Добавить в корзинуПозвонить
Найти в Дзене

Плеврит

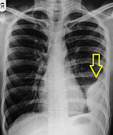
Плеврит – это воспаление плевры (серозной оболочки, покрывающей легкие и выстилающей грудную полость), которое может сопровождаться накоплением жидкости (экссудативный плеврит) или протекать без выпота (сухой плеврит).  - Острая боль в боку, усиливающаяся при дыхании и кашле. - Сухой кашель. - Шум трения плевры при аускультации. - Тупые боли, чувство тяжести в груди. - Одышка (из-за сдавления легкого жидкостью). - Притупление перкуторного звука, ослабление дыхания на пораженной стороне.  - Рентген/КТ грудной клетки — выявление уровня жидкости. - УЗИ плевры — определение объема выпота, контроль пункции. - Плевральная пункция (торакоцентез) – анализ экссудата: Транссудат (при сердечной недостаточности, циррозе); Экссудат (при инфекциях, опухолях, ТЭЛА); Биопсия плевры – при подозрении на туберкулез или рак. Плеврит – это не самостоятельное заболевание, а проявление другой патологии, поэтому ключевая задача – выявить и устранить его причину. Не занимайтесь самолечением. Обратитесь к
Оглавление

Плеврит – это воспаление плевры (серозной оболочки, покрывающей легкие и выстилающей грудную полость), которое может сопровождаться накоплением жидкости (экссудативный плеврит) или протекать без выпота (сухой плеврит)

Основные причины плеврита: 

  1. Инфекции – бактериальные (пневмококк, туберкулез), вирусные, грибковые.
  2. Онкологические заболевания – метастазы в плевру, мезотелиома.
  3. Системные болезни – ревматоидный артрит, СКВ, васкулиты.
  4. Тромбоэмболия легочной артерии (ТЭЛА).
  5. Травмы грудной клетки (гемоторакс).
  6. Заболевания сердца, печени, почек (гидроторакс при сердечной недостаточности, циррозе)

Симптомы:

  • Сухой плеврит:

- Острая боль в боку, усиливающаяся при дыхании и кашле.

- Сухой кашель.

- Шум трения плевры при аускультации.

  • Экссудативный плеврит:

- Тупые боли, чувство тяжести в груди.

- Одышка (из-за сдавления легкого жидкостью).

- Притупление перкуторного звука, ослабление дыхания на пораженной стороне. 

Диагностика:

- Рентген/КТ грудной клетки — выявление уровня жидкости.

- УЗИ плевры — определение объема выпота, контроль пункции.

- Плевральная пункция (торакоцентез) – анализ экссудата: Транссудат (при сердечной недостаточности, циррозе); Экссудат (при инфекциях, опухолях, ТЭЛА); Биопсия плевры – при подозрении на туберкулез или рак.

Лечение:

  1. При сухом плеврите: - Обезболивание (НПВС, иногда наркотические анальгетики). Лечение основной болезни (антибиотики при инфекции, противотуберкулезные препараты и т. д.).
  2. При экссудативном плеврите: Эвакуация жидкости (пункция или дренирование). Склерозирование (плевродез) – при рецидивирующем плеврите (например, при опухолях). Антибиотики – при бактериальной инфекции. Диуретики – если выпот вызван сердечной недостаточностью. Глюкокортикоиды/иммуносупрессанты – при аутоиммунных процессах.
  3. Хирургическое лечение (при хронических формах): Плеврэктомия – удаление плевры. Видеоторакоскопия (VATS) – для санации и биопсии. 

Осложнения: 

  • Спайки и фиброторакс (рубцевание плевры → ограничение дыхания). 
  • Эмпиема плевры (гнойный плеврит)
  • Дыхательная недостаточность. 
Плеврит – это не самостоятельное заболевание, а проявление другой патологии, поэтому ключевая задача – выявить и устранить его причину. Не занимайтесь самолечением. Обратитесь к торакальному хирургу.

Где получить консультацию специалиста?

Если у вас обнаружили образование переднего средостения, важно обратиться к опытному торакальному хирургу для точной диагностики и выбора оптимального лечения. Например, Вы можете записаться на консультацию к Андрею Владимировичу Никулину – кандидату медицинских наук, торакальному хирургу, онкологу.

Андрей Владимирович Никулин – один из ведущих специалистов в области хирургического лечения заболеваний легких, средостения, грудной стенки и диафрагмы. Он поможет разобраться в вашей ситуации и предложит наиболее эффективный путь решения проблемы.

Главное – внимательное отношение к своему здоровью и своевременное обращение к врачу.

Быть здоровым гораздо лучше, нежели больным!