боролась с редким заболеванием — артериовенозной мальформацией головного мозга. Ее уход стал невосполнимой потерей для семьи, друзей и коллег.

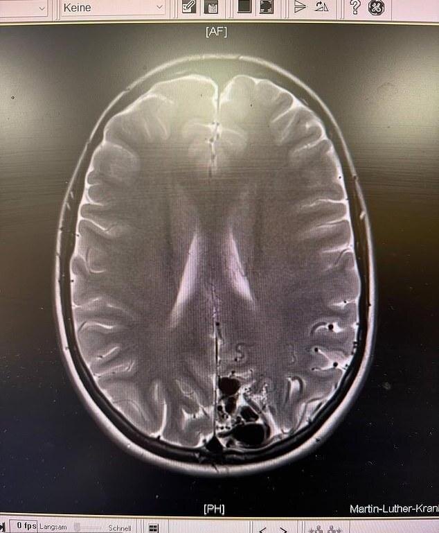
Болезнь, с которой столкнулась Люси

🧠 Артериовенозная мальформация (АВМ) — врожденная патология, при которой сосуды мозга образуют опасные сплетения, минуя капилляры. Это нарушает кровообращение и может вызывать кровоизлияния, судороги и другие тяжелые осложнения. По статистике, такой диагноз встречается лишь у одного человека из 100 000.

Последние месяцы борьбы

💔 В марте Люси рассказала подписчикам о предстоящей операции: «Облучение, судороги, тяжелые лекарства… Я напугана, но полна надежд». Вмешательство перенесли на 2 апреля, но осложнения привели к коме. Ее бойфренд успел попросить поддержки: «Люси борется за жизнь, нам нужны ваши молитвы». Увы, спасти модель не удалось.

Прощание индустрии

🕊️ Elite Model Management, с которым сотрудничала Люси, назвал ее «ярким лучом света». Донателла Версаче опубликовала трогательный пост: «Покойся с миром, прекрасная девушка». Коллеги вспоминают ее харизму, элегантность и умение «осветить любую комнату» своей улыбкой.

Карьера, оставшаяся в истории

🌟 Люси начала путь в 17 лет, попав в финал Australia’s Next Top Model. Вскоре она дефилировала для Givenchy, Versace, Dolce & Gabbana и других брендов. Ее природная грация и профессионализм сделали ее одной из самых востребованных моделей своего поколения.

Редакция сайта cheek-look.ru выражает соболезнования близким Люси Маркович. Ее свет останется в памяти тех, кто знал и восхищался ею.