Найти в Дзене
Пикабу

Прошу помощи у пикабушников-ветеринаров

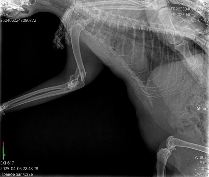
Верю, что тут есть профильные специалисты. Позавчера не уследил за кошкой, забыл закрыть форточку на какие-то полчаса, выпрыгнула с пятого этажа и крайне неудачно. Переломаны левые передняя и задняя лапы. Но если по задней лапе прогноз хороший, то по передней хирург сказал, что сустав раздроблен, и конечность он будет сращивать жестко и под углом. Кошке всего полтора года, очень жизнерадостная - даже под опиоидным обезболивающим уже сегодня сама сходила по-маленькому, и пытается встать и бегать за остальными двумя кошками (у нас их три). Можно ли по рентгеновским снимкам определить - удастся ли сохранить подвижность лапке? Если искать хирурга, который за это возьмется. Пост автора pashqua. Подписаться на Пикабу Познавательный. и Пикабу: Истории из жизни.

Верю, что тут есть профильные специалисты. Позавчера не уследил за кошкой, забыл закрыть форточку на какие-то полчаса, выпрыгнула с пятого этажа и крайне неудачно. Переломаны левые передняя и задняя лапы. Но если по задней лапе прогноз хороший, то по передней хирург сказал, что сустав раздроблен, и конечность он будет сращивать жестко и под углом. Кошке всего полтора года, очень жизнерадостная - даже под опиоидным обезболивающим уже сегодня сама сходила по-маленькому, и пытается встать и бегать за остальными двумя кошками (у нас их три).

Можно ли по рентгеновским снимкам определить - удастся ли сохранить подвижность лапке? Если искать хирурга, который за это возьмется.

Пост автора pashqua.

Подписаться на Пикабу Познавательный. и Пикабу: Истории из жизни.